صفحه اصلی
●
درباره ما
●
English
●
العربية
Sunday, December 07, 2025
یکشنبه، 16 آذر 1404
ساعدنیوز
●
درباره ما
●
زبان
فارسی
English
العربية
دسته بندی ها
بستن
جستجو
سیاست
جامعه
حوادث
اقتصاد
ورزش
دانشگاه
موسیقی
هنر و رسانه
علم و فناوری
بازار
مجله خانواده
ویدیو
عکس
خبر با تو
استانها
پژوهشهای دانشگاهی
فناوری ارتباطات
فناوری های نوین
تاریخ و فرهنگ
علمی
تکنولوژی
ارز دیجیتال
علم و فناوری
فناوری های نوین
گوگل زمان مرگ شما را دقیق می گوید!
(فیلم) دیدن جام جهانی بهطور زنده و سهبعدی در خانه!
آیفون ۲۰۱۹ چگونه خواهد بود؟
(فیلم) کالبد شکافی بر روی جسد مجازی
بیدار شدن از خواب با بوی خوش ساعت!
تلفن های همراه بو را تشخیص خواهند داد
رونمایی از نوت بوک دو اسکرینه اینتل
کاغذ سنگی جایگزین کاغذ الیافی خواهد شد
(فیلم) تکنولوژی جدید برای افراد نابینا!
جسد مجازی برای کالبدشکافی تولید شد!
ساخت اولین کفش متحرک
هوش مصنوعی و کاربردهای آن
محصول جدید ایسوس 2018
اپلیکیشنی که علت گریه کودک را تشخیص میدهد!
یک گوشی شگفت انگیز برای از بین بردن خر و پف اختراع شد!
لباسشویی جیبی اختراع شد!
طراحی لباس حشره کش !
مدادهایی که رشد میکنند!
منتظر گوشت مصنوعی باشید!
دمپایی با قابلیت پارک خودکار!
هشدار! مراقب بازی مریم باشید!
فناوری، رفتار انسان را پیش بینی میکند!
(فیلم) چه چیزی جایگزین GPS میشود ؟
ربات راهب بودایی ساخته شد!
حذف پورت یو اس بی در لپ تاپ های اچ پی!
خواب ، صنعتی میلیارد دلاری شد!
رنگی کردن عکس های قدیمی سیاه سفید با Google Photos
بیت کوین فیزیکی میشود
ساخت اسباب بازی با قابلیت آموزش کدنویسی به کودکان!
ربات ها چه کسانی را بیکار میکنند؟
معرفی فناوری های تکان دهنده امسال!
ساخت پروتز شبکیه برای اشخاص نابینا
طراحی و ساخت نرم افزار محاسبه فرمولاسیون رنگ
طراحی ربات نقاش
عکس خانه های شناور الهام گرفته از قوم مایا و ژاپن
ابداع پسوردهای شیمیایی !!!
طراحی کارتریج غذایی برای بدن انسان!
ساخت خانه در یک روز امکان پذیر شد!
ربات ها جراح جمجمه میشوند!
طراحی دندان مصنوعی با خاصیت ترشح داروی ضد قارچ!
پلاستیک جدیدی ابداع شد!
فرعون مجازی، راهنمای گردشگران مصر
بازشناسی اشیاء در جهت کمک به افراد نابینا
تولید چرم مصنوعی مقاوم با الهام از برگ های لوتوس
طراحی حسگر نجات بخش
نانو ذرات طلا با آب تولید میشود.
تفاوت لای فای با وای فای!
ابزاری برای وبگردی کم بینایان و نابینایان ساخته شد
طراحی آسمان خراش قابل حمل!
درک علایق مخاطب توسط تلویزیون های آینده!
با واقعیت مجازی از بناهای تاریخی بازدید کنید
با یک نرمافزار موبایلی بیماری هایتان را تشخیص دهید!
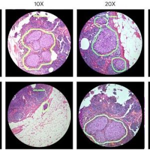
میکروسکوپ " واقعیت افزوده" برای تشخیص سرطان
هویت افراد از طریق ماهواره ها قابل تشخیص است
نمایشگر جدیدی که هرگز کثیف نمی شود!
(فیلم) شنای ماهی رباتیک!
روشی شگفت انگیز برای درمان سرطان!
برای پیشگیری از ایدز در زنان ایزار جدید ساخته شد!
آشنایی با پروژه سولی گوگل و کاربردهای آن
آشنایی با سیستم عامل فیوژا
صفحه قبل
صفحه بعد
از سراسر وب
کارشناسی قرعه جام جهانی ایران همراه با پسر تسبیح به سر ستاره سادات قطبی: مصر و نیوزلند رو میبریم ولی بلژیک کوین دیبروینه رو داره و...+فیلم
تغییر چهره هوش پران رضا عطاران در دوران سخت بیماری/ بازیگر خوب کشورمان یه شبه کل ریشاشو سفید کرد!+عکس
(ویدیو) نگاهی به اجرای زنده و مسحورکننده همایون شجریان با اشعار زیبای مولانا: ز عشق حسن تو خوبان مه رو، به رقص اندر مثال چرخ دوار...+فیلم
(ویدیو) خانوم سخنگو در وصف کرامات زنان سخن گفت/ بایستی به زنان اجازه دهیم شبکه سازی کنند و تیم های مدیریتی خود را تقویت کنند/ نمیشود که نقش زن را فقط به زاینده محدود کرد بلکه...
فال انبیاء روزانه یکشنبه 16 آذر 1404 / یه نامه از تقدیر داره میاد… آماده باش تا دلت از شادی پر بشه
این 8 گیاه و ادویه برای کاهش قند خون معجزه میکنند
دانلود آهنگ اسپانیایی رضا یزدانی به نام یخ تنهاییم رو آب کن با کیفیت بالا +متن/یه کاری کن دوباره توی خونه...بارون بگیره
کائنات پیام ویژهای برات داره؛ گاهی بزرگترین شجاعت اینه که خودت رو از قضاوتهای دیروزت آزاد کنی…ببخش، رها شو، دوباره آغاز کن/ پیام انگیزشی امروز
مطالب پیشنهادی
لوکیشن سریال گیلدخت و عمارت تقی خان کجاست؟ / اگه نمیخوای این مناظر رویایی رو از دست بدی بیا تا بهت بگم ...
جدیدترین لیست قیمت ارز دیجیتال از بیتکوین تا آلتکوینها امروز 15 آذر 1404/ بیتکوین سرخپوش شد!
(فیلم) برگزاری مراسم تولد سوپر لاکچری فرح پهلوی در استادیوم امجدیه تهران در اواخر دهه 40 / ملکه بازی با پول مردم!
رئال مادرید دوباره لغزید؛ گزارشها از احتمال تغییر سرمربی خبر میدهند
پیشنهاد ویژه
آلودگی هوا دوباره برنامه دانشگاهها را تغییر داد؛ فعالیت کدام دانشگاهها غیرحضوری شد؟
نفیسه روشن: علیه من آدم اجیر کرده بودند... بعد از ماجرای جدایی از همسر سابقم خیلی ضعیف شده بودم! راجع به هر چیزی واکنش نشان میدادم، گریه میکردم، پرخاش میکردم
جدیدترین لیست قیمت ارز دیجیتال از بیتکوین تا آلتکوینها امروز 15 آذر 1404/ بیتکوین سرخپوش شد!
درخشش استایل احمد مهرانفر و آناهیتا درگاهی در اکران مردمی فیلم طهران 57 با کت و دامن شلواری کلاسیک و موقر / مثل همیشه عالی + ویدئو
پربازدیدترین ویدئوهای روز
نگاهی خیره کننده به کاخ ویلایی خداداد عزیزی، هر کسی آرزوی داشتنی همچین خونه ای رو داره / از معماری منحصربفرد نئوکلاسیک تا استخر مجلل با تمامی امکانات
کائنات پیام ویژهای برات داره؛ گاهی بزرگترین شجاعت اینه که خودت رو از قضاوتهای دیروزت آزاد کنی…ببخش، رها شو، دوباره آغاز کن/ پیام انگیزشی امروز
یادی کنیم از روزی که مریم مومن از تشریفات و چشم و هم چشمی امروزیا گفت: قدیما امکانات نبود ولی زندگی کردن خیلی راحت بود/ اصلا ترک های عزیز معروفن به ریخت و پاش آنچنانی👌
(ویدیو) دکتر محمود انوشه بهترین متخصص روانشناسی ایران: یادتون نره اگر کسیرو قضاوت کردید...
(ویدیو) مهمترین توصیه های دکتر علیرضا آزمندیان: عزیز دلم تو زندگی رو چیزایی کار کن که مردم به هیچ عنوان نمیتونن ازت بدزدن...
(ویدیو) یادی کنیم از اجرای جاودان و احساسی تصنیف «آرام جان» از شاعر نامدار عارف قزوینی توسط خسروی آواز ایران، استاد محمدرضا شجریان
طالعبینی روز؛ بازگشت کسی که فکر نمیکردی دلتنگت شود؛ حقیقت تازهای که آشکار میشود / تقویم نجومی، اعمال، ذکر و نماز روز شنبه 15 آذر 1404
یک جملهی طلایی از دکتر انوشه که زندگیت رو از تاریکی نجات میده/ گذشته رو فراموش کن و ببخش؛ خداوند راه را هموار میکند برای رسیدن به اون چیزیکه میخواهی
وب گردی
حوادث
بیشتر
ببینید؛ لحظه سرقت مسلحانه و وحشیانه از طلافروشی در کرمانشاه و قتل فروشنده جوان
کشف عجیب پژو با جمجمه و اسکلت انسان پس از 15 سال از زیر خاک در حوالی اهواز + فیلم
کشف 15 کیلو گرم مواد مخدر در بستان آباد
حقایق عجیب درباره مرگ مریلین مونرو که بعد از 63 سال فاش شد؛ خودکشی نکرده بود
اعترافات بیشرمانه پسر شیطان صفت برای زورگیری از خانمها + روایت قربانیان از وحشت در خودرو
اولین ویدئو از لحظه وحشتناک سقوط رضا امیرخانی نویسندهی معروف ارمیا، در دماوند!
عشق ممنوعه پسر 17 ساله تهرانی به نامادری اش / پدرم سر راهم بود !
مرگ جگرسوز چاهکن مشهدی در عمق 130 متری / تلاش 5 ساعته نیروهای امداد!
آخرین ویدیو ها
خلاقیت خندهدار " جوان ایرانی" در گرم کردن قلیان با هیتر برقی مرزهای تکنولوژی رو یه تنه شخم زد/داداشمون صنعتی و سنتی رو با هم میزنه😂
عاشق هم میشین اینجوری مثل دانیال پورصباح عاشق ترلان پروانه بشین/فقط ببین چجوری خودشو به آب و آتش میزنه/ از قدیم گفتن عقد دختر عمو پسر عمو تو آسمونها بسته شده/ سکانس برتر سریال «بامداد خمار»
افشاگری جنجالی واشقانی و رشیدی کوچی/ پدر این آقا زاده مسئوله و به مردم میگه قناعت کنید بعد پسرش با 30 تا دروداف میره دیسکو و براشون دسته دسته دلار پرت میکنه..
پاسخ دکتر انوشه به اینکه چرا باید پیرو دین محمد که عرب زبان بود، باشیم: بهش میگم عزیزه بزرگوارم خاک بر سر مبارکت...
فوری: واریز مرحله پنجم کالابرگ با مبلغ جدید آغاز شد!+ ساعت و جدول اقلام/ اقلام کاهش یافت؟
دشمن تراشی علی دایی کار دستش داد! محمد دادکان: حق با علی دایی بود احمدی نژاد را به رختکن راه نداد! همون شب اخراج شد چون...
حضور عباس قادری در مراسم عروسی امیر قلعهنویی، سرمربی تیم ملی فوتبال و خوانندگی پرشور به اصرار بازیکنان +ویدیو
(کتاب صوتی) برشی جذاب از «سفرهای گالیور» نوشته جاناتان سویفت | پارت 1
(ویدیو) بهترین و زیباترین سکانس سینمای ایران؛ رضا عطاران و فرازمینیها فقط به این شخص تعظیم میکنند/ ما چقدر قدردان این مقام هستیم؟!👀
(ویدیو) پسری که جان خود را در بازی جرات و حقیقت از دست داد/ چه کسی فکرش را میکرد یک حلزون اینقدر خطرناک باشد؟!
(ویدیو) شعر زیبای فریدون مشیری برای ایران و ایرانی های دور از وطن: تو از این دشت خشک تشنه روزی کوچ خواهی کرد و اشک من تو را بدرود خواهد گفت...
طعنه جالب مجری صداوسیما : چرا در بحث آلودگی هوا فقط مردم باید جریمه شوند؟
آخرین تصاویر
نگاهی به چیدمان منزل شاهانه و مجلل هومن حاجی عبداللهی بازیگر سریال « پایتخت» و همسر هنرمندش/ از مبلمان سلطنتی و مدرن و کتابخانه تا تابلوهای هنری و لوستر لوکس
سفری با خاطرات ناصرالدینشاه: زنهای عرب آمدند، تیمورمیزا با آنها حرف زد، پول دادیم، کثیف بودند
ویدئو/درخشش مینا مختاری همسر هنرمند بهرام رادان با تیپ و استایل منحصربهفرد در جشن دیوالی سفارت هند/ از خود هندی ها، هندی تر شدن که😍
قاب روز ورزشی/ مبینا نعمت زاده از برنز المپیک تا مدال طلای جهانی
عاشقانه های آریا عظیمی نژاد در تنهایی خودش با دو لیوان چای
کشف مجسمه سفالی 3000 ساله با «اثر انگشت» سازنده در اعماق دریاچه آتشفشانی ایتالیا(عکس)
سعید عزت اللهی با موهای رنگ شده!/لبخند زدن ورزش مورد علاقه من است
(تصویر) 38 کیلو طلا، 51 هزار جواهر و یک راز بزرگ؛ همه چیز درباره «کره جواهرنشان» ناصرالدین شاه قاجار، ارزشمندترین جواهر ملی ایران
سایر ویدیوها
طعنه جالب مجری صداوسیما : چرا در بحث آلودگی هوا فقط مردم باید جریمه شوند؟
به دنبال گوشواره بودند در حیاط خانه گنج پیدا کردند! +عکس /چه آدمای خوش شانسی!
پدر سختنگیر مثل پژمان بازغی: زیاد پدر سختگیری نیستم، مادرش میگه نفس درس بخونه من میگم ول کن ما خودمون 7تا 7تا تجدید... +ویدیو
فیلم/نگاهی به خلاقیت تحسین برانگیز اوستای قناد برای تبریک روز حسابدار به همسرش حماسه ساز شد/ آفرین به این هنرمند😍
پاسخ دکتر انوشه به اینکه چرا باید پیرو دین محمد که عرب زبان بود، باشیم: بهش میگم عزیزه بزرگوارم خاک بر سر مبارکت...
(ویدئو) صحنهای نفسگیر در حیاتوحش؛ کفتار تنها برای نجات جانش از دست لاشخورها این کار عجیب را انجام داد!/ «یه بار جستی ملخک…»
سعید عزیزی؛ بعضی دخترا شب خواستگاری حرفهایی میزنن که طرف میگه خداحافظ شما تا برنامه بعدی... پسره گفت شوهر چقدر خوبه منم برم شوهر کنم🤣
درخشش استایل احمد مهرانفر و آناهیتا درگاهی در اکران مردمی فیلم طهران 57 با کت و دامن شلواری کلاسیک و موقر / مثل همیشه عالی + ویدئو
وقتی تازهعروس سینما از روزهای سخت گذشتهاش میگه: اطرافیان اونقدر به مامانم فشار آورده بودند که موهام رو پیچید دور دستش که میخوایین بکشمش راحت بشین منم...+ویدیو
خلاقیت خندهدار " جوان ایرانی" در گرم کردن قلیان با هیتر برقی مرزهای تکنولوژی رو یه تنه شخم زد/داداشمون صنعتی و سنتی رو با هم میزنه😂
(ویدئو) خوراکیهای پرطرفدار زیر ذرهبین؛ چه چیزی در دل چیپس و نوشابه و نودل مخفی است؟
(ویدیو) خانوم سخنگو در وصف کرامات زنان سخن گفت/ بایستی به زنان اجازه دهیم شبکه سازی کنند و تیم های مدیریتی خود را تقویت کنند/ نمیشود که نقش زن را فقط به زاینده محدود کرد بلکه...