در طول زمان، بیماری لثه سبب جدا شدن از لثه دندان شده و در نهایت باعث ایجاد فاصله بین دندان ها و لثه می گردد. جرم در فواصل بین دندان ها و لثه تشکیل شده و باعث ضعیف شدن استخوان های اطراف دندان می شود. بیماری لثه، بیماری شایعی است. بسیاری از افراد در مراحل اولیه این بیماری به سر می برند که با مراقبت های صحیح دهان و دندان قابل درمان هستند اما اگر به بیماری لثه اهمیت داده نشود می تواند باعث تحلیل استخوان فک شده و نهایتاً منجر به از دست دادن دندان ها شود. در حالی که لثه بیمار قرمز، شل و به راحتی خونریزی میکند، به طوری که ممکن است هنگام خواب خون روی بالش ریخته شود و گاهی لثه دچار افزایش حجم می شود ایجاد بوی دهان می کند.
خصوصیات یک لثه سالم شامل
لثه سالم صورتی رنگ، محکم، نازک و دارای کنگره هایی هماهنگ با لبه دندانها و سطح لثه حالت پوست پرتغالی و دان دان است لثه ها از بافت های نرم به وجود آمده اند. آن ها بخش انتهایی دندان ها (ریشه دندان) را احاطه کرده اند. مراقبت از لثه به اندازه مراقبت از دندان ها دارای اهمیت می باشد. بیماری لثه، نوعی عفونت است و عامل ایجاد کننده آن پلاک میکروبی بوده که همان لایه چسبناکی است که بر روی دندان ها و لثه انباشته می شود.
بیماری لثه و حمله پلاک ها
با التهاب بافت لثه و تجمع پلاک ها روی دندان ایجاد می شود درصورتی که دندانپزشک به موقع التهاب را تشخیص دهد درمان راحت تر صورت می گیرد. با مراجعه به دندانپزشک و داشتن رژیم غذایی مناسب و استفاده منظم مسواک و نخ دندان از آسیب لثه جلوگیری کنید.

سوراخ استخوان
پریودنتیت شکل پیشرفته بیماری لثه است اگرچه می تواند قابل درمان باشد اما دندانپزشکان را مجبور به استفاده از تکنیک های سخت تر مانند تمیزکردن عمقی ریشه ها یا ازبین بردن میکروب و جرم گیری لثه ها می سازد.اما پریودنتیت فقط لثه فرد را تحت تاثیر قرار نمی دهد هم چنین می تواند باعث از بین رفتن بافت و استخوان در سراسر دهان شود. اگر این اتفاق رخ دهد، متخصص دندان پزشکی توصیه می کند به یک متخصص پریودنتیست مراجعه کنید او می تواند روش های پیشرفته تری را برای بازسازی استخوان و بافت از دست داده توصیه کند.
می توانید با استفاده منظم از نخ دندان و مسواک از مراحل پیشرفته بیماری به طرز شگفت آوری جلوگیری کنید:
- لثه قرمز و ملتهب
- چرک بین دندان ها
- از دست دادن دندان های دائمی
- احساس مزه بد در دهان
- درد لثه
- زخم های دردناک
- احساس مزه فلز در دهان
- بزاق بیش از حد در دهان
- تب
- حساسیت به سرما
- نفوذ عفونت تا عمق 7 میلی متری
خونریزی دهان
اگر پس از مسواک زدن یا کشیدن نخ دندان در روشویی خون مشاهده کردید، نشانه آن است که مشکلی وجود دارد. خونریزی پس از شستشوی دهان، احتمالا نشانه ورم لثه است. ورم لثه یکی از اشکال خفیف بیماری لثه است که سبب خونریزی لثه خصوصا پس از مسواک زدن و غذا خوردن می شود. خوشبختانه این بیماری خیف با مسواک زدن و استفاده روزانه از نخ دندان و همچنین تمیز کردن منظم توسط پزشک معکوس می شود.
بوی بد دهان
همه افراد در یکسری موقعیت ها دهانشان بوی بد می دهد، اما اگر قبلا شما را آزار نمی داده و بدتر نشده، می تواند نشانه بیماری لثه باشد. همیشه بویی دارد که اطرافیان متوجه می شوند، اکثرا بویی شبیه الکل یا سیب گندیده است. زمانی که باکتری به زیر بافت لثه کوچ می کند، جایی که مسواک و نخ دندان نمی تواند به آن برسد ممکن است بوی بد به وجود آید.
تغییر دندان ها
برخی افراد متوجه فاصله کوچک بین دندان ها که قبلا وجود نداشته می شوند، یا دندان های جلوی آنها متمایل به جلو یا عقب می شود، این تغییرات می توانند نشانه بیماری لثه باشند.

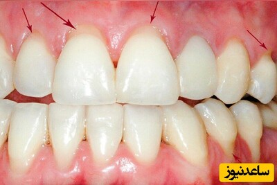
لثه های قرمز یا متورم
لثه های قرمز، پف کرده یا نازک می توانند نشانه ورم لثه باشند. جهت جلوگیری از پیشرفت التهاب لثه حائز اهمیت است که آن را درمان کنید. شکل جدی تر بیماری لثه باعث می شود لثه ها از دندان عقب نشینی کنند و شکل کیسه ای را پیدا کند که آلوده شده است.
تشکیل جرم دندان
نوار چسبنده ای که روی دندان تشکیل می شود جرم نامیده می شود (ممکن است متوجه یک ماده سفید یا زرد رنگ در بین دندان ها یا در طول خط دندان شوید) این جرم می تواند پیشروی کرده و تارتار شود(سخت، رسوبات کلسیمی که باید توسط دندانپزشک برطرف شوند) که با مسواک زدن یا نخ دندان کشیدن منظم برطرف نمی شود.
در مورد فیشور سیلانت دندان چیزی می دانید؟










































