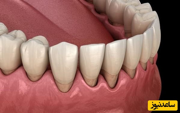
به گزارش سرویس سلامت ساعدنیوز، تحلیل لثه و فک به فرآیندی گفته می شود که در آن حاشیه بافت لثه که دندان ها را احاطه کرده از بین می رود، یا به عقب کشیده می شود. تحلیل فک نیز شامل عقب نشینی یا از بین رفتن بافت استخوان فک می باشد. هنگامی که تحلیل لثه رخ می دهد، شکاف هایی بین دندان ها و خط لثه ایجاد می شود و تجمع باکتری های بیماری زا تسریع می شود. در صورت عدم درمان تحلیل لثه، به بافت و ساختار استخوانی فک و دندان ها مانند ریشه دندان آسیب وارد می شود و در نهایت ممکن است بیمار دندان های خود را از دست بدهد.تحلیل لثه و فک بیماری شایعی است. اکثر بیماران علت اصلی این مشکل را نمی دانند، زیرا این بیماری به تدریج اتفاق می افتد. اولین علامت جدی فرسودگی لثه و فک حساسیت دندان ها می باشد. همچنین ممکن است بیمار مشاهده کند که یک دندان بلندتر از حد طبیعی خود دیده می شود.
عفونت های ایجاد شده توسط باکتری های موجود در دهان باعث بیمار شدن لثه ها می شوند و بیماری لثه دلیل اصلی تحلیل رفتن لثه است.
اگر دندان های خود را بیش از حد محکم و یا اشتباه مسواک بزنید، می توانید ساختار محافظ دندان (مینای دندان) را از بین ببرید و باعث تحلیل رفتن لثه ها شوید.
عواملی مانند مسواک نزدن، استفاده نکردن از دهانشویه آنتی باکتریال و نخ دندان احتمال مبتلا شدن به تحلیل رفتن لثه را چندین برابر می کند.
بارداری، شیردهی و یائسگی باعث نوسانات سطح هورمون ها در طول زندگی زنان می شوند و حساسیت های لثه بیشتر می شود. در این موارد، احتمال تحلیل رفتن لثه بیشتر می شود.
استعمال دخانیات باعث افزایش میزان باکتری های موجود در روی دندان ها می شود و باعث بیماری لثه می شود و در نتیجه احتمال تحلیل رفتن لثه بیشتر می شود.
ممکن است در مواقعی مثل استرس فرد ناخودآگاه دندان هایش را محکم روی هم فشار دهد. فشردن دندان ها نیروی زیادی را بر دندان هایتان وارد می کند و باعث تحلیل رفتن لثه ها می شود.

اگر دندان ها به درستی کنار هم قرار نگیرند فشار زیادی به دندان ها، لثه ها و استخوان فک وارد می شود و با گذشت زمان باعث تحلیل رفتن لثه می شود. اگر مشکل لثه های شما ناشی از دندان های کج و نامرتب است، باید به متخصص ارتودنسی مراجعه کنید و قبل از لق یا افتادن دندان، این بیماری درمان شود.
اغلب اولین مرحله ای که برای درمان تحلیل لثه به کار می گیرند، تشخیص علت آن است.اگر بیماری لثه دلیل این عارضه باشد، ممکن است نیاز به تغییر عادات بهداشت دهان و دندان و درمان های پریودنتال در مطب دندانپزشک باشد.اگر دندان ها مشکل نظم داشته باشند یا کج و بد شکل باشند، روی سلامت لثه تاثیر می گذارد، در نتیجه ممکن است نیاز به ارتودنسی سنتی یا اینویزیلاین داشته باشید.متاسفانه، حتی اگر می توانید این تحلیل لثه را متوقف کنید، نمی توانید آن را بدون انجام هیچ جراحی تعویض کنید.اینجاست که روش درمانی تکنیک جراحی تونل از طرف متخصص ایمپلنت غرب تهران توصیه می شود.