به گزارش سایت خبری ساعد نیوز به نقل از باشگاه خبرنگاران جوان، در بین بیماران بهبودیافته مبتلا به کرونا در چین، شواهدی وجود دارد که نشان می دهد برخی از این بیماران دچار آسیب طولانی مدت در ریه شده اند.
محققان اعلام کردند از بین ۷۰ بیمار بهبودیافته، در سی تی اسکن ۶۶ مورد از آن ها آسیب به ریه مشاهده شده است.
یووهی وانگ، (Yuhui Wang) رادیولوژیست در دانشگاه علم و فناوری Huazhong در ووهان چین گفت: این آسیب ها به دلیل وجود انبوهی از بافت های سفت شده است که باعث انسداد رگ های خونی در کیسه های ریز هوایی به نام آلوئول ها می شود. آلوئول ها اکسیژن را جذب می کنند تا ضایعات بافت اطراف خود را تشکیل دهند.
ضایعات بافتی می تواند نشانه مزمن بیماری های ریوی باشد، از جمله در بیماری سارس و مرس صدمات مشابهی در بیماران بهبودیافته مشاهده شده بود.
احتمال آسیب ریه در افراد مبتلا به کرونا با علائم شدید
مطالعات طولانی مدت در مورد بیماران سارس نشان داد که حدوداً یک سوم افرادی که دارای علائم شدید بیماری بودند، بعد از بهبودی دچار آسیب دائمی ریه شدند.
همچنین درباره بیماری مرس، یک مطالعه نشان داد که حدود یک سوم از افرادی که از عفونت جدی نجات پیدا کردند تا ۷ ماه بعد، هنوز مشکل ریوی داشتند.
آسیب به هر دو ریه در بیماران مبتلا به کووید ۱۹
به گفته وانگ و همکارانش مطالعات انجام شده روی بیماری سارس و مرس نشان می دهد معمولاً این ویروس ها فقط یک ریه را درگیر می کند، اما ویروس کرونا دو ریه را فوراً درگیر می کند.
از ۹۰ بیمار مبتلا به کرونا که در بیمارستان Huazhong بستری شده بودند، در ۷۵ مورد آن ها از تاریخ ۱۶ ژانویه تا ۱۷ فوریه، آسیب در هر دو ریه مشاهده شده بود.
سی تی اسکنی که از قبل ترخیص از ۷۰ بیمار گرفته شد، نشان داد که ۴۲ مورد این بیماران دارای ضایعات در اطراف آلوئول ها هستند که احتمالاً این ضایعات به زخم تبدیل می شود.

برخی از آسیب های ریه بعد از بهبودی باقی می ماند
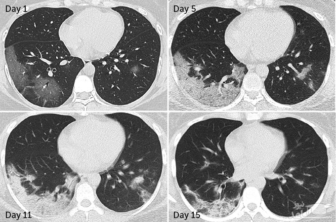
وانگ و همکاران گفتند این سی تی اسکن از یک زن ۳۵ ساله مبتلا به ویروس کروناست که نشان داده است برخی از آسیب های ریه حتی پس از بهبودی باقی می ماند.
همانطوری که مشاهده می کنید، هنگامی که این بیمار در بیمارستان بستری شد یک اسکن نشان داد که بافت یا مایعات باعث انسداد رگ های خونی در هر دو ریه می شود.
برخی از بافت ها تا روز پانزدهم، چند روز قبل از اینکه بیمار از بیمارستان ترخیص شود، بهبود یافتند، اما برخی از این بافت ها ممکن است در ریه ماندگار شوند؛ بنابراین با توجه به گسترش وسیع این بیماری همه گیر، مشکلات ریوی ناشی از کووید ۱۹ ممکن است سلامتی هزاران نفر را در سال های بعد تهدید کند.
ویروس کرونا در آلوده کردن افراد سریع تر از سارس و مرس است
در مقایسه با بیماری کرونا، سارس (SARS) یا سندرم حاد تنفسی (در سال های ۲۰۰۳-۲۰۰۴) حدود ۸۰۰۰ نفر را بیمار کرد. مرس (MERS) یا سندرم تنفسی خاورمیانه بیش از ۲۵۰۰ نفر را آلوده کرده بود.
در حالی که تا امروز بیش از ۳.۱ میلیون نفر در سراسر جهان به ویروس کووید ۱۹ مبتلا شده اند و حدود ۸۰ درصد از موارد کووید ۱۹ خفیف بوده است، بقیه موارد از مشکلات و نارسایی تنفسی رنج می برند.
احتمال ناپدید شدن آسیب های واردشده به ریه
وانگ و همکاران معتقدند که برخی از آسیب های به وجود آمده در ریه با گذشت زمان ناپدید می شود، اما در برخی از بیماران، ناهنجاری های ریه به لایه هایی از بافت زخم معروف به فیبروز ریوی تبدیل می شود.
جای زخم ریه ها باعث سفت شدن بافت ریه می شود و گرفتن اکسیژن کافی را سخت می کند.
افراد مبتلا به فیبروز ریوی به طور معمول دچار تنگی نفس می شوند و توانایی شان برای فعالیت جسمی کمتر می شود، برخی از بیماران بیشتر در معرض خطر ابتلا به این نوع جای زخم هستند.
اولین بیمارستان دانشگاه لانژو (Xiaolong Qi) در چین درباره بیماران مبتلا به فیبروز ریوی، گفت: این بیماران شامل سالمندانی هستند که دچار درد شدید کووید ۱۹ می شوند.
به گفته این بیمارستان، مطالعات لازم درباره بیماری های دیگر مانند سرطان یا دیابت و سایر بیماری های ریوی ناشی از استعمال دخانیات در حال انجام است.
علت ایجاد جای زخم در ریه ها
یک پاسخ ایمنی بیش فعالی ممکن است دلیل ایجاد جای زخم در ریه ها باشد، هجوم ناگهانی مولکول هایی به نام سیتوکین ها باعث التهاب ریه می شود و می تواند به بافت ریه آسیب برساند و آلوئول ها را پر از چرک کند.
در بدترین حالت، آسیب ناشی از این التهاب به حدی شدید است که در نهایت باعث ایجاد بافت ضخیم زخم می شود، چیزی که در سارس و مرس نیز دیده می شود.
تنفس با ونتیلاتور ها می تواند به ریه آسیب برساند
به گفته رادیولوژیست کارونا داس (Karuna Das) از دانشگاه امارات متحده عربی، تنفس با کمک ونتیلاتور ها (تهویه های مکانیکی وسایلی هستند که برای تنفس بیماران استفاده می شوند) می تواند باعث آسیب به ریه شود و شاید تشخیص این نوع آسیب از طریق ونتیلاتور ها سخت باشد.
او ادامه داد: در حال حاضر در حال بررسی تأثیر طولانی مدت کووید ۱۹ روی ریه هستیم.
داس افزود: در هنگام شیوع مرس، برخی از بیماران بیش از ۱۰۰ روز در ونتیلاتور قرار داشتند، اکسیژن با فشار قوی به آن ها تزریق می شد و هنگامی که ریه ها پر از اکسیژن و باعث تروما می شد.
داس و همکارانش در سال ۲۰۱۷ در مجله رادیولوژی و تصویربرداری هندی اعلام کردند که حدود یک سوم بیماران مبتلا به مرس که دچار آسیب ریه شده بودند، بعد از گذشت ۷ ماه به طور کامل بهبود نیافتند.

فیبروز ریوی چیست؟
فیبروز ریوی یک بیماری ریوی است که وقتی به بافت ریه آسیب می رسد اتفاق می افتد، این بافت ضخیم و سفت باعث می شود که کار کردن مناسب و درست ریه ها را سخت تر کند.
علائم بیماری فیبروز ریوی
- کوتاهی نفس تنگی نفس
- سرفه خشک
- خستگی
- کاهش وزن عجیب
- درد عضلات و مفاصل
- پهن شدن و گرد شدن نوک انگشتان دست یا پا











































