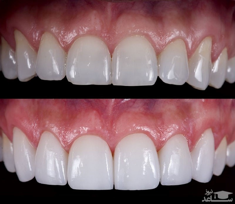
- لمینت دندان چیست؟
لمینت دندان ( لمینت های سرامیکی که با نام ونیر سرامیکی نیز شناخته می شوند) پوسته ی نازکی است که بر اساس نیاز هر شخص طراحی شده و در ساخت آن ها از مواد رنگ دندان استفاده می شود. این پوسته ها روی سطح جلویی دندان ها نصب می شوند و رنگ، شکل، اندازه و طول دندان را تغییر می دهند و ظاهری زیبا را برای دندان هایتان به ارمغان می آورند.
لمینت های سرامیکی(پرسلینی) از ترکیب چند لایه ی نازک سرامیکی تشکیل شده اند که جایگزین مینای دندان طبیعی و لایه ای چسبناک می شوند.
برخلاف تصور عامه براى ساخت لمینیت هاى سرامیکى همیشه نیاز به تراش دندان نیست ودر صورت انتخاب صحیح روش درمانى توسط دندانپزشک متخصص تنها آماده سازى مختصرى جهت نشستن لمینیت ها بدون هیچ آسیبى به بافت طبیعى دندان امکان پذیر است.
از آنجایی که عملکرد درست لمینت نیز در کنار جنبه ی زیبایی آن حائز اهمیت است، پیوست صحیح و محکم دندان طبیعی و لمینت سرامیکی ضروری است. میان دندان طبیعی و لمینت از رزین حساس به نور استفاده می شود تا پس از نصب لمینت بتوان با تاباندن اشعه ای خاص آن را محکم کرد.
- انواع لمینت دندان
لمینیت ها ( ونیرها ) دو نوعند :
لمینت سرامیکی دندان ( روش غیر مستقیم ) : این لمينت دندان سرامیکی از جنس سرامیک یا در اصطلاح عامیانه تر از جنس چینی هستند. دارای ظاهری زیباتر بوده، ثبات رنگ بیشتری داشته و نسبت به لمینت های کامپوزیتی مقاوم ترند. این ونیرها پس از قالب گیری در لابراتوار ساخته میشوند. هزینه ی لمینت دندان با این روش در مقایسه با روش دیگر بیشتر است.
لمینت کامپوزیتی ( روش مستقیم ) : در مقابل لمینت سرامیکی ، كامپوزيت دندان قرار دارد که نسبت به لمینت سرامیکی تراش کمتری به دندان داده میشود (و حتی در مواردی که شرایط دندانی مناسب باشد بدون تراش انجام میشود) ، میزان پایش پذیری (براق تر شدن سطح) و عبور نور کامپوزیت دندان بیشتر است و تنوع رنگ بیشتری داشته (پس میتواند کاملا همرنگ دندانهای دیگر باشند). همچنین قیمت لمینت دندان با این روش ارزان تر از روش دیگر است.
- آیا لمینت به دندان طبیعی آسیب می زند؟
خیر، در صورتی که دندانپزشکتان متخصص ترمیم و زیبایی باشد و در این زمینه از تجربه کافی برخوردار باشد دندان های طبیعی تان آسیبی نخواهند دید. دندانپزشک قبل از شروع روند لمینت گذاری، عکس کلی از فک و دهان را برایتان تجویز می کند و دندان هایتان را به طور کامل آزمایش می کند تا از سالم بودن و مناسب بودن دندان برای نصب لمینت اطمینان حاصل کند. اگر پزشکتان تشخیص دهد که لمینت برای شما گزینه مناسبی نیست می توانید از دیگر گزینه ها مثل ونیر کامپوزیت، باندینگ، ارتودنسی، سفید کردن و یا فقط تراشیدن دندان ها استفاده کنید.
نکته مهم دریافت اطلاعات کافی درباره تمام این گزینه هاست تا بتوانید بهتر تصمیم گیری کنید.

- مزیت های لمینت دندان
از آنجایی که لمینت برای هر فرد به طور مجزا و شبیه دندان وی ساخته می شود پس تشخیص تفاوت لمینت و دندان طبیعی تقریبا غیر ممکن است. برخلاف دندان های طبیعی، لمینت ها به دلیل اینکه از موادی با تکنولوژی بالا ساخته شده اند در مقابل لکه های چای و قهوه و دود سیگار مقاوم هستند.
لمینت ها می توانند تیره ترین دندان ها را که حتی در برابر دیگر فرآیند های سفید سازی مقاومت کرده اند، بسیار سفید کنند. حتی ممکن است برای مشکلاتی مثل دندان های کج روی هم رفته و فواصل کم دندان ها لمینت پیشنهاد شود.
- معایب لمینت دندان
ساخت لمینت های سرامیکی درآزمایشگاه زمان بر است و حداقل یک هفته روند لمینت گذاری را به تاخیر می اندازد.
در صورتی که لمینت ها به درستی نصب شده باشند و عوامل تخریب کننده ی دندان نیز محدود یا از بین رفته باشند، بیمار باید بتواند از لمینت مانند دندان طبیعی اش استفاده کند. با وجود استحکام بالای آنها، ممکن است گاهی شکننده باشند.
همانطور که باید از فشار های شدید به دندان طبیعی خودداری کرد، لمینت ها نیز نباید تحت فشار قرار بگیرند. مثلا از خوردن ناخن ها، جویدن یخ یا باز کردن شیشه های نوشیدنی با لمینت هایتان خودداری کنید.
- روند جاگذاری لمینت دندان
روند ساخت لمینیت دندان شامل چند مرحله است
مرحله ى اول : طى جلسه اى آماده سازی هاى لازم برروى دندان هاى مورد نظر بادقت و ظرافت در حد چند دهم میلیمتر بر روى دندان ها صورت مى گیرد.
مرحله ى دوم: در همین جلسه شامل قالب گیرى از دندانهاى هردو فک مى باشد( حتى در صورت انجام امینیت براى دندانهاى فقط یک فک)
سپس ادامه ى کار به جلسه ى بعد که معمولاً حدود یک هفته طول مى کشد موکول مى شود.

در این بین قالب ها به لابراتوار دندانپزشکى ارسال شده و در لابراتوار لمینیت ها به شکل پوسته هاى نازک سرامیکى ساخته شده و در کوره پخته مى شوند و یا بر روى بلوک هاى سرامیکى تراشیده مى شوند تا لمینیت هاى سرامیکى با شفافیت و براقى ونهایت زیبایى وتشابه با بافت میناى دندانى تهیه شوند.
درجلسه ى دوم ملاقات، لمینیت ها بر روى دندان ها قرار گرفته و توسط سمانهاى رزینى به سطح دندان با اتصال بسیار قوى چسبانده مى شوند. به طورى که در صورت اجراى صحیح تمام مراحل لمینیت ها کاملاً با دندان یکپارچه شده و هیچ درز و نا هموارى وجود نخواهد داشت و مى توان مانند دندانهاى معمولى براى تمیز کردنشان از نخ دندان استفاده کرد.
بدیهی است در ایجاد طبیعى ترین نما و امانت دارى در برابر سلامت بافت ها، مهارت و دقت دندانپزشک متخصص و همکارى لابراتوار متبحر و همچنین استفاده ى صحیح از مواد مناسب بسیار موثر و حایز اهمیت است.

- نگهداری و مراقبت از لمینت دندان
نگهداری از لمینت دندان بسیار آسان است و مانند دندان طبیعی باید مرتب مسواک شده و از نخ دندان برای تمیز نگه داشتن آنها استفاده شود. دندانپزشک معمولا استفاده از خمیر دندانی را به شما توصیه می کند که حاوی فلوراید باشد و مانع از ساییدگی دندان ها شود.
یک هفته پس از نصب لمینت ها باید دوباره به دندانپزشک خود مراجعه کنید تا وی عملکرد لمینت ها و واکنش دهان به وجود لمینت ها را بررسی کند. حتی اگر با لمینت ها مشکلی ندارید باید برای اطمینان از سلامت دهان و دندان خود پس از یک هفته به پزشکتان مراجعه کنید.
در صورتی که عاداتی مانند دندان قروچه یا سایش دندان دارید، دندان پزشکتان ممکن است به شما محافظ دندانی بدهد تا در هنگام خواب با گاز گرفتن محافظ، آسیبی به لمینت های خود وارد نکنید.
همچنین باید برای رسیدگی های بیشتر به طور مداوم به پزشکتان مراجعه کنید زیرا لمینت های سرامیکی باید با خمیری ویژه که خاصیت ضد سایشی دارد، صیقل داده شوند. همچنین دندانپزشک تان باید دندان هایتان را در فواصل زمانی کوتاه بررسی کند تا به محض یافتن کوچکترین نشانه ی خرابی در لمینت ها به آن رسیدگی کند.










































