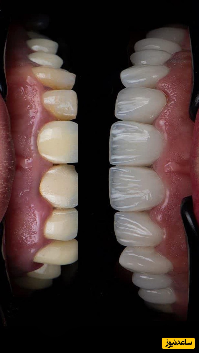
به گزارش سرویس سلامت ساعدنیوز، لمینت دندان پوسته های سفارشی ساخته شده از موادی به رنگ دندان هستند که برای پوشش سطح جلوی دندان استفاده می شوند. به طور کلی از ونیر ها برای اصلاح طرح لبخند شما با تغییر رنگ ، شکل ، اندازه یا طول دندان مورد نظر استفاده می شود. از آنجا که پوسته ها به قسمت جلوی دندان (یا دندان ها) وصل شده اند ، از دندان طبیعی قابل تشخیص نیستند و طبیعی به نظر می رسند ، مگر اینکه بقیه دندان های شما تغییر رنگ دهد.
بسیاری از افراد برای اصلاح لبخند خود لیمنت های سرامیکی را در نظر می گیرند ، زیرا آنها یک راه حل طولانی تر برای سفید کردن دندان ها هستند. اما بعد از گذشت زمان لمینت سرامیکی می تواند از سفید روشن و زرق و برق دار تغییر رنگ یابد و مانند گذشته به نظر نرسد. سوالی که بیشتر بیماران می پرسند اینست که آیا می توان لمینت دندان تغییر رنگ یافته را دوباره سفید کرد؟ در ادامه به این سوال و چند پرسش دیگر پاسخ داده شده است.
اینکه چقدر این موارد دندانپزشکی ترمیمی و زیبایی عمر خواهد کرد، همگی بستگی به مراقبت های شما از دندان هایتان دارد.پرسلین خودش به تنهایی زیبایی خاصی به دندان می بخشد و بسیار طبیعی است. اتصال بین لمینت دندان و دندان بسیار محکم است. همچنین پرسلین در برابر پوسیدگی دندان مقاوم است، با اینکه بخش غیر قابل پوشش آن هنوز در معرض پوسیدگی می باشد. پس باید مراقب بود. اگر کربوهیدرات زیاد مصرف کنید یا اینکه نخ دندان نکشید و مسواک نزنید، احتمال صد در صد چنین اتفاقی هست. در صورتی که از دندان هایتان عالی مراقبت کنید، ونیرها سال ها روی دندان هایتان عمر خواهند کرد. فقط موضوعی که هست در بهترین حالت نمی توان به این فکر کرد که تا آخر عمر این ونیرها با شما خواهند بود، نهایتا ده الی 12 سال عمر می کنند.بعد از لمینت دندان که انجام شد، اغلب توجه بیماران نسبت به سلامت لثه هایشان بیشتر می شود. در برخی موارد، به خاطر اینکه دندان ها بیشتر به چشم می آیند، باید سلامت لثه ها هم بیشتر توجه شود. همچنین چون ظاهر دندان ها خیلی بهتر شده است، مراقبت بیشتری باید از آن ها صورت گیرد. اگر اطراف ونیر دندان موقع نخ دندان کشیدن یا غیره، خونریزی داشت، باید حتما نزد دندانپزشک خود مراجعه کنید؛ حتما چیزی اشتباه پیش می رود!
سه روش اصلی و تخصصی برای از بین بردن لکه و رنگ دندان های لمینت شده وجود دارد که باید توسط دندان پزشک انجام شود. اگر این روش ها به شکل صحیح و اصولی انجام نشوند، فرآیند جرم گیری می تواند به دندان ها و روکش لمینت دندان شما آسیب برساند. در ادامه مقاله این سه روش را به طور مختصر معرفی می کنیم.

یکی از بهترین روش های سفید کردن دندان استفاده از بلیچینگ می باشد. از این روش برای از بین بردن انواع لکه ها که به مرور زمان بر روی دندان ایجاد می شوند، می توان استفاده کرد. بلیچینگ انواع لکه هایی که در اثر نوشیدن قهوه و چای یا در اثر مصرف دخانیات از جمله سیگار ایجاد شده اند را می تواند از بین ببرد.بلیچینگ معمولا برای زیبایی، جرم گیری و از بین بردن لکه های مختلف روی دندان انجام می شود و خاصیت دیگری ندارد. بلیچینگ را هم در خانه و هم در کلینیک های زیبایی دندان پزشکی می توان انجام داد. بلیچینگ در کلینیک دندان پزشکی هزینه بالاتری دارد؛ اما جرم گیری دندان هایتان بدون آسیب به دندان انجام می شود.از روش بلیچینگ برای سفید کردن دندان های لمینت شده نیز می توانید استفاده کنید. برای بلیچینگ دندان های لمینت شده، با استفاده از مواد سفید کننده دندان های طبیعی که در زیر لایه ی لمینت قرار گرفته اند را جرم گیری می کنند تا روکش لمینت دوباره شفاف و درخشان شود.
برای رفع لک و تیرگی دندان های لمینت شده می توان از خمیر دندان های مخصوصی که در این زمینه تولید می شوند، استفاده کرد. این خمیر دندان لکه های تیره و کوچکی که روی روکش لمینت دندان ایجاد شده اند را پاک می کند و سبب سفید شدن دندان های لمینت شده می شود.
خمیر دندان پولیش ملایم که به منظور سفید کردن دندان و دندان های لمینت شده استفاده می شود، با برندهای مختلفی در جهان به فروش می رسد. برای استفاده از این نوع خمیر دندان لازم است با انواع برندهای آن آشنا باشید تا بتوانید یک خمیر دندان با کیفیت خوب خریداری کنید. در نتیجه اگر مطمئن نیستید، کدام خمیر دندان خاصیت سفید کنندگی بهتری دارد و می توان از آن برای جرم گیری دندان لمینت شده استفاده کرد، می توانید با یک دندان پزشک در این زمینه مشورت کنید.
بهترین روش ممکن برای سفید کردن دندان ها با جرم گیری و همچنین استفاده از جدیدترین روش جرم گیری دندان های لمینت شده، مراجعه به یک دندانپزشک می باشد. دندان پزشک با تخصص و تجربه کافی در زمینه سفید کردن دندان ها می تواند به شما کمک کند تا با هزینه ای کمتر و ریسک پایین تری دندان هایتان را جرم گیری کنید.
همان طور که گفته شد سفید کردن یا جرم گیری دندان لمینت شده کار سختی است؛ زیرا در برخی موارد هنگام جرم گیری به روکش لمینت آسیب می رسد و می تواند لمینت را از بین ببرد. با مراجعه به یک دندان پزشک شما می توانید بدون آنکه به دندان ها و روکش لمینت آسیب برسانید، دندان هایتان را جرم گیری کنید. همچنین برای جرم گیری ایمپلنت دندان، جرم گیری دندان کامپوزیت، جرم گیری دندان ارتودنسی، جرم گیری روکش دندان نیز می توانید با مراجعه به متخصص دندانپزشکی، عمل جرم گیری را انجام دهید. علاوه بر این در زمان بارداری نیز می توانید از مزایای جرم گیری دندان بهره مند شوید و جرم گیری دندان در بارداری را بدون مشکلی انجام دهید.
این سه روش، روش های اصلی و تخصصی برای جرم گیری دندان از جمله جرم گیری دندان لمینت شده می باشند. از روش های خانگی نیز می توان برای جرم گیری دندان لمینت شده استفاده کرد؛ اما با توجه به ریسک بالای این کار توصیه می شود از روش های خانگی برای جرم گیری دندان ها مخصوصا دندان های لمینت شده استفاده نکنید.
استفاده از مواد شیمیایی مثل لاک سفید کننده دندان و ژل سفید کننده دندان می تواند در جرم گیری و سفید کردن دندان ها اثربخش باشد؛ اما اگر این مواد به درستی استفاده نشوند، به شدت به دندان و روکش لمینت آسیب می زنند. در نتیجه برای استفاده از این مواد باید آموزش کافی دیده باشید و تجربه داشته باشید.