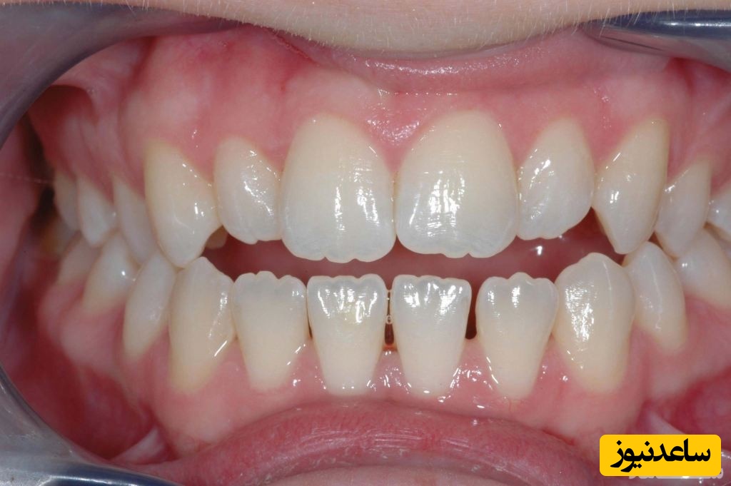
به گزارش سرویس سلامت ساعدنیوز، در اول رشد آن بخش از جوانه دندانی دندان های قبل که سبب رویش مینای دندان است، از سه کانون سوا از هم تشکیل شده که این سه کانون طی فرآیند رشد دندان به هم متصل می شوند و دندانه هایی که بر روی لبه دندان های جلویی وجود دارند در واقع به علت به هم پیوستن این بخش ها ایجاد می شوند.
با افزایش سن و ساییدگی لبه دندان های بالایی و پایینی روی یکدیگر، عمق این دندانه ها که در قسمت مینای دندان ها وجود دارند، کمتر شده و دندان ها صاف تر به نظر می رسند. وجود این حالت روی دندان های پیشین کاملا طبیعی بوده و هیچ ضرری برای فرد نخواهد داشت. هرچند که در حالاتی چون جلو تر بودن فک بالا و یا عقب تر بودن فک پایین شاهد ساییدگی و صاف شدن لبه دندان ها نخواهیم بود. بعضی عادات در افراد ممکن است موجب ایجاد دندانه یا شیارهای عمیق روی دندان های قدامی شود، که با گذشت زمان عمق بیشتری نیز پیدا می کنند.

چنین حالتی را می توان در افرادی که عادت به زیاد شکستن تخمه دارند، دید. در صورت زیاد بودن عمق این لبه ها هرچند مشکل خاصی برای افراد ایجاد نمی شود، اما دندانپزشکان می توانند در صورت تقاضای فرد با کامپوزیت های دندانپزشکی لبه دندان ها را صاف نشان دهند، اما لازم به ذکر است که برخی افرادی که اقدام به ساخت دندان هایشان می کنند، علاقه مندند که دندان هایشان به شکل دندانه دار باشند تا جوان تر به نظر برسد.