صفحه اصلی
●
درباره ما
●
English
●
العربية
Sunday, December 14, 2025
یکشنبه، 23 آذر 1404
ساعدنیوز
●
درباره ما
●
زبان
فارسی
English
العربية
دسته بندی ها
بستن
جستجو
سیاست
جامعه
حوادث
اقتصاد
ورزش
دانشگاه
موسیقی
هنر و رسانه
علم و فناوری
بازار
مجله خانواده
ویدیو
عکس
خبر با تو
استانها
اطلاعات دارویی
خواص خوراکی ها
پوست و مو
بیماری ها و راههای درمان
رژیم غذایی
طب سنتی و گیاهان دارویی
دهان و دندان
مجله خانواده
سلامت خانواده
دهان و دندان
(عکس) گول تبلیغ این خمیر دندان خطرناک را نخورید!
(ویدئو) آیا می دانستید اگر دندانتان عفونت کرده باشد ممکن است منجر به ایجاد توده در مغز شود؟!
دندان شیری: حافظ سلامت آینده دندانهای دائمی | اولین ویزیت دندانپزشکی کودک
علت بریده بریده شدن زبان؛ دلایل، علائم و روشهای درمان
11 درمان خانگی مؤثر برای تلخی دهان که فوراً تاثیر میگذارد
چطور از زردشدن دندانها جلوگیری کنیم؟/ 7 روش برای سفیدکردن طبیعی دندانها در خانه
10 درمان خانگی موثر برای تورم زبان کوچک (اوولیت) + نکات کلیدی
7 درمان خانگی معجزهآسا برای زبان جغرافیایی
آیا جرمگیری به مینای دندان آسیب می زند؟ / فواید جرمگیری منظم دندان
درمان عفونت لثه بعد از عمل
همه چیز در مورد پولیش دندان
همه چیز در مورد لیفت (لمینت) متحرک دندان
درمان سه سوته دندان درد در خانه
شیار پوشی دندان چگونه می باشد؟
برای دندان خمیر دندان بهتر است یا دهانشویه؟
عوارض و مشکلاتی که در پر کردن دندان وجود دارند.
مکمل های طبیعی برای سلامت دندان و دهان
راز هایی که زبان در مورد سلامتی می گوید!
بهترین روش برای سفیدی دندان ها در طب سنتی
آشنایی با نحوه ی گرفتن موم بایت ارتودنسی و تریم کست پایین
در مورد لمینت دندان خرگوشی چیست؟
ایمپلنت دندان های جلو و نکات مهم در مورد آن
هر آنچه در مورد افتادن روکش ایمپلنت دندان باید بدانید!
در مورد تغییر رنگ کامپوزیت دندان چه می دانید؟
در مورد خارج کردن روکش دندان چیست؟
انتخاب رنگ و شکل لمینت دندان
کامپوزیت برای درمان دندان کج
از چه مواد غذایی بعد از ایمپلنت می توان استفاده کرد؟
یک واحد ایمپلنت یعنی چه؟
جرم گیری دندان ها با سرکه سیب چگونه میباشد؟
کنترل عفونت در دندانپزشکی چگونه انجام میگیرد؟
مراقبت از دندان ها و لثه ها در فصل زمستان
چه کسانی نمی توانند ایمپلنت دندان انجام بدهند؟
تفاوت ایمپلنت تیتانیوم با زیرکونیا چیست؟
لمینت بدون تراش دندان چگونه انجام می شود؟
پیوند استخوان در ایمپلنت دندان
همه چیز در مورد استفاده از لیزر در ایمپلنت دندان
دندانپزشکی دیجیتال چیست؟
هیپوپلازی مینا چیست؟
عوارض جانبی استفاده از ایمپلنت نامرغوب چیست؟
عمل سینوس لیفت دندان چیست؟
چه مدت پس از کشیدن دندان ایمپلنت انجام دهیم؟
بیماری استوماتیت یا التهاب دهان چیست؟
تاثیر ارتودنسی بر زیبایی چانه
بیماری تیروئید و درمان ارتودنسی
موم ارتودنسی چیست؟
ریختن آب دهان در خواب و علل آن
درمان های گیاهی برای ریختن آب دهان در خواب
گزینه های درمانی پزشکی برای رفع مشکل ریختن آب دهان در خواب
زبانکوچک چیست؟
التهاب زبان کوچک به چه دلیلی صورت می گیرد؟
عملکردهای زبانکوچک چیست؟
درمان و جلوگیری از پوسیدگی دندان با چند روش مختلف
چند راه طبیعی برای جلوگیری از پوسیدگی در مینای دندان
رعایت بهداشت دهان و دندان برای جلوگیری از پوسیدگی دندان
شیار پوش دندان + سوالات متداول
شیار پوش دندان + نکات مهم
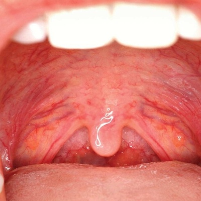
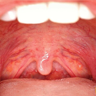
درمان قطعی گلو درد چرکی در خانه
انواع عفونتهای مزمن در گلو
گلو درد و عوارض آن
صفحه قبل
صفحه بعد
از سراسر وب
رضا عطاران در جشن حافظ: خواب دیدم تو بیابون علی اوجی یه چیز استوانه ای از توی لباسش درآورد گفت این رو حافظ به تو داده!+فیلم
عکس/ قبرستانی در ایتالیا که به شاهکار ی از نمونه ی جسورانه معماری مذهبی تبدیل شد
یادی کنیم از خلوت هاشمی رفسنجانی با پدر در خانه ابدی+عکس/مقبره ای که سلطنتی نبود...
خلاقیت خنده دار یک مادر باهوش برای تشخیص 4 قلوهایش جهانی شد/ مامان نگو انیشتن بگو/ اسطوره فامیل خودتی و بس😂+عکس
(ویدئو) آرتاخه؛ مهندس نابغه ایرانی که کانال خشایارشا پادشاه هخامنشی را جاودانه کرد
هادی چوپان: یک کشور عربی به من پیشنهاد میلیاردی داد، با این پول می توانستم در ایران یک کوچه با تمام خانه ها و مغازه هایش را بخرم اما...
خاطرات علم: فرح از شاه پرسیده بود؛ «شما بعضی روزها با علم بعدازظهرها کجا میروید؟»
سریالسازان نمایش خانگی تهران را با تگزاس اشتباه میگیرند!
مطالب پیشنهادی
علی پروین: بازیکن هلند من را گرفته بود، دید من اصلا نمیتوانم بدوم، رفت جلو دوتا گل زد برگشت
هانیه توسلی آستین ها را برای یک سرطان زنانه بالا زد / پویش پیشگیری از سرطان سینه + فیلم
روایت شهریار از بهجت تا شهریار؛ پشت پرده علت شکل گرفتن این تخلّص + ویدئو
(ویدیو) صحبت های طلایی و تاثیرگذار دکتر علیرضا آزمندیان متخصص روانشناسی: دلیل رنگ عوض کردن آدما تو زندگیتون فقط 2 چیزه...
پیشنهاد ویژه
تعطیلی مدارس تهران یکشنبه 23 آذر
زندگی شخصی و خصوصی نفیسه روشن و همسرش + عکس های دیدنی
ایران، مصر، بلژیک و نیوزیلند؛ گروه هفتم از نگاه رودی گارسیا
(ویدئو) این مرد تواناییهای فوقالعادهای کسب کرد! / بازگشت قدرت به بازوان یک مرد با جادوی مهندسی پزشکی
پربازدیدترین ویدئوهای روز
طالعبینی روز؛ اسم عشقت رو سه بار بگو و بیا اینجا که کارما برگشته سراغش! سرنوشت روی خوشش رو داره بهت نشون میده / تقویم نجومی، اعمال، ذکر و نماز روز یکشنبه 23 آذر
بازدید میلیونی فیلم ادعای زن ایرانی با 388 بار عمل زیبایی که در گینس ثبت شد / دکترا گفتند سه روز بیشتر زنده نمیمونم
امروز اعدام نامادری آوا دختر 4 ساله ارومیهای که بطرز وحشیانهای دختر بیچاره رو شکنجه داد / این ویدئو حاوی تصاویر دلخراش است 🚫
(فیلم) پیامی که المیرا شریفی مقدم خواند؛ وقتی موهامو درست میکنم مادر شوهرم بهم میگه شبیه سگای خارجی شدی دکتر عزیزی: من دیگه ...
نگاهی به خزپارتی نوستالژیک بازیگران زن دهه شصتی کشورمان/ شهره سلطانی، شبنم قلی خانی، سیما تیرانداز، فریبا نادری، نسیم ادبی و...
اگر تو هم از حرف مردم میترسی این حرف رامبد جوان تو زندگیت معجزه میکنه / کمک خواستن تسلیم شدن نیست، تو جسارت داری
صحبت های خنده دار آقای قرائتی: رفته بودم عروسی دیدم نون و پنیر و هندونه میدن گفتم مگه عروسی نیس اینجا دوماد گفت میخوام حزب اللهی باشم آخه این خُل بازیا چیه +ویدئو😂👌
زینب موسوی: یکی از طرفداران فردوسی در استخر خِفتم کرد ؛ تازه رفته بودم توی آب و پول بلیطش هم گرون بود که...+ویدیو
وب گردی
حوادث
بیشتر
انگیزه عجیب مرد 26 ساله تهرانی برای شلیک به همسرش حین شیردهی به تازه نوزادش / گرسنه بودم
بلای وحشناکی که دکتر زیبایی قلابی بر سر این مرد آورد؛ 9 بار عمل کردم باز هم به حالت عادی برنگشتم + ویدئو
امروز اعدام نامادری آوا دختر 4 ساله ارومیهای که بطرز وحشیانهای دختر بیچاره رو شکنجه داد / این ویدئو حاوی تصاویر دلخراش است 🚫
درخواست کمک شجاعانه دختری 5 ساله از اورژانس برای نجات خانواده اش
شکارچی زنان به اعدام محکوم شد/ من توبه کردم زمانی که آن کارها را کردم 18ساله بودم و عقلم نمیرسید
لحظه مرگبار وقوع زلزله 7.5 ریشتر در شمال ژاپن و هشدار سونامی / خدا بهشون رحم کنه + فیلم
مرگ ناباورانه پلیس جوان یک روز قبل از جشن عروسی اش در قوچان + عکس
دانلود برنامه جعلی 2 میلیارد ریال برای شهروند تبریزی آب خورد
آخرین ویدیو ها
پدرانه های هادی چوپان برای پسرش + فیلم / با این حجم از عضله نشون داد قلبش مهربونه
یادی از محبوبترین و ماندگارترین اجرای «کاروان» استاد رهی معیری توسط افسانهایترین صدای موسیقی ایران، غلامحسین بنان (نسخه کامل) + ویدئو
زبل خان؟، نه ممنون ما خودمون محسن تنابنده رو داریم؛ نگاهی به استعداد باورنکردنی محسن تنابنده در گویش زبان و لهجههای مختلف/ از مشهدی و شیرازی تا ترکی و لری+فیلم
اگر دلت گرفته این شعر برای توست / جگرسوزترین عاشقانههای بیهمتای رشید کاکاوند با ابن یمین/ ای دل غم جهان مخور این نیز بگذرد + ویدئو
طالعبینی روز؛ اسم عشقت رو سه بار بگو و بیا اینجا که کارما برگشته سراغش! سرنوشت روی خوشش رو داره بهت نشون میده / تقویم نجومی، اعمال، ذکر و نماز روز یکشنبه 23 آذر
نگاهی به داستان زندگی عادل فردوسی پور؛ از تولد در یک عصر پاییزی تا عشق به فوتبال/ تنها گزارشگری که در دانشگاه شریف درس خواند!
(ویدئو) نکات پیشگیری از اعتیاد جوانان که هر والدینی باید بداند
از رانا تا خانه متحرک؛ خلاقیت حماسهآفرین مرد ایرانی برای نصب دستشویی و آشپزخانه فول امکانات به ماشین / هنر نزد ایرانیان است و بس🤣
(ویدئو) رپ فضایی برای کودکان؛ سیارات منظومه شمسی خودشان را معرفی میکنند! آموزش نجوم به هیجان انگیزترین شکل ممکن
یادی کنیم از ابراز عشق جسورانه هومن سیدی به همسر سابقش آزاده صمدی در سال 86/ پرتاب 100 امتیازی هدیه برای ربودن دل آزاده صمدی
المیرا شریفی مقدم: دستگیری فرد دیپلمه که همه دندان های یک نفر رو کشید / سلامتیتان را دست هر اینستاگرامی ندهید + ویدئو
#ساده زیستی به سبک علی پروین: گوشیم از اون قدیمیاست ولی سیمکارتم به ارزش 7 میلیارد تومان خریدار دارد!
آخرین تصاویر
قاب زیبایی از رفاقت 40 ساله “استاد شهریار” و “استاد هوشنگ ابتهاج”/ «سایه» مهمان خانه مادری شهریار در دوران دانشجویی+ تصاویر
خلاقیت خنده دار یک مادر باهوش برای تشخیص 4 قلوهایش جهانی شد/ مامان نگو انیشتن بگو/ اسطوره فامیل خودتی و بس😂+عکس
مروری بر تصاویر خاطرهانگیز بازگشایی مدارس در دهه هفتاد/ از حضور پرشوروشوق پدرها و مادرها کنار دانشآموزان گرفته تا شیطنتهای ته سرویس مدرسه
حضور گرم و احساسی «آیناز» (سریال آنام) در 39 سالگی در میان کودکان سیستان و بلوچستان
کنایه جالب ضرغامی به مسئله فیلترینگ در کشور / صدای وزیر سابق هم درآمد
مقایسه جنجالی سلبریتیها با دست راست ترامپ: سلبریتیهای ما سگ و گربه بغل میکنند!
غلامرضا تختی سال 1333 در 24 سالگی و در کربلا
مادر ایرانی هرجای دنیا باشه درس و مشق بچه با اونه🤣/ یادگیری زبان هلندی سپیده بزمیپور، همسر شاهرخ استخری بهخاطر دخترشون نبات در بلژیک+ عکس
سایر ویدیوها
سخنان جذاب علی فروتن از تربیت کودکانمان که باید با طلا نوشت و قاب کرد زد به دیوار اتاق/ تا دیر نشده پدری کن، تا بی تو بودن براش عادی نشده حضور داشته باش!+ ویدیو
ویدئو/ امیرحسین قیاسی به سبک رونالدو پُز داد: منم مارک میپوشم ولی چون قیاسی هستم کسی باورش نمیشه/فقط اونجاش که فاکتور نشون میده😂
المیرا شریفی مقدم: دستگیری فرد دیپلمه که همه دندان های یک نفر رو کشید / سلامتیتان را دست هر اینستاگرامی ندهید + ویدئو
طرز تهیه املت جدید با المیرا شریفی مقدم+ فیلم
(ویدئو) رپ فضایی برای کودکان؛ سیارات منظومه شمسی خودشان را معرفی میکنند! آموزش نجوم به هیجان انگیزترین شکل ممکن
زیباترین نصیحت مولانا از زبان دکتر انوشه که کسی بهت نمیگه / پختگی یعنی وقتی با روی دوم کسی مواجه میشی که ...
زبل خان؟، نه ممنون ما خودمون محسن تنابنده رو داریم؛ نگاهی به استعداد باورنکردنی محسن تنابنده در گویش زبان و لهجههای مختلف/ از مشهدی و شیرازی تا ترکی و لری+فیلم
ترلان پروانه آبرو واسه گلاره عباسی نذاشت/ پشت صحنه ای جذاب از بامداد خمار به روایت آباجی جون
چرخی در خانه نقلی مینا نوروزی که هم دفتر کارشونه و هم محل زندگی؛ از مبلمانی خوشرنگ با دیزاین سنتی دیوار پذیرایی تا لوستر و آباژورهایی مُدروز و عروسپسند+فیلم
(ویدیو) صحب های گستاخانه ترامپ را بشنوید/ اگر ایران با من توافق میکرد فقط تاسیسات هستهای آنهارا منفجر میکردم
شعرخوانی دلنشین و جگرسوز حامد عسکری، شاعر معاصر از عاشقانهترین و احساسیترین شعرش:با خدا میگویم آنچه بر سرم آورد عشق جان نصف و نیمهای بود و دوبار از من گرفت
حاصل روزگار جز غم نیست، زان که بنیاد او محکم نیست/ ماندگارترین رباعی خیام با صدای مسرت بخش استاد رشید کاکاوند/ شعری که هرگز نظیرش سروده نشد+ فیلم