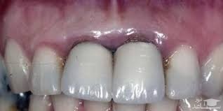
سیاه شدن لثه
یکی از دلایل داشتن لثه های تیره رنگ، نوع تعادل طبیعی رنگ دانه های پوست در بدن شخص است. همان طور که رنگ پوست افراد مختلف است، رنگ لثه ها نیز می تواند به طور طبیعی مختلف باشد. در بسیاری از افرادی که کاملاً سفیدپوست نیستند، ممکن است لثه ها دارای لکه های تیره رنگ باشد یا به طورکلی به رنگ صورتی روشن نباشد. علت این امر بالا بودن میزان ملانین در پوست و بافت های بدن شخص است و در این صورت تیره بودن رنگ لثه، درست مانند تیره بودن رنگ پوست، امری طبیعی است.

علل و عوامل سیاهی لثه
ملانین: یکی از عوامل تیره شدن رنگ لثه ها، انباشته شدن ملانین (رنگدانه های تیره) در لثه می باشد. این اتفاق برای افرادی که دارای پوست تیره هستند بیشتر از افرادی که دارای پوست سفید رنگ هستند می افتد. به علاوه عوامل ژنتیکی هم می توانند باعث تیره شدن رنگ لثه ها بشود. همانطور که می دانید رنگ لثه می تواند به طور طبیعی در افراد مختلف متفاوت باشد. بالا بودن میزان ملانین در بدن افرادی که دارای پوست تیره تری هستند باعث به وجود آمدن لکه های تیره در لثه و یا تیره شدن رنگ آن می شود. در نتیجه تیره بودن رنگ پوست و لثه ها در صورت بالا بودن ملانین امری طبیعی است.
سیگار کشیدن: کشیدن سیگار می تواند باعث تغییر رنگ لثه شود. سلول های تولید کننده ی رنگدانه های پوست، مو و چشم در بدن ملانوسیت (melanocytes) نام دارند. نیکوتین موجود در سیگار ملانوسیت را تحت تاثیر قرار داده و باعث تولید بیشتر ملانین در بدن می شود. لثه ها کم کم به رنگ قهوه ای یا سیاه تغییر رنگ می دهند. این تغییر رنگ ناشی از سیگار کشیدن ممکن است کلیه نواحی داخل دهان و لب پایین را تحت تاثیر قرار دهد.
مصرف برخی از داروها: مصرف برخی از داروها مانند مینوسیکلسن (Minocycline) که برای درمان تعدادی از بیماری های عفونی به عنوان مثال بیماری کلامیدیا استفاده و بعضی از داروهای ضد افسردگی ممکن است سبب تغییر رنگ در لثه ها شود. این داروها باعث تجمع رنگدانه ها در بافت ها و یا بی رنگ شدن آنها می شود. اگر با شروع مصرف دارویی متوجه تغییر رنگ در لثه و دهان خود شدید، حتما به متخصص دندانپزشک خود مراجعه کرده تا داروهای جایگزین برایتان تجویز کنند.
آمالگام (ماده پرکننده ی دندان): تغییر رنگ ناشی از فلز آمالگام ممکن است در هر قسمتی از دهان ظاهر شود اما معمولا در نزدیکی و کنار دندان پرشده به توسط آمالگام به وجود می آید. لثه به رنگ سیاه، خاکستری و یا آبی تغییر رنگ می دهد. آمالگام ترکیبی از چند فلز است که برای پر کردن و درمان دندان پوسیده به کار می رود. اگر ذراتی از این ماده به خارج از محدوده ی استفاده شده رانده شود، به زیر بافت لثه نفوذ کرده و رنگ آن را تغییر می دهد.
بیماری نکروز و التهاب لثه: یکی از بیماری های عفونی و خطرناک مربوط به لثه، نکروز شدن بافت لثه ای است. این بیماری باعث از بین رفتن بافت های زنده ی نگهدارنده ی دندان و لثه و لایه ی نازک استخوانی فک می شود. بنابراین مرگ سلول های بافت لثه در اثر عفونت باعث سیاه شدن لثه می شود. از علائم آن میتوان به تب، احساس درد لثه ها، بوی بد دهان و خونریزی در لثه اشاره کرد. دلایل بیماری نکروز میتواند علاوه بر سیگار کشیدن، استرس و عدم رعایت بهداشت دهان و دندان، مربوط به بیماری های عفونی و ایدز باشد. اگر این بیماری ها به موقع درمان نشوند، میتوانند به بافت های داخلی و استخوان ها نفوذ کنند و این بسیار خطرناک است. برای درمان نکروز حاد لثه باید از آنتی بیوتیک و یا جراحی بافت های مرده ی لثه استفاده کرد.
عامل دیگر ی که سبب تغییر رنگ لثه می شود، التهاب شدید لثه می باشد. این التهاب باعث رشد سریع باکتری ها در دهان و لثه می شود. التهاب لثه ممکن است به دلیل عدم رعایت بهداشت دهان و دندان، استرس، کم خوابی و یا رژیم غذایی نادرست به وجود بیاید. التهاب حاد لثه باعث تشکیل یک لایه ی نازک مرده و تیره رنگ روی لثه ها می شود. شستشوی دهان با دهانشویه و رعایت بهداشت دهان و دندان و لثه ها به طور منظم می تواند از تکرار بیماری های عفونی جلوگیری کند.
بیماری آدیسون (Addison diseases): این بیماری، غدد ترشح فوق کلیوی را تحت تاثیر قرار داده و باعث توقف ترشح این هورمون ها به اندازه کافی در بدن می شود. کسانی که مبتلا به بیماری آدیسون هستند ممکن است داشتن لثه ها و لب های تیره رنگ را تجربه کنند. همچنین باعث تیرگی رنگ پوست در قست هایی از بدن مانند: زانوها، در بندهای انگشتان، خط های موجود در کف دست ها و اطراف زخم ها می شود. مهم ترین علت این بیماری مربوط به ایمنی خود بدن است. اگر این بیماری درمان نشود و مقدار این هورمون ها کاهش یابد، میتواند باعث یک وضعیت بحرانی و نارسایی برای غدد فوق کلیوی شود.
علایم این بیماری عبارت اند از:
- احساس ضعف و خستگی
- احساس تشنگی بیشتر نسبت به قبل
- کم شدن وزن و بی اشتهایی
- کاهش فشار خون تا مرز از حال رفتگی
- تیره شدن رنگ پوست

درمان تیرگی لثه ها
روش های درمانی متفاوتی برای تیرگی لثه ها وجود دارد که مهمترین آن ها را برای شما بیان می کنیم.
درمان لیزری تغییر رنگ لثه: پیشرفته ترین روش برای درمان تغییر رنگ لثه استفاده از لیزر برای از بین بردن تیرگی لثه است. هرچند بسیاری از دندان پزشکان برای رفع تیرگی لثه از روش جراحی استفاده می کنند اما روش مدرن دندانپزشکی در درمان تغییر رنگ لثه استفاده از لیزر Waterlase MD است که روشی کاملاً غیرتهاجمی است. در این روش، از تزریق بی حسی یا برش لثه استفاده نمی شود و بنابراین استرس بیمار بسیار کمتر است و تیرگی لثه ها به روشی کاملاً بدون درد و ایمن برطرف می شود. این لیزر علاوه بر درمان تغییر رنگ لثه ها، کاربردهای بسیار دیگری نیز در درمان های دندانپزشکی دارد.
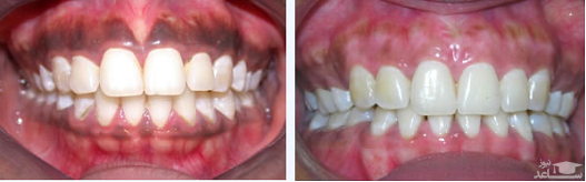
جراحی لثه: پرکاربرد ترین و ساده ترین روش برای تغییر دادن رنگ لثه، روش جراحی است. در این روش با انجام جراحی لایه خارجی لثه که باعث تیره بودن رنگ آن است، برداشته می شود. این روش بدون درد است و به صورت سرپایی و با بی حسی موضعی انجام می شود. در این روش لایه ی خارجی لثه به نام اپیتلیوم و مقداری از بافت زیرین آن برداشته می شود. بعد از مدتی با بازسازی لثه لایه ی جدیدی روی لثه شکل می گیرد که سالم است و رنگ طبیعی دارد و روی آن لکه های تیره رنگ قبلی وجود ندارند.
نتایج جراحی لثه دو تا سه روز بعد از جراحی مشخص می شوند. حدود 20 تا 30 درصد از تیرگی لثه طی 5 تا 6 ماه بعد از جراحی باز می گردد اما بعد از این مدت رنگ لثه ها ثابت خواهد بود.
درمان عفونت لثه (پریودنتیت): درصورتی که تغییر رنگ دندان ها بر اثر التهاب و عفونت لثه باشد، انتخاب روش درمان کاملاً متفاوت است. عفونت لثه علاوه بر بافت اطراف دندان به استخوان ها نیز صدمه می زند. نقطه شروع بیماری های لثه و التهاب لثه ، تشکیل پلاک های دندانی است که در آن جرم دندان تجمع پیدا می کنند.
جرم ها برای سلامت دندان بسار خطرناک هستند و باعث عفونت لثه و تغییر رنگ آن نیز می شوند.
روش های درمان التهاب و عفونت لثه، جرم گیری حرفه ای دندان توسط دندان پزشک و تمیز کردن عمق ریشه ی دندان ها می باشد. در موارد وخیم تر ممکن است بیمار نیاز به جراحی لثه داشته باشد. خوشبختانه روش های درمان عفونت لثه در اکثر موارد موفقیت آمیز است و لثه ها بعد از مدتی به رنگ طبیعی خودشان که صورتی روشن است، بازمی گردند.

پیشگیری از تیره و سیاه شدن لثه ها
دنبال کردن این نکات و اقدامات احتیاطی زیر، به حفظ سلامت دهان و داشتن لثه هایی صورتی کمک می کند.
شستن دهان با دهانشویه: دهان تان را به طور روزانه با یک دهان شویه ی ضد باکتری تمیز کنید. از به کار بردن دهانشویه های حاوی الکل پرهیز کنید زیرا پوست را خشک می کند. استفاده از دهانشویه قبل از مسواک زدن، یا یک ساعت بعد از مسواک زدن نتایج خوبی به بار خواهد داد.
روزی دو بار مسواک: هر روز یک بار صبح و یک بار قبل از رفتن به رختخواب دندان ها را مسواک کنید.
تعویض مسواک کهنه: خمیر دندان و مسواک مناسبی را انتخاب کنید. همیشه از مسواک نرم استفاده کنید و هر ۲ ماه یک بار مسواک جدید بخرید.
استفاده از نخ دندان: برای داشتن دندان ها و لثه های سالم به طور مرتب از نخ دندان استفاده کنید. نخ دندان به راحتی ذرات مواد غذایی را حذف می کند. خارج کردن این ذرات غذا از لای دندان ها با مسواک زدن دشوار است.
اجتناب از مصرف نوشابه و کافئین: الکل، نوشابه های گازدار و کافئین مصرف نکنید، زیرا حاوی مقدار زیادی فسفر هستند که سطح کلسیم را کاهش می دهد و باعث فاسد شدن دندان و لثه می شود.
اجتناب از مصرف تنباکو:از تنباکو پرهیز کنید چرا که دندان ها و لثه ها را از بین می برد. توتون و تنباکو همچنین سبب بروز سرطان دهان و ریه می شوند.
ترک سیگار: سیگار کشیدن لثه های شما را تیره تر می کند و منجر به بروز بیماری های دیگر هم می شود. سیگار را ترک کنید یا دست کم مصرف آن را تا جایی که امکان دارد، کاهش بدهید.
مراجعه منظم به دندانپزشک: برای جلوگیری از هر گونه مشکلی در لثه ها، به طور منظم به دندانپزشک تان مراجعه کنید. پاکسازی به طور منظم نیز اهمیت زیادی دارد.
مصرف غذاهای سالم: غذاهای سالم بخورید که حاوی ویتامین ها، آهن، کلسیم و مواد معدنی هستند. چرا که به این ترتیب دندان ها و لثه های تان سالم و صورتی خواهد ماند.
جلوگیری از بروز استرس: استرس یکی از علل سیاهی لثه ها است، بنابراین با انجام تمرینات ورزشی، یوگا و استراحت به میزان کافی، از بروز استرس جلوگیری کنید.
استفاده بیشتر از روی و پتاسیم: روی و پتاسیم را در رژیم غذایی تان بگنجانید. برای حفظ سلامت سیستم ایمنی بدن تان ویتامین C مصرف کنید.
مصرف سپتیلین: شما می توانید سپتیلین مصرف کنید، نوعی دارو در طب آیورودا که به تقویت سیستم ایمنی کمک می کند و با عفونت های عضلانی می جنگد. این دارو در عین حال به کاهش التهاب کمک می کند.
مصرف بیشتر امگا۳: مصرف ۳۰۰ میلی گرم اسید چرب امگا۳ در روز به مدت ۱۲ هفته به کاهش خونریزی لثه ها کمک می کند. مطابق با تحقیقات امگا۳ در برخی از افراد ممکن است از پریودنتایتیس مزمن جلوگیری کند.
استفاده از انگور فرنگی: خوردن انگور فرنگی هندی (آمله) یا مصرف قرص های آن به بهبود سلامت دهان و دندان کمک می کند.
اکسیژن درمانی: اکسیژن درمانی در موارد مزمن سیاهی لثه توصیه می شود. این روش درمانی به ایجاد لثه هایی سالم و صورتی کمک می کند.
استفاده از درخت سماق: شما می توانید برای پیشگیری از تیره و سیاه شدن لثه ها از سایر روش های طبیعی مفید و موثر استفاده کنید مانند استفاده از درخت سماق (مسواک دندان با حذف پوست بیرونی شاخه ها)، مر حجازی (به عنوان پودر دندان)، بومادران (گل ها یا برگ های آن را روی دندان ها بمالید).
استفاده از دم کرده چای سیاه: چای سیاه به بهبودی تورم و التهاب لثه کمک می کند. آب را بجوشانید و یک کیسه چای سیاه داخل آن بگذارید. کمی صبرکنید تا خنک شود، سپس آن را روی دندان ها بمالید و چند دقیقه ماساژ بدهید. همچنین می توانید چای سیاه بنوشید. هر دو به درمان سیاهی لثه کمک خواهند کرد.

مواد غذایی که سبب ایجاد لکه هایی بر روی دندان ها می شود
- غذاها و نوشیدنی های شیرین
- مواد غذایی حاوی رنگ مصنوعی
- قهوه و چای
- شراب قرمز و مشروبات الکلی
- آب میوه های تیره
- مرکبات و آب مرکبات
- سسهای تیره، مانند سس سویا و سس گوجه فرنگی
برخی از غذاها می توانند به تقویت مینای دندان و جلوگیری از تغییر رنگ آنها کمک کنند. غذاهایی که غنی از فیبر هستند می توانند به پاک کردن باکتری ها و پلاک دندان کمک کنند. بعضی دیگر از مواد غذایی، موانعی را بر سر راه ایجاد پلاک ایجاد می کنند یا حاوی مواد شیمیایی هستند که به خنثی کردن اسیدهایی که مینا را تضعیف می کنند، کمک می نمایند.
غذاهایی که به جلوگیری از تغییر رنگ لثه دندان کمک کنند
- سبزیجات برگ سبز، مانند کلم، اسفناج و کلم بروکلی
- پنیر و ماست تخمیر شده
- میوه ها و سبزیجات با فیبر بالا مانند سیب، آلو، گلابی و کرفس
- غذاهای حاوی آنتی اکسیدان های خاص، از جمله هویج، زنجبیل و سیر
- دانه ها و غلات کامل
- آجیل











































