نامرتبی دندان ها به معنی ارتباط نامناسب بین فک بالا و پایین و یا بی نظمی و شلوغی دندان ها می باشد. نامرتبی دندان ها بسیار شایع است بطوری که بیشتر افراد تا حدودی آن را تجربه می کنند. این مشکل به نظر ناشی از ترکیب عوامل ژنتیکی و عادات نامناسب بهداشت دهان و دندان یا سایر عوامل در سال های اولیه است. نامرتبی و به هم ریختگی دندان کودکان و بزرگسالان اغلب نیاز به درمان توسط یک متخصص ارتودنسی دارد. متخصص می تواند این مشکلات را با استفاده از بریس های ثابت و متحرک اصلاح کند.

انواع نامرتبی دندان ها
جلوآمدگی دندان های بالایی (اورجت)
جلوآمدگی دندان های بالایی زمانی رخ می دهد که دندان های جلویی در بالا به طرف بیرون آمده باشند و حالتی تحت عنوان buck teeth ایجاد شود. این وضعیت می تواند در اثر کوچک بودن فک پایین، استفاده از پستانک یا مکیدن انگشتان ایجاد شود که گاهی اوقات دندان های جلویی را به طرف جلو فشار داده و موجب تغییر شکل سقف دهان می گردد.
فاصله بین دندان ها یا شلوغی دندان ها
فاصله بین دندانی یا شلوغی دندان ها در صورتی رخ می دهد که فضای بیش از حد زیاد یا کم برای دندان ها وجود داشته باشد. این مشکل باید اصلاح شود زیرا می تواند از بیرون آمدن صحیح دندان های دائمی جلوگیری کند. در حالی که فاصله بین دندانی ممکن است تنها یک مشکل زیبایی باشد، اما شلوغی دندان ها می تواند تمیز کردن آنها را دشوار کرده و موجب مشکلات بیشتر شود.
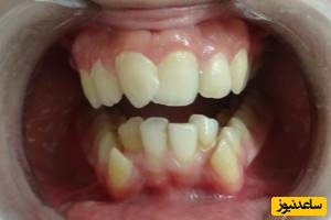
مطابق نبودن خط میدلاین دندان ها
مطابق نبودن خط میانی دندان ها زمانی ایجاد می شود که خط میانی جلویی دندان های بالا با خط میانی دندان های پایین مطابقت نداشته باشد. این وضعیت زمانی رخ می دهد که قسمت های عقبی نیش با هم تطابق نداشته باشند یا بطور مناسب روی هم قرار نگیرند که امکان دارد بر رشد فک و عملکرد صحیح دندان ها تاثیر بگذارد.
اوپن بایت
اگر دندان های آسیا بر روی هم قرار گیرند اما دندان های پایینی در جلو روی دندان های بالا نیفتند، این حالت اوپن بایت نامیده می شود. از آنجایی که یک بازشدگی در دهان ایجاد می شود، این وضعیت می تواند یک مشکل جدی باشد. این بازشدگی می تواند در یک طرف دهان یا هر دو طرف دهان وجود داشته باشد. جدا از غیر جذاب بودن، اوپن بایت می تواند موجب مشکلاتی در خوردن و صحبت کردن شده و باعث سایش بیش از حد دندان هایی شود که روی هم قرار نمی گیرند.
اوربایت
هنگامی که دندان های جلویی در بالا بیش از حد به پایین می آیند بطوری که بر روی دندان های پایینی قرار می گیرند، حالت اوربایت ایجاد می شود. در بیشتر موارد شدید، این امر می تواند باعث شود که دندان های پایینی به سقف دهان برسند. مشکلات دیگری که می توانند در اثر اوربایت رخ دهند زخم شدن و فرسایش دندان های جلویی می باشد.
آندربایت
آندربایت زمانی رخ می دهد که دندان های جلویی در پایین نسبت به دندان های بالا بیشتر جلو آمده باشند و موجب قرار گرفتن دندان هایی پایین بر روی دندان های بالا می شود. این امر می تواند موجب بروز مشکلاتی در خوردن و ساییدگی غیر یکنواخت دندان های جلویی شود.
کراس بایت
اگر هر یک از دندان های بالایی بر روی دندان متناظر پایینی قرار نگیرد، وضعیت کراس بایت رخ می دهد. معمولاً در این شرایط دندان های بالایی به جای اینکه در قسمت خارجی دندان های پایینی قرار گیرند در داخل قرار می گیرند. این امر می تواند موجب سایش بیش از حد در برخی دندان ها یا احتمالاً رشد نامرتب فک شود.
دلیل نامرتبی دندان ها
دلیل اصلی نامرتبی و کجی دندان ها عوامل ارثی است. هرچند برخی عادات و مشکلات ممکن است ساختار فک را تغییر دهند و موجب به هم ریختگی دندان ها شوند از جمله:
استفاده طولانی مدت از شیشه شیر یا پستانک پس از سن سه سالگی
- مکیدن انگشتان
- ضربه به دندان ها
- آسیب دیدگی فک
- تومور در دهان یا فک












































