علائم پوسیدگی ریشه دندان چیست؟
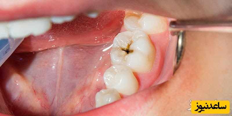
علائم پوسیدگی ریشه دندان چیست؟ از جمله علائم پوسیدگی دندان ها را می توان از طرق مختلف متوجه شد. یکی از راه های مطمئن و قابل اعتماد استفاده از عکس های دیجیتال و یا رادیولوژی از دندان ها می باشد.
دندانپزشک باتجربه و متخصص از طریق این عکس ها پی به پوسیدگی ریشه دندان ها می برد و اگر علائم پوسیدگی در ریشه دندان ها وجود داشته باشد، می تواند به خوبی متوجه این موضوع شد.
کسانی که درد از نوع بی قراری زیادی در دندان های خود داشته باشند و یا این که لثه دندان از قسمت پایه دندان فاصله پیدا کرده و لثه به نحوی افت پیدا کرده و ریشه کم کم نمایان شده و مشاهده می شود، می تواند از علائم پوسیدگی ریشه دندان شروع شده باشد.
وقتی لثه ها از پایه و ریشه دندان فاصله می گیرند، میکروب ها و باکتری های بد موجود در دهان فضا را مناسب دیده و با چسبیدن به ریشه دندان ها که به دلیل نداشتن لایه محافظتی مثل مینای روی تاج، ریشه ها به راحتی آسیب پذیر می شوند و با اندکی باکتری به زودی پوسیده و از بین می روند.
از دیگر موارد می توان به شکستگی و یا خرد شدن دندان بر اثر خوردن غذا و یا با اندک فشاری می تواند از فرسودگی ریشه و تخریب آن باشد.
از دیگر علائم پوسیدگی ریشه دندان می توان به متورم شدن لثه اشاره نمود. در برخی موارد با جویدن غذا و یا جویدن آدامس، و داشتن احساس درد ضربانی، می توان در این گونه مواقع احساس پوسیدگی ریشه دندان را داشت.
بعضی مواقع نیز تغییر رنگ دندان و یا خرد شدن هر از چند گاهی در دندان ها می توان پی برد که ریشه در حال فاسد شدن و یا پوسیده شدن می باشد.

به غیر علائمی که به علائم پوسیدگی ریشه دندان اشاره نمودیم، از جمله علائمی که می توان به سلامت ریشه دندان ها به آن پی برد، بر عکس مواردی که برای علائم پوسیدگی ریشه دندان اشاره نمود می توان به سلامت ریشه دندان ها پی برد.
در مواردی که مثلاً ما هیچ گونه دردی در دندان ها احساس نمی کنیم و یا این که هیچ گونه پوسیدگی و یا تغییر رنگ در دندان ها نمی بینیم و یا این که تغییراتی در لثه مشاهده نمی شود، می توان از سلامت ریشه دندان ها مطمئن شد.
در مواردی دیگر و با خوردن غذا و یا فشار بر دندان ها، هیچ گونه دردی نداریم و یا این که تحلیل لثه ها را نمی بینیم، میتوانیم مطمئن شویم که ریشه های دندان های ما سالم و سلامت هستند.

از روش هایی که برای جلوگیری از تخریب ریشه دندان و علائم پوسیدگی ریشه دندان می توان عنوان نمود در ادامه به آن می پردازیم.
همانطور که در خصوص علائم پوسیدگی ریشه دندان گفتیم، راه جلوگیری از تخریب ریشه دندان را نیز می توان به مواردی از جمله رعایت بهداشت فردی از طریق مسواک زدن و زدودن باقیمانده غذاها از روی دندان ها، می تواند به رفع پوسیدگی دندان ها کمک کرد.
باقیمانده غذاها که لابه لای دندان ها گیر می کنند، می توانند بر اثر ماندگاری زیاد تبدیل به باکتری های سمی و خطرناک گردند که با لایه بندی بر سطوح دندان ها، تخریب آن ها و در ادامه تخریب ریشه دندان را باعث می شود.
عدم مصرف مواد دخانیات و سیگار و امثالهم می تواند یکی دیگر از راه های مقابله با پوسیدگی دندان و ریشه آن باشد. ماندگاری مواد قندی و نشاسته بر روی دندان ها و همچنین استفاده زیاد از غذاهای فست فودی و نوشابه های قندی گازدار یکی دیگر از مواردی است که می تواند بر تخریب ریشه دندان ها اثر بدی بگذارد.
دندان قروچه و فشار بیش از حد به دندان ها مخصوصاً در خواب و یا خرد کردن اجسامی سفت و سخت مثل بادام و فندق و پسته با دندان می توان آسیب جدی به دندان ها به خصوص به ریشه آن بزند.

تا آنجا که ممکن است و از مواردی که برای علائم پوسیدگی ریشه دندان عنوان نمودیم تا جایی کار ساز است که بتوان دندان ها را به طرق مختلف نجات داد. ولی در زمانی که کار از کار گذشته باشد و دیگر نتوان برای ریشه پوسیده کاری کرد، باید با روش های معمول از قبیل ایمپلنت دندان ارزان اقدام به جایگزینی دندان های از دست رفته نمود.
ریشه های پوسیده شده را نمی توان به هیچ گونه برگرداند و با کاشت دندان مصنوعی ثابت به جای ریشه های پوسیده به عنوان بهترین روش و مطمئن ترین راه از خالی بودن و نگرانی در خصوص عدم وجود این دندان ها خلاصی یافت.

با توجه به تعریفی که از علائم پوسیدگی ریشه دندان عنوان نمودیم و از مهمترین مواردی که اگر دندان های پوسیده را از دهان خارج نکنیم می توان باعث عوارض و یا دردسرهای تازه برای ما بوجود آید.
یکی از این موارد می تواند گسترش عفونت و خرابی به استخوان های فک و یا به لثه شود. از موارد دیگر نیز می تواند عفونت موجود در ریشه دندان به جریان خون وارد شده و باعث بیماری های دیگر از جمله پایین آمدن سطح ایمین بدن گردد.
حتی این گونه عفونت ها می تواند از طریق خون به قلب رسیده و باعث بیماری های قلبی عروقی گردد.
در خیلی از موارد علائم پوسیدگی ریشه دندان می تواند، باعث آبسه دندان های کناری و یا بیماری های لثه ای و ایجاد کیست در آن ها می گردد.

هزینه هایی که برای درمان ریشه دندان باید متقبل شویم بستگی به میزان تخریب و یا اینکه نیاز به جراحی برای درآوردن این گونه ریشه ها می باشد یا نه تمامی این گونه موارد در قیمت تمام شده برای درمان ریشه دندان موثر است.
هزینه های درمان ریشه دندان با توجه به افزایش نرخ ارز و با توجه به افزایش نرخ تورم قیمت ها به صورت صعودی در حال افزایش است.