در برخی موارد وقتی دندان دایمی کنده می شود، دندانپزشک قادر است آن را دوباره در جای خود قرار دهد. این اقدام در مورد دندان های شیری انجام نمی شود.
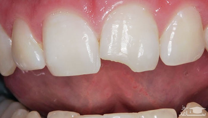
با اینکه بسیاری از دندان های سالم محکم هستند، اما در سوانح و یا شرایط خاص این دندان های دیگر توانایی تحمل فشار و یا ضربه را ندارند و ممکن است با ترک و یا حتی شکستی مواجه شوند. این مورد هم میتواند همراه با درد و خونریزی لثه و هم هم تنها ترک و شکستگی باشد. زمانی که شما با دندان شکسته مواجه شدید اولین و مهمترین اقدام میبایست مراجعه به دندان پزشک باشد ولی با این حال کارهایی نیز تا قبل از مراجعه به دندان پزشک می توانید انجام دهید که به سالم ماندن و یا کاهش آسیب دندان ها می تواند کمک کند.
- سوانح دندانی معمولا به دلایل زیر ایجاد می شوند:
۱- صدمات ناشی از زمین خوردن و برخورد دندان به سطوح محکم
۲- تصادفات اتومبیل
۳- صدمات ورزشی
۴- نزاع و درگیری
۵- شکستن غذاها و اجسام سخت توسط دندان

- کمک های اولیه:
دندان شکسته و یا کنده شده را سریعا و در عرض حداکثر ۳۰ دقیقه به دندانپزشک برسانید. با گذشت زمان، شانس موفقیت در کاشت مجدد دندان کاهش می یابد. به خاطر داشته باشید که هرگز ریشه دندان کنده شده را لمس نکنید و برای جابجایی فقط تاج آن را در دست بگیرید.
برای انتقال دندان کنده شده به مطب دندانپزشک یکی از راه های زیر را انتخاب کنید:
۱- سعی کنید که دندان را در دهان و در محل قبلی آن و هم ردیف با سایر دندان ها قرار دهید. برای نگه داشتن دندان کنده شده یک گاز تمیز یا چای کیسه ای مرطوب را روی آن قرار داده و به آرامی گاز بگیرید. مراقب باشید که دندان خود را نبلعید.
۲- اگر روش شماره ۱ قابل انجام نبود، دندان را در یک ظرف تمیز قرار داده و با مقداری شیر یا بزاق روی آن را بپوشانید.
۳- دندان را بین لب پایین و لثه پایین و یا در زیر زبان قرار دهید.
۴- در برخی از کیت های کمک های اولیه وسیله ای برای نگهداری و حمل دندان و محلول مخصوص آن وجود دارد که می توانید از این وسیله نیز برای انتقال دندان استفاده کنید.
- سایر اقدامات:
۱- از کمپرس سرد برای تسکین درد دهان و لثه استفاده کنید.
۲- برای کنترل خونریزی، یگ گاز تمیز را با فشار در محل جراحت نگه دارید.
۳- در کمترین زمان ممکن به دندانپزشک مراجعه کنید.
در برخی موارد، شکستن دندان موجب می شود که پایانه های عصبی بدون محافظت رها شوند. در این صورت شما به اقدامات درمانی فوری برای پیشگیری از عفونت و درد نیاز دارید.
در برخی موارد تنها بخش کوچکی از لبه دندان شکسته و به اصطلاح می پرد که نیازی به اقدام اورژانسی نیست، اما برای جلوگیری از بریدن لب ها و یا زبان توسط سطح تیز دندان شکسته، دراسرع وقت به دندانپزشک مراجعه کنید.
نکته: اگر قادر نیستید که دندان های بالا و پایین خود را به هم نزدیک کرده و روی هم قرار دهید، احتمالا دچار شکستگی استخوان فک شده اید. در این صورت فورا به دندانپزشک یا بیمارستان مراجعه کنید.

- کارهایی که نباید انجام دهید:
۱- هرگز ریشه دندان کنده شده را لمس نکنید و برای جابجایی آن با تاج دندان تماس داشته باشید.
۲- هرگز ریشه دندان کنده شده را پاک و تمیز نکنید.
۳- هرگز دندان کنده شده را توسط مسواک یا الکل تمیز نکنید.
- پیشگیری از شکستن و یا کنده شدن دندان:
۱- در هنگام ورزش از محافظ دهان استفاده کنید.
۲- از دعوا و درگیری و برخورد فیزیکی بپرهیزید.
۳- از خوردن غذاهای سخت مانند استخوان، نان خشک و بیات و یا شکستن پوسته خارجی مغزها توسط دندان خودداری کنید.
۴- در هنگام سوار شدن به اتومبیل حتما کمربند ایمنی خود را ببندید.











































