صفحه اصلی
●
درباره ما
●
English
●
العربية
Saturday, December 06, 2025
شنبه، 15 آذر 1404
ساعدنیوز
●
درباره ما
●
زبان
فارسی
English
العربية
دسته بندی ها
بستن
جستجو
سیاست
جامعه
حوادث
اقتصاد
ورزش
دانشگاه
موسیقی
هنر و رسانه
علم و فناوری
بازار
مجله خانواده
ویدیو
عکس
خبر با تو
استانها
علمی
حوزه پزشکی
حوزه تغذیه
حوزه تکنولوژی
عمومی
حوزه تاریخی
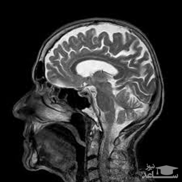
(فیلم) حرکات بسیار جالب زبان هنگام آواز خواندن
علم و فناوری
علمی
علمی
چهارشنبه، 06 تیر 1397
ساعد نیوز: این فیلم توسط پروفسور جینس فراهام فیزیک دان وزیست شناس آلمانی ساخته شده فیلم با استفاده از تکنولوژی (MRI )هنگام حرف زدن و آواز خواندن گرفته شده است.
به گزارش سایت خبری
ساعد نیوز
و به نقل از خبرگزاری مهر:
پسندیدم
دیدگاه ها
دیدگاه ها
نظر خود را به اشتراک بگذارید
نظر خود را به اشتراک بگذارید
ارسال دیدگاه
از سراسر وب
خلاقیت خنده دار یک هموطن در تبدیل پیکان به پژو حماسه آفرید / از پیکان فقط یک خاطره موند😂
جمله جنجالی بازیگر محبوب درباره تئاتر و سرنوشتش؛ اگر بازیگر نمیشدم، لات و لوت میشدم چون...+فیلم
فال حافظ با تفسیر امروز شنبه 15 آذر 1404 + فیلم/ همهچیز خوب پیش میرود؛ فقط یک اشتباه کافی است تا همه چیز فرق کند!
بلای وحشتناکی که ناپدری بی رحم بر سر دختر 24 ساله آورد؛ او را به بیابان برد و ...
(عکس) شاهکار دستساز هخامنشی؛ قاشقی با طراحی پیچیده، برگرفته از اساطیر کهن ایران و روایتگر داستانی جاودانه از هنر، قدرت و نمادهای باستانی
جذاب ترین استایل پاییزه و زمستانه مشهورترین بازیگران ایرانی در اکران فیلم «آن دیگری»/ نیوشا ضیغمی، نسرین مقانلو، نگین صدق گویا، هانیه غلامی، نسیم ادبی، ستاره اسکندری و...
وقتی فرزند پنجم رونالدو به دنیا اومد: خانهی شیرین، جورجینا و دختربچه با ما هستند، اکنون زمان آن رسیده است که...+عکس
ادعای جمهوری اسلامی نسب به اردستانی/ از اساتید اخراجی است...بزرگان حوزه در برابر مداحان بدزبان بایستند
مطالب پیشنهادی
نگاهی به کارت عروسی پینترستی مریم مومن و سهیل قصدی به همراه گیفت های عروسی جذابشان+عکس
(ویدیو) احساسیترین و سوزناکترین شعر حسین صفاء با صدای روحنواز باران نیکراه: چه حکمتی ست در این مردن؟ در عاشقانه ترین مردن...
اعتراف فرح پهلوی به شکنجه های ساواک / ما اشتباه کردیم!
علی دایی شهریار فوتبال ایران: زندگی مرفه حق من است/ خانه418متری دارم/ اگر میخواستم جور دیگری زندگی کنم20برج20طبقه داشتم
پیشنهاد ویژه
(ویدیو) نگاهی ویژه به دنیای دانشجویان پزشکی دانشگاه البرز/ تجربهای جذاب از زندگی و تحصیل🤩
واکنش اوگودِیلو: «بازگشت قایدی تفاوت میسازد؛ برای رسیدن به فینال آمادهایم»
مقایسه زیبای اکسسوری عروس، دسته گل و تاج زیبای بازیگران و هنرمندان ایرانی/ مریم مومن فریبا نادری، نرگس محمدی، متین ستوده، مینا مختاری، هانیه غلامی، مونا کرمی، شیدا خلیق و...
تمامی مدارس و دانشگاههای این استان روز شنبه 15 آذر تعطیل شد
پربازدیدترین ویدئوهای روز
(ویدئو) طلاییترین درس زندگی و مهمترین نصیحت دکتر انوشه برای هر سن و سالی: «گاو اگه بره تو قصر شاه نمیشه ولی قطعا قصر طویله میشه!»
کائنات پیام ویژه ای برات داره؛ زندگی فاصله بین 2 دم است: دمِ اول که آغاز میکنی، دمِ آخر که رها میکنی میان این دو تنها کاری که میتوانی بکنی با حضور زندگی کردن است/پیام انگیزشی امروز 14 آذر
شعرخوانی دلنشین و جگرسوز حامد عسکری، شاعر معاصر از عاشقانهترین و احساسیترین شعرش:شانهات را دیر آوردی سرم را باد برد خشت خشت و آجر آجر، پیکرم را باد برد
جسور و شجاع مثل شهربانو منصوریان، قهرمان ووشو کار ایرانی: کاش همون کارگریمو می کردم و آب حوض میگرفتم ولی توی تیم ملی....
زنگ خلاقیت: ابتکار و نوآوری تحسین برانگیز پسر هندی برای تولید آچار فرانسه در خانه بدون هیچ امکاناتی حماسه نیست پس چیه؟/ از قدیم گفتن تو محدودیت ذهن ها شکوفا میشن!
ویدئو/نگاهی به دکوراسیون شیک و چیدمان شاهانه خونه مجردی نفیسه روشن / از مبلمان سلطنتی فیروزهای تا فرش فیروزهای و آشپزخانه مدرن
(ویدئو)/ شهاب حسینی: تو نسل من آدم 2 قطبی و ریاکار زیاده، چون به ما نمیگفتن نماز بخونین واسه تشکر از خدا، میگفتن نماز نخونین از انظباطتون کم میشه ولی نسل جدید..
مرور خاطرات؛ استندآپ شرکت کننده برنامه "عصر جدید" که هیچ وقت تکراری نمیشه / با اون لهجه ترکیش چه قشنگ عادت های سمی کارهای مشترک همه رو میگه😂
وب گردی
حوادث
بیشتر
بلای وحشتناکی که ناپدری بی رحم بر سر دختر 24 ساله آورد؛ او را به بیابان برد و ...
رابطه پنهانی با زن متأهل / ماجرای مزاحمت ها پس از ادعای بارداری چه بود؟
قتل فجیع عروس 9 ماهه جوان در میانه، اختلاف ساده بر سر جاکفشی که به جریان خونین ختم شد+ جزئیات
کشف عجیب پژو با جمجمه و اسکلت انسان پس از 15 سال از زیر خاک در حوالی اهواز + فیلم
عشق ممنوعه پسر 17 ساله تهرانی به نامادری اش / پدرم سر راهم بود !
حقایق عجیب درباره مرگ مریلین مونرو که بعد از 63 سال فاش شد؛ خودکشی نکرده بود
اعترافات بیشرمانه پسر شیطان صفت برای زورگیری از خانمها + روایت قربانیان از وحشت در خودرو
قتل فجیع دختر جوان بعد از ملاقات با دوست اینستاگرامی خود / دست و پایش را بست و بطرز وحشیانهای...
آخرین ویدیو ها
نگاهی ویژه به جزئیات مراسم عروسی شاهانه و فوق لاکچری مریم مومن و همسرش سهیل قاصدی: گل آرایی و تزئیین منحصربهفرد کیک چند طبقه با خلاقیت تحسین برانگیز اوستا قناد تهرانی
جشن تولد دسته جمعی 34 سالگی سینا مهراد، بازیگر جذاب از یاد رفته/ خیلی حال میده زندگی با تمام سختی هاش ...(فیلم)
بهرنگ علوی: در جوکر 8 دقیقه رقصیدم چه رقصی هم کردم! داشتم لذت می بردم+فیلم
تغییر چهره عجیب احسان علیخانی با تغییر در مدل موهایش؛ تحول در قیافه مجری سابق صدا و سیما با مدل مویی که اصلا بهش نمیاد! +ویدیو
(ویدیو) سوزناکترین و عاشقانهترین شعر هوشنگ ابتهاج: ارغوان شاخه همخون جدا مانده من/آسمان تو چه رنگ است امروز؟...
ویدئو/ضربه کاری شاهرخ استخری، مالک کمپانی طلافروشی:درس خوندن واسم نون و آب نشد!/ خیلیامونم با درس خوندن به یه جایی رسیدیم! مگه نه؟
ویدیو| واکنش جالب دکتر پزشکیان به سخنرانی بینظیر دانشآموز خراسانی در شبکههای اجتماعی پربازدید شد!
ادعای عجیب بابک زنجانی: در سه سال 87 میلیارد دلار از کوه و زمین و هوا وارد کشور کردم تا قیمت دلار روی هزار تومان ثابت بماند/ 7 سال تمام من را در انفرادی نگه داشتند...نه تلویزیون نه هیچی...
فیلم/نگاهی به چیدمان جشن عروسی پرطمطراق مریم مومن و سهیل قاصدی/ کارت ولکام یا کارت خوش آمدگویی، دیزاین شمع و گل و طراحی بی نظیر پیست رقص عروس و داماد و.../ انصافا چیزی از قلم ننداخته بودن
حضور سینا ساعی، چهره محبوب این روزها در کنسرت اشوان+ویدیو/ خوشحالی اشوان از قبول کردن ستاره کارناوال برای حضور در کنسرتش
(ویدیو) دکتر محمود انوشه بهترین متخصص روانشناسی ایران: یادتون نره اگر کسیرو قضاوت کردید...
(ویدیو) شورانگیزترین آواز استاد شجریان با غزلی بیبدیل از حضرت حافظ، مرا میبینی و هر دَم زیادَت میکنی دَردَم / تو را میبینم و میلم زیادَت میشود هر دَم
آخرین تصاویر
آسمان عربستان با ستارگان دنیای هالیوود درخشید/ نگاهی به تیپ و استایل بازیگران خارجی در فرش قرمز جشنواره فیلم «دریای سرخ» عربستان سعودی
پست قابل تامل هومن خلعتبری/ خیلی خاص و عمیق بود!
(عکس) حالوهوای تهران در سوگ پروفسور مریم میرزاخانی؛ نگاه نزدیک به آگهیهای ترحیم و مراسم یادبود
قاب روز ورزشی/ رونالدو از فقر کودکی تا میلیاردر شدن در بزرگسالی
«آق ننه» سریال آنام به همراه همسر و فرزندش؛ سال 99
مهمترین عناوین ورزشی شنبه 15 آذر 1404 در یک نگاه / فرصت طلایی برای صعود تاریخی
«آیناز» (سریال آنام) در 35 سالگی در ایتالیا
«مینا نادری» (سریال از یاد رفته) در 6 سالگی در مهد کودک؛ دهۀ 60
سایر ویدیوها
تغییر چهره عجیب احسان علیخانی با تغییر در مدل موهایش؛ تحول در قیافه مجری سابق صدا و سیما با مدل مویی که اصلا بهش نمیاد! +ویدیو
(ویدئو) از جام مارلیک تا گارد جاویدان؛ سفری به بزرگترین و باشکوهترین گنجینههای ایران باستان که قلب موزه لوور را در دست گرفتند!
نگاهی ویژه به جزئیات مراسم عروسی شاهانه و فوق لاکچری مریم مومن و همسرش سهیل قاصدی: گل آرایی و تزئیین منحصربهفرد کیک چند طبقه با خلاقیت تحسین برانگیز اوستا قناد تهرانی
(ویدئو) وحشتناکترین و شخصیترین خاطره امیرحسین قیاسی و ابوطالب حسینی از معلم دینیشان در دوران مدرسه؛ آقای احدی دنبال چی بودی از بچههای استعداد درخشان؟!!😂
درس زندگی از زبان بهمن هاشمی که اندازه 10 سال تجربه توش مفهوم داشت/ مغز امیرحسین قیاسی سوت کشید!!(فیلم)
شنبههای عاشقانه با استاد شهریار/ روایتی از شب عروسی عشقِ ازدسترفته؛ خاطرهای که هنوز در سینه میسوزد، با حسرتی شاعرانه و دلتنگیای که انگار صدای بغضآلود شهریار آن را زنده میکند(فیلم)
(ویدیو) یادی کنیم از اجرای جاودان و احساسی تصنیف «آرام جان» از شاعر نامدار عارف قزوینی توسط خسروی آواز ایران، استاد محمدرضا شجریان
(ویدیو) احساسیترین و سوزناکترین شعر حسین صفاء با صدای روحنواز باران نیکراه: چه حکمتی ست در این مردن؟ در عاشقانه ترین مردن...
(ویدئو) مردان، بزرگترین اشتباه شما در قبال زنانتان چیست؟ سینا ساعی: 'قلعه' زندگیتان را رها نکنید!
(ویدیو) دکتر محمود انوشه بهترین متخصص روانشناسی ایران: یادتون نره اگر کسیرو قضاوت کردید...
جمله جنجالی بازیگر محبوب درباره تئاتر و سرنوشتش؛ اگر بازیگر نمیشدم، لات و لوت میشدم چون...+فیلم
دکتر عزیزی: با نوشتن درس های بچه موافقی یا مخالف؟ کسی که درس بچشو حاضر میکنه مدیونه فرزندشه، بعد میگید بچه م چرا تربیت نمیشه!(ویدیو)