به گزارش سرویس سلامت ساعدنیوز، مقدار مناسب فلوراید از پوسیدگی دندان کودکان و بزرگسالان جلوگیری و آن را کنترل می کند. فلوراید هم در زمان رشد دندان ها و هم پس از درآمدن دندان ها مفید است. مصرف فلوراید در زمان رشد دندان تغییرهای واضحی را در سطح مینای دندان ایجاد می کند که از آنها تحت عنوان پوششی فلوروسیس ( لکه سفید روی دندان ) دندانی یاد می شود.
فلوروسیس ( لکه سفید روی دندان ) نوعی لکه دائمی است که در اثر قرار گرفتن در معرض مقدار زیادی از فلوراید در زمان شکل گیری مینای دندان ایجاد می شود. مصرف مقدار زیاد فلوراید به اختلال در شکل گیری عادی مواد معدنی دندان منجر می شود. نتیجه نهایی ایجاد ناحیه های با کمبود مواد معدنی و خلل و فرج بیش از حد است.
فلوروسیس ( لکه سفید روی دندان ) عارضه ای است که تغییراتی را در ظاهر مینای دندان ایجاد می کند. لکه های سفید روی دندان کودکان گاهی نتیجه مصرف منظم فلوراید در سال های شکل گیری دندان ها، یعنی 8 سالگی و قبل از آن است. در اکثر موارد فلوروسیس ( لکه سفید روی دندان ) به صورت بسیار خفیف یا خفیف است و به صورت لکه های سفید رنگ روی سطح دندان نمود می یابد که به سختی قابل تشخیص است و هیچ تاثیری بر عملکرد دندان ندارد. فلوروسیس ( لکه سفید روی دندان ) متوسط تا شدید که البته شیوع بالایی ندارد، تغییرات گسترده تری را در مینا ایجاد می کند. در موارد نادر و شدید نیز حفره هایی روی دندان ایجاد می شود. موارد شدید در جوامعی که میزان فلوراید آب آشامیدنیشان کمتر از دو میلی گرم در لیتر است، به ندرت بروز می یابد.
تغییر در ظاهر سطح مینای دندان، فلوروزیس دندانی نامیده می شود. اکثر موارد شایع این نوع عارضه، تأثیری بر روی عملکرد دندان نداشته و باعث بروز درد نمی شوند.
موارد خفیف و بسیار خفیف فلوروزیس دندانی بصورت نقطه های سفید پراکنده، لکه های سفید نامنظم، لبه هایی یخ زده، و یا خطوط گچی مانند بسیار باریک، بر روی دندان ظاهر می شوند. این علائم به سختی قابل مشاهده خواهند بود و جز یک متخصص سلامت و بهداشت دهان و دندان، کسی قادر به تشخیص آن ها نیست.گونه های متوسط و شدید فلوروزیس دندانی اغلب به صورت لکه های بزرگ سفید بر روی دندان و در موارد نادر و شدید به صورت دندان هایی با سطوحی زبر و ناهموار مشاهده می شوند.
فلوروزیس دندانی به دلیل مصرف بیش از حد فلوراید در طی یک دوره ی طولانی، در مدت زمانی که دندان ها در زیر لثه ها در حال شکل گیری هستند، ایجاد می شود. فقط کودکان هشت ساله و یا کوچکتر در معرض خطر این عارضه قرار دارند، زیرا این سن، دوران رشد دندان های دائمی است، کودکان بزرگتر از 8 سال، نوجوانان و بزرگسالان در معرض ابتلا به فلوروسیس دندانی نیستند. شدت این عارضه، به میزان، مدت و زمان مصرف فلوراید بستگی دارد.
افزایش میزان ابتلا به فلوروزیس دندانی خفیف نشانگر مصرف بیش از حد فلوراید برای جلوگیری از پوسیدگی دندان است. منابع قابل دسترس فلوراید شامل آب آشامیدنی حاوی فلوراید، خمیر دندان های حاوی فلوراید (به ویژه اگر توسط کودکان خوردسال بلعیده شود) و مکمل های غذایی به صورت قرص یا قطره های خوراکی (مخصوصا اگر برای کودکانی که در حال حاضر از آب آشامیدنی حاوی فلوراید استفاده می کنند، تجویز شده باشد) می شوند.

کودکانی که از رژیم های غذایی ویژه، آب آشامیدنی حاوی فلوراید و محصولات بهداشتی دهان و دندان حاوی این ماده استفاده می کنند، مقدار فلوراید لازم برای حفظ سلامت دندان های خود را تأمین می کنند. از آنجایی که کودکان مقدار اندکی فلوراید را از طریق مصرف آب و غذا دریافت می کنند، لذا نظارت بر این منابع فلورایدی ضرورتی ندارد. خمیردندان ها و دهانشویه ها حاوی مقدار بسیار بیشتری از این ماده معدنی مهم هستند، بنابراین والدین باید اطمینان حاصل کنند که این مواد توسط فرزندانشان فرو داده نمی شوند
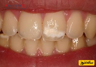
اکثر موارد لکه سفید روی دنداندر دسته بسیار خفیف تا خفیف قرار می گیرد. در این حالت خطوط سفید گچی یا لکه ها یا خال های سفید کدری روی ناحیه های مجزایی از مینای دندان ایجاد می شود. احتمال شکل گیری این خطوط و لکه ها در هر بخشی از دندان وجود دارد. چنانچه لکه روی لبه جویدن دندان باشد، عارضه در اصطلاح “دندان با روکش برفی” نامیده می شود.معمول است که الگوی لکه های سفید روی دندان حداقل تا حدی تقارن دوطرفه داشته باشد، یعنی این که دو دندان معادل در سمت چپ و راست دهان تحت تاثیر قرار می گیرد.
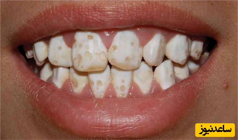
چنانچه مجاورت سیستمی با فلوراید بیشتر باشد، لکه سفید روی دندان نیز شدیدتر خواهد بود. بسیاری از این موارد باعث زرد یا قهوه ای شدن دندان ها می شود، همچنین ممکن است حفره هایی روی سطح دندان ایجاد شود. احتمال دارد که فلورسیس ابتدا به صورت ناحیه هایی مایل به سفید پدیدار شود و پس از آن به دلیل پایین بودن میزان مواد معدنی و متخلخل شدن دندان به مرور قهوه ای رنگ شود. کاهش مواد معدنی مینای دندان در موارد شدید به شکننده شدن مینای دندان می انجامد و به این ترتیب مینا به راحتی در اثر جویدن یا فعالیت های تحمیل کننده سایش به دندان آسیب می بیند.لکه سفید روی دندان کودک صرفاً در صورتی بروز می یابد که کودک مقدار زیادی فلوراید را در زمان شکل گیری مینای دندان ببلعد. با این توصیف احتمال ابتلا به فلوروسیس از زمان تولد تا حدود 6 یا 7 سالگی بیشتر است. البته این آسیب تا مدتی مشخص نمی شود.
چون لکه های سفید روی دندان در زمان شکل گیری دندان و هنگامی ایجاد می شود که دندان هنوز در استخوان فک قرار دارد و از لثه بیرون نزده است، آسیب دیدن دندان تا زمان درآمدن آنها، یعنی تا رسیدن کودک به سنین 6 تا 12 سالگی مشخص نمی شود.