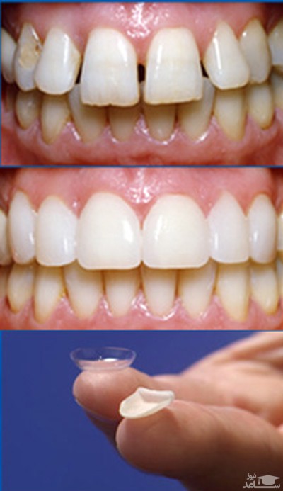
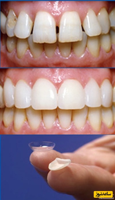
لمینت دندان (هم لمینت سرامیکی و هم لمینت کامپوزیت دندان ) لایه ای است همرنگ دندان ها ، که برای اصلاح رنگ و یا اصلاح طرح دندان ها استفاده میشود. این روزها این درمان یکی از رایج ترین درمان های ترمیم زیبایی دندانپزشکی به شمار میرود.
شما در این درمان زیبای مطابق میل خود می توانید رنگ و فرم دندان های خود را انتخاب کنید.
برای انجام لمینیت شرایط خاصی لازم است. برای درمان زیبایی شرایط فک و لثه باید مطلوب باشد. که این شرایط را دکتر دندانپزشک تشخیص می دهد که بیمار شرایط مطلوب برای این درمان را دارا می باشد یا نه.
احیاناً اگر بیماری مشکل فکی یا تحلیل لثه یا نیاز به ارتودونسی داشته باشد برای انجام این درمان مناسب نمی باشد.
بیماری که از هر لحاظ برای درمان لمینیت مناسب باشد. در طی دو مرحله این درمان انجام می شود. ابتدا بیمار در جلسه اول با تراش دندان ها در حد چند میل و بدون آسیب به دندان تراش خورده می شود و بعد از آن مرحله قالبگیری انجام می شود.
مرحله دوم، مرحله لابراتوار دندان می باشد که توسط لابراتوار انجام می شود. لمینت دندان یک پوسته بسیار نازک از جنس سرامیک می باشد که همان جنس دندان طبیعی است و بسیار مقاوم که کاملا شبیه دندان طبیعی است و تک به تک ساخته می شود که بعد از ساخته شدن دندان ها توسط لابراتوار با مواد مخصوص به دندان های اصلی چسبانده می شود که چسب بسیار مقاوم و توسط اشعه uv انجام می شود.

بعد از انجام لمینیت بیمار باید بهداشت دهان را کاملا رعایت کنند. از فشار زیاد یا ضربه زدن به دندان خود داری کنند. نخ دندان حتما باید استفاده شود هر ۶ماه یکبار برای چکاپ به دکتر خود مراجعه کنند. شما به راحتی می توانید غذا میل کنید. بدون فشار به دندان های زیری و دندان های لمینت شده، بر عکس کامپوزیت هیچ تغییر رنگی ندارند از شفافیت فوق العاده برخوردار می باشد و شما می توانید با خیالی آسوده و بدون آسیب به دندان ها از لمینت برای مرتب کردن و تغییر فرم دندان استفاده کنید. لمینیت یکی از بهترین درمان های زیبایی می باشد.
در صورت آسیب رسیدن به لمینیت یا شکسته شدن قابلیت تعویض آن وجود دارد و به هر دلیلی بر روی لمینیت ها تغییر رنگ به وجود آید می توان با یک پالیش به شکل اولیه خود باز گردد و شفاف و براق گردد. گاهی بر اثر ضربه یا فشار ممکن است لمینیت ها از روی دندان ها جدا شود که می توان با مراجعه به پزشک، به چسباندن دوباره آن اقدام کرد. در لمینیت دندان با مشاهده هر گونه التهاب یا قرمزی لثه برای چکآپ مراجعه کنید تا از سلامت لثه های خود مطمئن شوید.

انواع لمینت دندان:
لمینیت ها (ونیرها) دو نوعند :
لمینت سرامیکی دندان (روش غیر مستقیم) : این لمينت دندان سرامیکی از جنس سرامیک یا در اصطلاح عامیانه تر از جنس چینی هستند. دارای ظاهری زیباتر بوده، ثبات رنگ بیشتری داشته و نسبت به لمینت های کامپوزیتی مقاوم ترند. این ونیرها پس از قالب گیری در لابراتوار ساخته میشوند. هزینه ی لمینت دندان با این روش در مقایسه با روش دیگر بیشتر است.
لمینت کامپوزیتی (روش مستقیم ) : در مقابل لمینت سرامیکی، كامپوزيت دندان قرار دارد که نسبت به لمینت سرامیکی تراش کمتری به دندان داده میشود (و حتی در مواردی که شرایط دندانی مناسب باشد بدون تراش انجام میشود) ، میزان پایش پذیری (براق تر شدن سطح) و عبور نور کامپوزیت دندان بیشتر است و تنوع رنگ بیشتری داشته (پس میتواند کاملا همرنگ دندانهای دیگر باشند). همچنین قیمت لمینت دندان با این روش ارزان تر از روش دیگر است.
چه افرادی نمیتوانند از لمینت دندان استفاده کنند؟
یکی از شرایط مهمی که هست نبودن عادت های دهانی بیمار است که دندان قروچه میتواند باعث شکستگی های لمینت شده و به مرور زمان به آن آسیب وارد کند.
کسانی که پوسیدگی های وسیع روی دندانهایشان دارند. در این صورت انجام لمینت سرامیکی دندان و کامپوزیت دندان برای این افراد به بعد از برطرف کردن پوسیدگی یا عفونت لثه هایشان موکول میشود.
کسانی که سایش مینای دندان شدیدی دارند و بافت مینای دندان آنها کافی نیست. برای این گونه افراد معمولا به جای لمینت دندان مجبور به استفاده از انواع روکش دندان هستیم.
خیلی ها لمینت دندان را با ایمپلنت دندان اشتباه می گیرند در صورتیکه این دو کاملا از یکدیگر مجزا هستند و برای موارد خاص خودشان به کار می روند. ایمپلنت یک روش کاشت دندان به جای دندان های کشیده شده است در حالی که لمینت به منظور زیباسازی و فرم دهی به بد شکلی ها و بد رنگی های دندان استفاده می شود.

نازکی لمینت دندان چقدر است؟
لمینت دندان بسیار نازک است. پوست تخم مرغ یا لنزی بسیار نازک را در نظر بگیرید. لمینت دندان دقیقا مشابه آن ها بسیار نازک بوده و در عین ظرافت باعث حفظ مینا و عملکرد دندان میشود.
از جمله عوارضی که برای درمان لمنیت هست شامل:
1 - حساسیت های مدت دار بعد از درمان :
درمان لمینت هم مانند بقیه ی درمان های ترمیم دندان با حساسیت گرما و سرما روبروست و بعداز مدت زمانی این حساسیت از بین می رود.
2 - شکستگی دندان لمینت شده:
برای اینکه طول عمر دندان درمان شده بالا رود باید فرد از ابتدا شرایط درمان را داشته باشد و به درستی انتخاب گردد و به بیماری های دهانی دچار نباشد تا از شکستگی دندان کاهش یابد و یکی از عواملی که طول عمر دندان را بالا میبرد نخوردن غذاهای سفت و گاز زدن های سخت بوده . اگر دندانی که درمان شده است و به علت های متفاوت با پریدگی و شکستگی همراه شود میتوان در ترمیم کردن آن با لمینت های سرامیکی و یا کامپوزیتی آن را اصلاح کرد.
3- غیرقابل بازگشت بودن
به علت تراش دندان امکان برگشت به حالت اولیه ممکن نیست. ( امکان برداشتن لمینت)
4 - تغییر رنگ لمینت:
با خوردن نوشیدنی ها و غذاهای رنگدار و کشیدن قلیان و سیگار و خوردن چای و قهوه در مرور زمان به تغییر رنگ دادن لبه های دندان منجر شده و هرچقدر که این مواد بیشتر مصرف میشوند تغییر رنگ دندان نیز بیشتر شده و تاثیر بیشتری میگذارد و با کم کردن خوردن این مواد رنگی به سلامت دندان خود اهمیت داده و از تغییر رنگ آن پیشگیری کرده.

طول عمر دندان لمینت شده
در بیشتر موارد افراد سوال میکنند که ممکن است لمینت از دندان جدا شود و یا در مرور زمان پوسیده شود که باید گفت لمینت که به درستی نصب شود و طراحی دقیقی داشته باشد هیچوقت از دندان جدا نمیشود ولی اگر به درستی نصب و طراحی نشود احتمال جداشدنش وجود داشته.
اگر محیط دهان با تغییرات گرما و سرما روبرو شود باعث جداشدن لمینت شده و باید کارهای مراقبتی لازم را انجام داد تا از آسیب رسیدن به آن جلوگیری گردد. از گاز زدن و جویدن ته دیگ ها و میوه های سفت باید خودداری کرد و مراقبت های لازم انجام گیرد تا عمر لمینت دندان افزایش پیدا کند.
دندانی که روی آن ترمیم لمینت انجام شده به همان اندازه پوسیده میشود که دندان طبیعی میپوسد و به همان اندازه که به دندان طبیعی اهمیت بهداشتی داده میشود باید به دندان درمان شده نیز داد تا سالم بماند.
لمینت به عنوان پوششی است که فقط روی دندان را در بر گرفته و اگر بهداشت دهان رعایت نشود باعث ایجاد پلاک میکروبی در آن شده و پوسیده شود و باید آن را از پشت ترمیم کرد.
مزایای انجام لمینت:
بکار گذاشتن این پوسته روی دندان از پوسیدگی و خراب شدنش جلوگیری کرده و برخلاف روکش های سرامیکی که دور تا دور دندان تراشیده میشود و بخش زیادی از دندان را از بین میبرند برای بکار گذاشتن این پوسته روی دندان ها مقدار کمی از آن تراشیده شده و باقی آن دست نخورده باقی می ماند و یکی از موارد قابل توجه برای این درمان ماندگاری رنگ این دندان بوده که بسیار مداوم بوده و برخلاف ظاهر نازک آن بسیار مقاوم است و با رعایت کردن بهداشت دهانی طول عمر بیشتری را پیدا خواهد کرد.











































