به گزارش سرویس سلامت ساعدنیوز، غذاهای ترش و اسیدی از محبوب ترین غذاها میان اعضای خانواده ها به شمار می آیند که به خصوص در هنگام تعطیلات و دورهمی ها بسیار مصرف می شوند، اما آیا می دانید مصرف بی رویه غذاهای ترش چه تاثیری بر روی دندان های شما دارد؟ آیا واقعا موجب کند شدن دندان می شود؟ در این مقاله با ما همراه باشید.خوراکی های زیادی در این دسته بندی قرار می گیرند که مرکبات از معروف ترین آن ها به شمار می آیند.میوه هایی مانند پرتقال، گریپ فروت، لیمو ترش، لیمو شیرین و... همانقدر که مفید هستند، اسیدی نیز می باشند و به همین دلیل است که حتما باید آن ها را همراه با آب مصرف کرد تا آسیبی به مینای دندان وارد نکنند.البته این محصولات تنها خوراکی های اسیدی نیستند و خیارشور، قره قروت، محصولاتی مانند سس پاستا، سس کچاپ، سس سالسا و سس تند، قهوه و مشروبات الکلی نیز در این دسته بندی جای می گیرند.
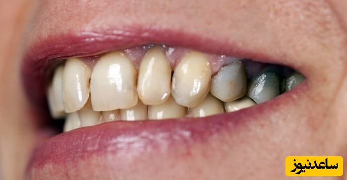
اسید موجود در این مواد بر روی مینای دندان قرار گرفته و به آن آسیب می زند و بنابراین رنگ دندان ها تغییر می کند و باعث ساییدگی و فرسایش دندان ها نیز می شود.فرسایش دندان به پدیده ای گفته می شود که طی آن مینای دندان از بین رفته و بخشی از دندان به نام عاج دندان که زیر مینا قرار دارد، نمایان می شود و به همین دلیل پلاک های دندانی، آسیب بسیاری به این بخش وارد می کنند.از جمله نشانه های فرسایش یا همان ساییدگی دندان می توان به حساسیت دندانی (به گرما و سرما)، تغییر رنگ دندان، گرد شدن دندان ها، تیز شدن دندان ها،شفافیت دندان و ترک خوردن آن اشاره کرد.

جای شگفتی نیست که نوشابه همدم خوبی برای دندان های انسان محسوب نمی شود. یک قوطی نوشابه دارای 39 گرم قند است که تقریبا معادل 10 قاشق چایخوری می شود. اما این تنها مشکل موجود نیست. نوشابه بسیار اسیدی است و اسید می تواند مینای دندان را از بین ببرد. شرایط زمانی وخیم تر می شود که هر روز نوشابه مصرف کنید زیرا مواجهه دندان ها با قند و اسید افزایش می یابد.
همانند نوشابه، آبمیوه ها نیز می توانند اسیدی باشند و اغلب دارای قند افزوده هستند که گاهی اوقات تا 10 قاشق چایخوری نیز می رسد. قند باکتری های مضر موجود در دهان را تغذیه می کند که می تواند موجب پوسیدگی دندان شود. شما می توانید آبمیوه های طبیعی را جایگزین نمونه های تجاری کرده و برای کاهش قند طبیعی موجود در آنها از آب برای رقیق کردن استفاده کنید.
گوجه فرنگی یک ماده غذایی سالم و مفید محسوب می شود، اما محصولی اسیدی نیز است. مصرف سس گوجه فرنگی به همراه اسپاگتی می تواند آسیب وارده به مینای دندان را دو برابر کند. سس اسیدی می تواند مینای دندان را از بین ببرد و کربوهیدارت های موجود در پاستا نیز باکتری هایی که موجب پوسیدگی دندان می شوند را تغذیه می کند. مصرف پاستا به همراه پنیر یکی از جایگزین هایی است که می توانید مد نظر قرار دهید.
حتی آب ساده نیز ممکن است حاوی برخی مواد معدنی باشد که برای بهبود عطر و طعم به آن اضافه شده اند و این می تواند اسیدیته را افزایش دهد. در حقیقت، آب های بطری شده می توانند به اندازه قهوه یا چای اسیدی باشند. محصولاتی که واژه مقطر روی آنها وجود دارد کمتر اسیدی هستند زیرا تقطیر تعادل pH را کاهش می دهد و وضعیت خنثی تری ایجاد می کند. همچنین، شما می توانید از بطری یا قمقمه هایی با قابلیت استفاده مجدد بهره برده و آن را با آب لوله کشی پر کنید.
سرکه سیب به واسطه فواید سلامت و ویژگی های سمزدایی خود شناخته شده است، اما ممکن است متوجه نباشید که اسیدیته بالای آن می تواند به مینای دندان ها آسیب وارد کند. اگر سرکه سیب در رژیم غذایی شما جای دارد، همواره آن را با آب رقیق کنید، به یک باره نوشیده و پس از مصرف نیز دهان خود را با آب شستشو دهید.
به طور کلی دندانپزشکان توصیه می کنند که هر روز دوبار دندان ها را مسواک بزنیم. یک بار قبل از خواب و یک بار در طول روز. اگر در طول روز عادت به خوردن میان وعده بیشتری دارید، بهتر است سه بار مسواک بزنید.
با دقت و به درستی مسواک بزنید تا باکتری هایی که به سطح دندان ها و حتی زبان تان چسبیده اند، از بین بروند. این باکتری ها نه تنها باعث فساد دندان ها، بلکه موجب بیماری های دهانی نیز می شوند.
مسواک زدن بهتر است بعد از غذا خوردن باشد؛ زیرا برخی غذاها و نوشیدنی ها باعث می شوند باکتری های داخل دهان اسیدهایی ترشح کنند که به مینای دندان ها آسیب می رسانند. وقتی که از غذاهای شیرین و پر نشاسته استفاده می کنید، باکتری های دهان، اسیدهایی را تولید می کنند که تا 20 دقیقه و حتی بیشتر قادرند به مینای دندان ها صدمه بزنند.
غذاهای مغذی که کربوهیدرات و قند کمتری دارند و نوشیدن آب زیاد، تولید این اسیدها را کاهش می دهد. دندانپزشکان می گویند که بهتر است تا 30 دقیقه بعد از خوردن نوشیدنی های اسیدی مثل آب پرتقال، دندان های تان را مسواک نزنید، زیرا اسید موجود در آنها باعث تضعیف مینای دندان می شود و مسواک زدن بلافاصله بعد از نوشیدن آنها باعث ضعیف تر شدن دندان ها می شود.
مسواک زدن به تنهایی قادر به از بین بردن عوامل فساد دندان ها نیست؛ استفاده از نخ دندان، دست کم روزی یک بار، خارج کردن باقیمانده مواد غذایی از لابه لای دندان ها نیز اهمیت بسیاری دارد.