به گزارش سرویس سلامت ساعدنیوز، هیپوپلازی مینای دندان منجر به نازک شدن مینای دندان شده و آن را مستعد پوسیدگی می کند. در این نوشتار به عارضه هیپوپلازی مینا و روش های درمان و پیشگیری از آن می پردازیم.هیپوپلازی مینای دندان که اصطلاحا آن را با نام دندان گچی می شناسیم، یک مورد از نقص مینای دندان است که تنها وقتی دندان ها هنوز در حال رشد هستند، برای فرد اتفاق می افتد. این نقص که می تواند هم دندان های شیری و هم دندان های دائمی فرد را تحت تاثیر قرار دهد، منجر به نازکی مینای دندان فرد شده و دندان ها را مستعد پوسیدگی می کند.
از علائم و نشانه های هیپوپلازی مینای دندان که معمولا در کودکان یا افراد بزرگسال دیده می شود، وجود لکه های سفید، فرورفتگی ها و شیارهای روی لایه بیرونی دندان ها است. اگر تمایل دارید درباره عارضه هیپوپلازی مینا بیشتر بدانید، در ادامه این مقاله با ما همراه باشید.
غذاهای شیرین و غذاهای اسیدی مانند مرکبات، برای مینای دندان بسیار مضرند. برای مثال نوشابه با قند بسیاری که دارد و سودا به دلیل داشتن قند و اسید از جمله مواد بسیار مضر به شمار می روند. در این راستا می توان به آبنبات و خوردنی هایی از این قبیل نیز اشاره کرد.
آبمیوه و مرکبات نیز می توانند به مینای دندان آسیب برسانند؛ اما تفاوت این مواد در این است که حداقل برای بدن مفیدند. نمی توان تنها برای محافظت از مینای دندان میوه را از رژیم غذایی حذف کرد. مسواک زدن و یا خوردن غذاهای غیر اسیدی بعد از مواد اسیدی بهترین روش محافظتی است.
از آنجایی که از بین رفتن مینای دندان بسیار به کندی صورت می گیرد، ممکن است مدتی طول بکشد تا متوجه آسیب آن بشوید. در مراحل اولیه، موقع خوردن بعضی غذاها احساس درد یا حساسیت در دندان خواهید کرد. اگر در این مرحله فکری به حال دندان تان نکنید، با تغییر رنگ دندان و زرد شدن آن مواجه خواهید شد. این رنگ زرد همان عاج دندان است که نمایان می شود. در ادامه به چند علامت دیگر برای فهمیدن فرسایش مینا اشاره می کنیم:
لبه های تیز و ناهموار دندان
شکستن یا به اصطلاح گچی بودن دندان
حساس شدن دندان
افزایش پوسیدگی
مراقبت خوب از دندان ها از طریق مسواک زدن، کشیدن نخ دندان و ویزیت منظم دندانپزشکی بهترین راه برای محافظت از مینای دندان و جلوگیری از پوسیدگی است، تا در آینده از اقدامات جدی بی نیاز شوید.
اگر مینای دندان آسیب ببیند، از آنجایی که هیچ سلول زنده ای ندارد، ترمیم نمی شود و هیچ راهی هم برای ترمیم آن وجود ندارد؛ اما اگر شدت آسیب در مراحل اولیه باشد، با استفاده از دهان شویه و خمیر دندان های ضد حساسیت که در داروخانه ها موجودند، می توانید از تشدید آن بکاهید در غیر این صورت، راهی به جز پر کردن عاج، روکش و باندینگ وجود ندارد.
ساخته شدن مینا (آمیلوژنزیس) در دو مرحله رخ می دهد. در اولین مرحله، ساختمان مینا شکل گرفته و در دومین مرحله، این ساختمان تحت کلسیم گیری قرار می گیرد. بنابراین هر گونه عامل موضعی یا سیستمیک که در روند تشکیل طبیعی مینا مداخله نماید، می تواند اختلالات و بی نظمی هایی در سطح مینا به نام هیپوپلازی بوجود آورد. به عبارت دیگر، هیپوپلازی مینایی، روندی غیرطبیعی و ناقص در شکل گیری مینای دندان می باشد. این گرفتاری می تواند فقط شامل دندان های شیری؛ یا فقط دندانهای دائمی؛ و یا هر دو بوده و باعث ایجاد یک تغییرات وسیع در ظاهر کلینیکی دندان ها گردد. هیپوپلازی می تواند از حالات خفیف تا موارد بسیار شدید را شامل شود؛ در موارد خفیف، علائم هیپوپلازی شامل چند شیار کوچک، حفرات و یا شکاف هایی در سطح مینا می باشد. در موارد شدیدتر، این علائم شامل ردیف هایی از حفرات عمیق و یا شیارهایی افقی در سطح دندان خواهد بود.
ضمنا ممکن است مینا به میزان کافی شکل بگیرد اما در مرحله شکل پذیری ، ساختمان آن بطور کامل کلسیم گیری نکند بنابراین در این مرحله عواملی که با (بلوغ و تکمیل) مینا، تداخل پیدا می کنند، حالتی بنام هیپوکلسی فیکاسیون مینا را بوجود می آورند. علاوه بر این موارد، این احتمال نیز وجود دارد که مینا به میزان کافی شکل بگیرد و بعد بطور مناسبی کلسیفیه شود ولی پس از رویش، به علت وجود موادی که یون کلسیم را از روی ساختمان آپاتیت برمی دارند، کلسی فیکاسیون تغییر کند.
در هر حال، نقائص هایپوکلسی فیکاسیون بطور مستقیم در ارتباط با إشکالات میترالیزاسیون ماتریکس ارگانیک در شکل گیری مینا می باشد. همان عواملی که باعث هیپوپلازی مینایی می گردند، می توانند سبب هایپوکلسی فیکاسیون نیز بشوند.

1- هیپوپلازی نوع ارثی که بنام آمیلوژنزیس ایم پرفکتا معروف بوده و دندانهای شیری و دائمی هر دو گرفتار هستند و فقط ساختمان مینا دچار این تغییرات است.
2- هیپوپلازی در اثر عوامل محیطی: که اغلب یکی از دندانها گرفتار بوده که در این بین، مینا و عاج هر دو ممکن است دچار اختلال باشند . این نوع هیپوپلازی عنوان این مبحث می باشد که در ذیل آورده شده است – از نظر زمان ایجاد و سن وقوع، نیز می توان هیپوپلازی را به سه دسته تقسیم نمود:
الف- جنینى (Prenatal ) : این نوع از هیپوپلازی منشاء قبل از تولد داشته و لبه انسیزالی مینای دندانهای ثنایای شیری فک بالا را گرفتار می کند و معمولا در سه ماهه دوم و سوم حاملگی و در اثر عواملی مانند فلج مغزی بوجود آمده و می تواند به عنوان مدرکی در جهت تشخیص یک اختلال مهم متابولیکی در زندگی جنینی ارزیابی گردد.
ب- هیپوپلازی : این نوع از هیپوپلازی شامل طیف وسیعی از هیپوپلازی ها بوده که در بدو تولد و دوره نوزادی بوجود می آید. برطبق نظرات محققین ، این هیپوپلازی اختلالی در تشکیل مینا را نشان می دهد. در خفیف ترین شکل آن، یک اختلال قبل از تولد (پری ناتال) به صورت یک حلقه نئوناتال تشدید یافته در دندان شیری نمود می یابد. در این هیپوپلازی، تنها سرویکالی ترین قسمتهای نواحی که رنگدانه داخلی دارند هیپوپلاستیک هستند. در نوع شدید، گاهی تشکیل مینا در زمان تولد و یا در دوره نئوناتال متوقف می شود. هیپوپلازی نئوناتال معمولا اطفالی که دچار تولد زودرس هستند و یا وزنشان هنگام تولد کم است را گرفتار می کند. این اطفال معمولا دچار اختلال متابولیکی زیادی هستند. ضمنا قرار گرفتن در معرض تتراسایکلین نیز می تواند سبب این حالت شود.
ج- هیپوپلازی دوره: عوامل مختلف و طیف وسیعی از ناهنجاری ها، هیپوپلازی مینایی را در ثنایاهای دائمی فک بالا و فک پایین تحت تأثیر قرار می دهد که بنظر می رسد در اثر اختلالات سیستمیک دوران نوزادی می باشد
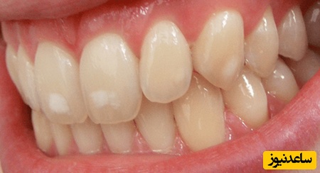
این عارضه معمولا با خطوط عرضی، چاله ها و شیارهای سطح تاج دندان دیده می شود. ممکن است فرد تنها در هنگام کودکی با این عارضه مواجه شود و با ریختن دندان های شیری این مشکل از بین برود؛ اما وجود آن در دندان های دائمی بر روی ظاهر دندان بسیار تاثیر می گذارد.هیپوپلازی در حالت خفیف خود تنها شامل چند شیار یا حفره می شود؛ اما در حالت های پیشرفته، شیارهای افقی و حفره های زردی بر روی دندان پدیدار می گردد. در این قسمت علائم هیپوپلازی مینای دندان را به صورت موردی بررسی خواهیم کرد:
حساسیت به سرما و گرما
فرورفتگی ها، شیارهای باریک، شکاف ها و گود شدگی ها
لکه ها و نقاط سفید روی دندان
ساییدگی روی دندان
تیز و نامنظم بودن شکل دندان به طوری که دندان ها روی هم منطبق نمی شوند.
هیپوپلازی مینای دندان به دلیل عوامل محیطی، علائم یکسانی با هیپوپلازی ژنتیکی دارد اما به دلیل عوامل مختلف مثل قاعدگی زودرس، سوء تغذیه، عفونت باکتریایی یا ویروسی، تروما یا آسیب دیدگی دندانِ در حال رشد و دهان اتفاق می افتد. علاوه بر این موارد، علل دیگر ابتلا به هیپوپلازی مینای دندان شامل:
کمبود ویتامین دی
افزایش وزن
استعمال سیگار
مصرف دارو
کمبود مراقبت در دوران کودکی توسط والدین
تولد زودرس نوزاد یا وزن کم
کمبود کلسیم
یرقان
بیماری کبد
بیماری سلیاک
برای آنکه دچار این مشکل نشوید کافیست:
حداقل دو بار در روز با یک مسواک نرم دندان های خود را مسواک کنید.
اگر دندان شما به سرما حساسیت دارد، با آب ولرم آن را بشویید.
از غذا های حاوی اسید و قند دار به میزان حداقل استفاده کنید.
به طور منظم چکاپ بروید و به دندان پزشک مراجعه کنید، مخصوصا زمانی که به مشکلی مشکوک بودید.
اگرچه که برای هیپوپلازی ژنتیکی، هیچ اقدام خاصی نمی توان انجام داد اما بعضی از راهکار های ساده برای کاهش یا از بین بردن علت های محیطی هیپوپلازی مینای دندان وجود دارد.
مصرف مکمل ویتامین آ یا ویتامین دی در رژیم غذایی می تواند به تقویت دندان ها کمک کند.
مصرف سبزیجات سبز و برگ دار و افزایش مصرف شیر هم کمک کننده خواهد بود.
مینای دندان هیپوپلازی به ارث برده به عنوان یک صفت غالب وابسته به X. به طور معمول، تشخیص هیپوپلازی کند مشکلات در دندانپزشکان با توجه به این واقعیت است که این بیماری دارای علائم بصری، که می تواند به راحتی دیده نمی شود. وظیفه اصلی دندانپزشک تمایز هیپوپلازی از شخصیت های ضایعه پوسیدگی است. به منظور ایجاد چنین بررسی، پزشکان با استفاده از سه روش اصلی:
ارزیابی بصری از سطح مینا. وقتی مینای دندان تظاهرات دندان پوسیده دارد یک سطح خشن، در حالی که آن را هیپوپلازی صاف باقی مانده است؛
تخمین تعداد نقاط (از هیپوپلازی است که با علائم متعدد).
رنگ آمیزی از مناطق آسیب دیده مینای دندان با محلول متیلن بلو. لکه خاص برای هیپوپلازی، با این راه حل لکه، بر خلاف ضایعات پوسیده.
موفقیت درمان هیپوپلازی و روند آن به میزان شدت بیماری و سن بیمار وابسته است. برای مثال اگر کودکی دارید که اخیرا لکه های سفیدی روی دندان های او مشاهده می کنید، با مراجعه به دندانپزشک و استفاده از فلورایدتراپی موضعی می توانید تا مقدار زیادی از گسترش هیپوپلازی و پوسیدگی مینای دندان او محافظت کنید.
اگر شدت بیماری کم بوده و تغییر رنگ کمی در دندان رخ داده باشد، ممکن است دندانپزشک دندان فرد را با روش های حرفه ای سفید کند تا در کنار دیگر دندان ها، سالم و سفید به نظر برسد. در برخی از بیماران با کم شدن اثرات درمان اولیه، این نیاز در آنها به وجود می آید که دندان های خود را مرتبا با پراکسیدهیدروژن سفید کنند. اما در مشکلات جدی تر مانند پوسیدگی دندان و ایجاد حفره های قابل رویت، دندانپزشک مناطق آسیب دیده را تخلیه کرده و آنها را با مواد مناسب پر می کند.
چنانچه هیپوپلازی مینا تنها در بخش کوچکی از دندان رخ داده باشد، پر کردن مناطق آسیب دیده می تواند در کاهش حساسیت و درد دندان فرد تاثیر مهمی داشته باشد. اما در صورتی که شدت بیماری بیشتر بوده و کل دندان آسیب دیده باشد، با پر کردن مشکل به صورت کامل برطرف نمی شود؛ لذا دندانپزشک با استفاده از یک راه حل دائمی تر مثل گذاشتن تاج یا آنلی، مشکل پوسیدگی دندان فرد را اصلاح می کند.
به طور کل می توان گفت که در درمان هیپوپلازی مینای دندان و برطرف کردن پوسیدگی ها، دکتر با استفاده از روش هایی نظیر سیلان باند، پرکردن با کامپوزیت بر پایه رزین و پر کردن دندان با آمالگام، پوسیدگی ها را برطرف می سازد. به خاطر داشته باشید که پر کردن با رزین به دلیل شباهت زیادی که به رنگ طبیعی دندان فرد دارد برای برطرف کردن پوسیدگی دندان های جلو استفاده می شود، در حالی که پرکردن با آمالگام به دلیل رنگ نقره ای مواد پرکننده، برای دندان های عقب ایده آل است. روکش کردن و میکروابریژن مینای دندان نیز از دیگر موارد درمان هیپوپلازی مینای دندان به شمار می روند.
این در حالی است که در موارد پیشرفته تر ممکن است لازم باشد که دندان به صورت کامل برداشته و یک بریج دندان یا کاشت دندان برای فرد انجام شود. کاشت دندان علاوه برآنکه با پر کردن جای خالی دندان از دست رفته و جلوگیری از جابه جا شدن دندان های دیگر به حفظ زیبایی لبخند فرد کمک می کند، باعث می شود که فرد راحت تر لقمه های غذای خود را بجود.