بیماری های لثه و دیابت
دیابت می تواند مقاومت بدن نسبت به عفونت را کاهش دهد. قند خون بالا خطر ابتلا به بیماری لثه را افزایش می دهد.، بیماری های لثه می تواند حفظ سطح قند خون را سخت تر کند.
با نگه داشتن سطح قند خون نزدیک به مقدار نرمال، از لثه خود محافظت کنید. بعد از هر وعده غذا مسواک بزنید و روزانه از نخ دندان استفاده کنید. دندانپزشک خود را حداقل یک بار در سال ببینید.
خشکی دهان و زبان باعث پوسیدگی دندان می شود
افراد مبتلا به سندرم شوگرن، بیشتر مستعد ابتلا به مشکلات بهداشت دهان و دندان هستند. شوگرن باعث می شود سیستم ایمنی بدن به اشتباه به مجاری اشکی و غدد بزاقی حمله کند، که منجر به خشکی مزمن چشم و خشکی دهان می شود.
بزاق کمک می کند تا دندان ها و لثه ها در مقابل باکتری ها که باعث حفره و التهاب لثه می شوند، محافظت کند . پس دهان دائما خشک بیشتر مستعد ابتلا به پوسیدگی دندان و بیماری لثه است.

داروهایی که باعث خشکی دهان می شوند
با توجه به این که دهان خشک، خطر ابتلا به حفره ها و بیماری های لثه را افزایش می دهد، ممکن است بخواهید لیست داروهای خود را بررسی کنید.
آنتی هیستامین ها، ضد احتقان ها، ضد دردها و داروهای ضد افسردگی از داروهایی هستند که می تواند موجب خشکی دهان شود. با دکتر یا دندانپزشک خود برای پیدا کردن رژیم دارویی موثر بر سلامت دهان و دندان خود حرف بزنید.
استرس و دندان های آسیاب
اگر شما تحت استرس، اضطراب و افسردگی هستید، ممکن است در معرض خطر بالاتری برای مشکلات بهداشت دهان و دندان باشید. افراد تحت استرس، سطح بالایی از هورمون کورتیزول تولید می کنند، که در لثه ها و بدن خرابی به بار می آورد.
استرس همچنین منجر به ضعف دهان و دندان می شود. بیش از ۵۰ درصد از مردمی که استرس دارند به طور منظم مسواک نمی زنند. دیگر عادت های مرتبط با استرس عبارتند از سیگار کشیدن، نوشیدن الکل، و فشار دادن دندان ها و دندان قروچه.

پوکی استخوان و از دست دادن دندان
بیماری پوکی استخوان بر تمام استخوان ها در بدن از جمله استخوان فک تاثیر می گذارد، که می تواند باعث از دست دادن دندان ها شود. باکتری پریودنتیت، که از بیماری های شدید لثه است، می تواند استخوان فک را خورد کند.
بیس فسفونات که یک نوع از داروهای پوکی استخوان است ممکن است خطر ابتلا به یک بیماری نادر به نام استئونکروز، که باعث مرگ استخوان فک می شود را افزایش دهد. اگر شما داروی بیس فسفونات را استفاده می کنید به دندانپزشک خود بگویید.
لثه رنگ پریده و کم خونی
اگر کم خونی دارید، دهان شما ممکن است رنگ پریده و درد داشته باشد و زبان شما می تواند متورم و ملتهب شود . وقتی کم خونی دارید، بدن شما به اندازه کافی گلبول های قرمز خون ندارد و یا سلول های قرمز خون شما حاوی هموگلوبین کافی نیست.
در نتیجه، بدن اکسیژن کافی دریافت نمی کند. انواع مختلفی از کم خونی وجود دارد، و درمان ها متفاوت است. با دکتر خود را برای پیدا کردن نوع و چگونگی درمان آن گفتگو کنید.

برفک زبان و اچ آی وی
افراد مبتلا به اچ آی وی و ایدز ممکن است به برفک دهان، زگیل دهان، تب خال، زخم های شانکر و لکوپلاکیای مودار مبتلا شوند، که به شکل تکه های سفید یا خاکستری بر روی زبان یا داخل گونه مشاهده می شود.
ضعف سیستم ایمنی بدن و عدم توانایی برای مقابله با عفونت مقصر اصلی این مشکل شناخته می شود. افراد مبتلا به اچ آی وی و ایدز همچنین ممکن است خشکی دهان، که خطر پوسیدگی دندان را افزایش می دهد و می تواند جویدن، غذا خوردن، بلع، یا صحبت کردن را مشکل سازد را تجربه کنند.

درمان بیماری لثه ممکن است به RA کمک کند
افرادی که مبتلا به آرتریت روماتوئید (RA) هستند، هشت برابر بیشتر احتمال ابتلا به بیماری لثه دارند. التهاب وجه مشترک میان بیماری لثه و آرتریت روماتوئید است.
چیزی که اوضاع را بدتر میکند این است که افراد مبتلا به RA می توانند مشکل مسواک زدن و نخ دندان را به دلیل صدمه به مفاصل انگشت داشته باشند. خبر خوب این است که برای التهاب و عفونت لثه درمان وجود دارد، که می تواند درد مفاصل و التهاب را کاهش دهد.

از دست دادن دندان و بیماری های کلیه
بزرگسالان بدون دندان ممکن است احتمال بیشتری به ابتلا به بیماری مزمن کلیه داشته باشند.
کاملا مشخص نشده است که دقیقا چه ارتباطی بین بیماری کلیوی و بیماری های پریودنتال وجود دارد، اما محققان نشان می دهند که التهاب مزمن ممکن است وجه مشترک بین آن ها باشد. بنابراین مراقبت از دندانها و لثه ها ممکن است خطر ابتلا به مشکلات مزمن کلیوی را کاهش دهد.

بیماری لثه و تولد زودرس
اگر حامله هستید و بیماری های لثه دارید، شما به احتمال زیاد یک نوزاد زودرس و بیش از حد کوچک به دنیا بیاورید. دقیقا چه ارتباطی بین این دو مورد وجود دارد، کمتر شناخته شده است، اما التهاب یا عفونت ممکن است مقصر باشد.
بارداری و تغییرات هورمونی مرتبط با آن نیز به نظر می رسد بیماری های لثه را بدتر کند.
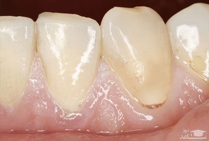
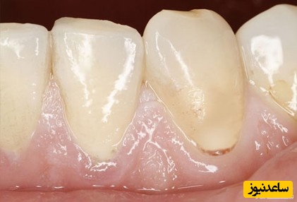
لثه های سالم چگونه به نظر می رسد؟
لثه سالم باید صورتی رنگ و سفت باشد و قرمز و متورم نباشد. برای سالم نگه داشتن لثه ها، بهداشت کامل دهان را رعایت کنید. دندان های خود را حداقل دو بار در روز مسواک بزنید، از نخ دندان حداقل یک بار در روز استفاده کنید، دندانپزشک خود را به طور منظم ببینید و از سیگار کشیدن و یا جویدن تنباکو و نوشیدن المل اجتناب کنید.











































