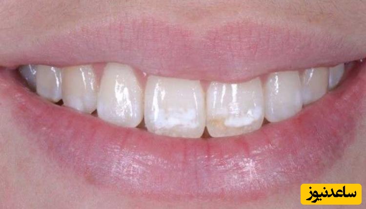
به گزارش سرویس سلامت ساعدنیوز، فلوروسیس به لکه های سفید روی دندان گفته می شود که در اثر مجاورت زیاد دندان، فراتر از بازه مطلوب تعیین شده برای یک ناحیه معین، با فلوراید در مراحل رشد دندان ایجاد می شود. فلورسیس معمولاً در کودکان بین سه ماهه تا هشت ساله ای مشاهده می شود که مقدار زیادی فلوراید از آب آشامیدنی، غذاها و نوشیدنی ها دریافت می کنند. یکی از دلایل اصلی لکه های سفید روی دندان های کودکان مصرف بالای فلوراید در مراحل اولیه شکل گیری و رشد دندان است. فلوراید به آمبلوبلاست ها یا همان سلول های مینا آسیب می زند، در نتیجه میناسازی مختل می شود و مینا به حد کافی ایجاد نمی شود. نقص در تشکیل مینای دندان در نهایت باعث می شود که زیرسطح مینای دندان بیش از حد طبیعی متخلخل شود.
مصرف بیش از اندازه فلوراید در دوران شکل گیری دندان و قبل از درآمدن آن باعث می شود قبل از هشت سالگی لکه های سفیدی روی دندان کودک ایجاد شود. برای پیشگیری از فلوروسیس به والدین توصیه می شود که بر مسواک زدن دندان فرزندشان نظارت کنند تا کودک خمیر دندان یا دهانشویه بیش از حد مصرف نکند، دهان را بشوید، مواد را تف کند و نبلعد.
فلوراید از منابع زیر دریافت می شود:
یکی از منابع اصلی فلوراید آب شرب است که غلظت بالایی از فلوراید در آن موجود است.
فراورده هایی مانند آب معدنی حاوی غلظت بالای فلوراید، شیرینی و غذاهای کودک دارای فلوراید
منبع دیگر فلوراید خمیردندان فلوراید است. مصرف بیش از حد خمیردندان فلوراید در بازه سنی سه ماهگی تا هشت سالگی، یعنی در مراحل شکل گیری و رشد دندان های شیری و دائمی، باعث ایجاد لکه های سفید روی دندان کودک می شود.
مصرف داروهای حاوی فلوراید به منظور افزایش استحکام دندان ها. مصرف بیش از حد این داروها منجر به فلورسیس می شود.
مصرف نوشابه های گازدار در مراحل اولیه رشد
آب شرب نیز حاوی فلوراید است، اما اگر میزان فلوراید بالاتر از حد توصیه شده باشد، موارد شدید فلوروسیس دندان و همچنین استخوان ایجاد می شود.
طبق گفته های انجمن داندانپزشکی آمریکا (ADA) لکه سفید روی دندان کودک (فلورسیس) زمانی رخ می دهد که فلوراید بیش از حد مجاز در طول یک دوره طولانی مصرف شود در حالی که دندان ها هنوز درنیامده اند و زیر لثه ها پنهان شده اند. در حالی که دندان هایی که از زیر لثه بیرون آمده اند دیگر تحت تاثیر فلوراید قرار نخواهند گرفت.
لازم به ذکر است که این لکه های سفید به مقاومت و استحکام دندان هیچ آسیبی وارد نمی کند. در واقع لکه سفید روی دندان یا همان فلورسیس یک بیماری محسوب نمی شود و سلامتی شما را تهدید نمی کند فقط در موارد معدودی ممکن است دندانپزشک در معاینه متوجه شود. در واقع حتی ممکن است فلورسیس مقاومت دندان در برابر خراب شدن را بالا هم ببرد.
بنابراین به این معنی نیست که فلوراید برای دندان کودک شما مضر است بلکه طبق مراکز کنترل بیماری نوشیدن آب حاوی فلوراید دندان ها را سالم تر نگه می دارد و امکان خراب شدن و کرم خوردگی دندان را در کودکان و بزرگسالان 25 ردصد کاهش می دهد.در واقع مصرف آب حاوی فلوراید نه تنها مضر نیست بلکه توسط انجمن دندانپزشکی آمریکا، آکادمی بهداشت کودکان در آمریکا، سازمان بهداشت جهانی و سازمان بهداشت عمومی ایالات متحده توصیه هم شده است. بنابراین اصلا نمی تواند چیز بدی محسوب شود. فقط باید مراقب باشد که کودک خردسال شما مقدار بیش از حد زیاد یا بیش از حد کم فلوراید دریافت نکندبه گفته دکتر فئورشتاین متخصص اطفال در نیویورک، چند راه ساده برای جلوگیری از فلورسیس یا همان به وجود آمدن لکه های سفید روی دندان وجود دارد. برای مثال می توانید دندان های تازه درآمده را با کمی آب و پارچه یا لیف تمیز بشورید. هرچه دندان های بیشتری در می آیند روی خمیر دندان نرم مخصوص کودک خمیردندان بدون فلوراید قرار دهید و دندان های کودک را بشویید و تا 2 سالگی از مصرف خمیردندان حاوی فلوراید برای کودک خودداری کنید. اگر روی کارتن خمیردندان را خوب نگاه کنید متوجه خواهید شد خمیردادن حاوی فلوراید است یا خیر.آکامی بهداشت کودکان در آمریکا همچنین گفته است مادرانی که نوزاد خود را فقط با شیر مادر تغذیه می کنند، میزان فلوراید در شیر مادر بسیار ناچیز است و مادرانی که از آب حاوی فلوراید مصرف می کنند نگران به وجود آمدن لکه های سفید روی دندان نوزاد خود نباشند چون به هیچ وجه تاثیر قابل توجهی نمی گذارد. اگر از مکمل های غذایی استفاده می کنید از آب بدون فلوراید برای مخلوط کردن با پودر استفاده کنید.
تا وقتی مطمئن نشده اید که کودک شما می تواند پس از مسواک زدن خمیردندان را به بیرون تف کند و قورت ندهد از خمیردندان حاوی فلوراید استفاده نکنید. همچنین از استفاده از دهانشویه های حاوی فلوراید حتی از نوع مخصوص کودکان تا قبل از 6 سالگی خودداری کنید.

با رعایت توصیه های زیر می توانید احتمال بروز فلوروسیس ( لکه سفید روی دندان ) را به حداقل برسانید:
روش صحیح مسواک زدن و استفاده از دهانشویه را به فرزندتان یاد بدهید. از کودک بخواهید تا خمیردندان را نبلعد و به مسواک زدن وی نظارت کنید.
در اکثر موارد مقدار فراورده مصرف شده و نه غلظت فلوراید مشکل ساز است. خمیردندان فلورایددار باید همیشه توسط یک فرد بزرگسال و نه خود کودک روی مسواک قرار داده و پخش شود.
دستور استفاده از خمیردندان را مطالعه کنید، عموماً مقدار کمی از خمیردندان کافی است.
مقدار لازم خمیردندان برای کودکان به اندازه یک دانه نخود سبز (0.25 g) است.
مقدار لازم خمیردندان برای خردسالان زیر سه سال به اندازه دانه برنج است.
خمیردندان را روی کل مسواک پخش کنید.
اگر طول مسواک را در 0.75 ضرب کنید، مقدار مناسب خمیردندان بر حسب گرم به دست می آید.
براساس یک قاعده کلی کودکان زیر دو سال باید از خمیردندان و پاک کننده های بدون فلوراید استفاده کنند. از دندانپزشک اطفال بخواهید تا فراورده مناسب را معرفی کند.
هنگام خرید خمیردندان فلورایددار مهر تایید و علامت استاندارد آن را کنترل کنید، تا فراورده ای ایمن و موثر تهیه کنید