به گزارش سایت خبری ساعدنیوز و به نقل از ایسنا :
امروز در نشست سالانه "انجمن تحقیقات سرطان" آمریکا، محققان گوگل از نمونه اولیه یک میکروسکوپ "واقعیت افزوده"(AR) رونمایی کردند که با استفاده از الگوریتمهای "هوش مصنوعی"(AI) سلولهای سرطانی را تشخیص میدهد.
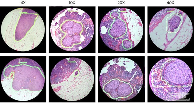
هنگامی که پاتولوژیستها یک بافت زیستی را تجزیه و تحلیل میکنند تا در صورت وجود نشانههای سرطان، نوع و میزان پیشرفت بیماری را بررسی کنند، این فرآیند بسیار وقت گیر است. بنابراین محققان گوگل نمونه اولیه میکروسکوپی را ساختند که میتواند سرعت مطالعات آسیبشناسی در سراسر جهان را افزایش دهد.
با این وجود محققان گوگل معتقدند این میکروسکوپ به آزمایشگاههای کوچک، کلینیکها یا کشورهای در حال توسعه که بودجه محدودی دارند، کمک میکند تا با روشی آسان از این ابزار استفاده کنند و مطالعات مربوط به سرطان را انجام دهند.
این ابداع، یک میکروسکوپ نوری معمولی است که غالبا آسیب شناسان در سراسر جهان از آن استفاده میکنند و گوگل تنها این میکروسکوپ را کمی بهینهسازی کرده است تا آن را به عنوان یک فناوری دارنده "هوش مصنوعی" و "واقعیت افزوده" معرفی کند.
در ابتدا شبکههای عصبی برای تشخیص سلولهای سرطانی در غالب تصاویر "بافت زیستی" در این میکروسکوپ تعریف میشود، سپس پس از ایجاد یک برش از بافت انسان، آن را زیر میکروسکوپ قرار میدهند.
پس از آن، محققان آن بافت را از عدسی میکروسکوپ مشاهده کرده و تصویر به رایانه انتقال داده میشود.
در نهایت الگوریتمهای هوش مصنوعی سیستم، سلولهای سرطانی بافت را تشخیص میدهد.
تاکنون تیم تحقیقاتی گوگل، عملکرد این میکروسکوپ در سرطان پروستات و سرطان سینه را ارزیابی و آزمایش کردهاند که نشان میدهد عملکرد این سیستم بسیار دقیق است.
این در حالی است که گوگل معتقد است این سیستم میتواند برای تشخیص سرطانهای دیگر و همچنین بیماریهای عفونی از قبیل "سل" و "مالاریا" نیز مورد استفاده قرار گیرد.
مطالعات مربوط به این میکروسکوپ هنوز هم ادامه دارد و گوگل میگوید، برای ارزیابیهای دقیقتر و عملکرد بهتر این سیستم، مطالعات بیشتری لازم است.











































