به گزارش سرویس سلامت ساعدنیوز، تحلیل لثه شرایطی است که در آن ریشه های دندان به خاطر از بین رفتن بافت لثه در معرض محیط خارجی قرار می گیرند. این شرایط یک مشکل عادی در بین افراد بزرگ سال است، اما افراد در سنین پایین نیز می توانند به این مشکل دچار شوند. هنگامی که لثه ها تحلیل می روند، شکاف ها یا حفره های عمیق به نام پاکت بین خط لثه و دندان ها تشکیل می شود. این شکاف ها در ادامه به محل تجمع باکتری و ایجاد مشکلات خاص در ارتباط با سلامت دهان و دندان تبدیل خواهند شد. هنگامی که این مشکل به صورت درمان نشده به حال خود رها شود، ممکن است فرد دندان های خود را به خاطر آن از دست بدهد.
تحلیل لثه می تواند برای فرد دردناک بوده و تاثیر منفی بر ظاهر وی داشته باشد. به هر حال، امروزه امکان درمان این مشکل با استفاده از خدمات دندان پزشکان متخصص بیماری های لثه وجود دارد.هنگامی که بیمار برای درمان مشکل تحلیل لثه ها به مطب مراجعه می کند، متخصصان ما حداکثر تلاش خود را برای درمان مشکل به صورت رضایت بخش و راحت برای بیمار به کار خواهند گرفت. در حقیقت متخصصان ما متعهد به ارائه بهترین خدمات درمانی برای بیماری های لثه هستند. این مطب مفتخر است محیطی راحت و رضایت بخش برای ارائه خدمات دندانپزشکی موثر به بیماران ایجاد کرده است.در صورتی که شما دچار مشکل تحلیل لثه ها شده اید و این شرایط بر اعتماد به نفس شما تاثیر گذاشته و باعث ناراحتی شما شده است، می توانید با مراجعه به این مطب از خدمات درمان حرفه ای برای رفع مشکل خود استفاده کنید. کارمندان ما خدمت درمانی مورد نیاز را با گشاده رویی و ادب فراوان به شما ارائه خواهند کرد.همکاران ما در این مطب همواره آماده پاسخگویی به سوالات شما درباره روش های درمان قابل استفاده برای رفع مشکل تحلیل لثه ها هستند.

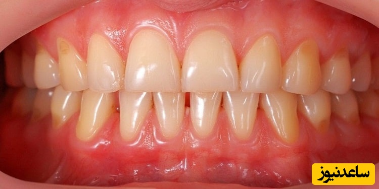
بارزترین علامت تحلیل رفتن لثه، تغییر مکان قابل مشاهده بافت لثه به سمت پایین ریشه دندان است، که باعث می شود سمان زرد دندان نمایان شود. نشانه های دیگری نیز در ارتباط با تحلیل لثه وجود دارد، اما درهرصورت نمایان شدن ریشه دندان معمولاً رخ می دهد. بر حسب اینکه عامل خطر تحلیل لثه چه باشد، منطقه تحلیل لثه ممکن است به یک دندان یا بخشی از دهان محدود باشد و یا اینکه در سراسر دهان گسترش یابد.
برخی از علائم شایع این بیماری که منجر به تحلیل لثه می شود، عبارتند از:
حساس شدن لثه
نمایان شدن رنگ زرد ریشه دندان
لکه لکه شدن دندان
حساس شدن به پوسیدگی
دندان های بلند
فضاهای خالی بین دندان ها
گیر کردن تکه های مواد غذایی
در بعضی موارد می توان با رعایت چند نکته از عقب رفتگی یا تحلیل لثه جلوگیری کرد. نکات مهم جهت پیشگیری از عقب رفتگی لثه عبارت اند از:
در طول روز حتما دو بار مسواک بزنید
به آرامی مسواک بزنید و از مسواک هایی با برس های نرم استفاده کنید.
علاوه بر مسواک، حتما حداقل روزی یک بار از نخ دندان استفاده کنید
در صورت مشاهده ی تورم یا خونریزی لثه حتما به دندانپزشک مراجعه کنید
اگر فردی به دیابت مبتلا باشد، بهتر است که از شوینده های مخصوص برای کنترل باکتری ها استفاده کند تا در اطراف لثه رسوب ایجاد نشود.
به طور کلی مراقبت از دندان ها برای جلوگیری از انباشته شدن باکتری و پلاک که منجر به بیماری پریودنتال می شود ضروری است. با رعایت نکات بهداشتی می توان به راحتی از عقب رفتگی لثه جلوگیری کرد.