دندان ها قادر به تحمل نیرو و فشار وارد شده هستند با این حال زمانی که فشار وارده بسیار شدید باشد ممکن است قسمتی از دندان شکسته شود یا ترک بردارد. روش های دندانپزشکی مختلفی مانند استفاده از کامپوزیت دندان، روکش دندان و پرکردن دندان، عصب کشی دندان و ایمپلنت (برای دندان هایی با شکستگی عمیق که باید کشیده شوند)، کاربرد دارند. امروزه بیشتر بیماران استفاده از کامپوزیت و لمینت دندان را ترجیح می دهند اما کامپوزیت ونیر و لمینت گزینه ی مناسبی برای همه بیماران و همه انواع شکستگی دندان نمی باشد.عادت های رفتاری مانند دندان قروچه کردن، جویدن سطوح سخت و از این قبیل سبب ترک خوردگی دندان ها می شوند. . میزان ترک خوردگی دندان ها از نظر حجم و بزرگی و نیز میزان نفوذ ان ها در ساختار دندان متفاوت هستند. چنانچه میزان ترک خوردگی جزئی باشد در اینصورت تنها مینای دندان آسیب می بیند ، در این حالت برای اصلاح ظاهر دندان پالیش کردن کافیست. چنانچه میزان ترک عمیق تر از مینای دندان باشد، برای پیشگیری از عفونت دندان و شکستگی بیشتر باید درمان های بیشتری انجام گیرد.
نوع و شدت شکستگی دندان تعیین می کند که کدام یک از روشهای دندانپزشکی برای ترمیم آن استفاده شود. شدت شکستگی دندان می تواند به یکی از اشکال زیر باشد:
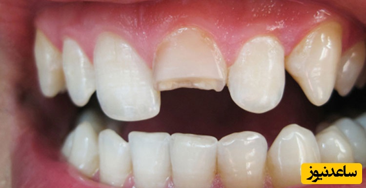
- لب پریدگی دندان که در آن شکستگی فقط در سطح مینای دندان اتفاق می افتد.
- شکستگی در لایه عاج
- شکستگی در پالپ
- شکستگی ریشه
شایع ترین علل آسیب و شکستگی دندان کدامند؟
ترومای (آسیب) صورت یا شکستگی دندان می تواند به دلیل تصادفات اتومبیل، زمین خوردن و آسیب های ناشی از ورزش های مختلفی از جمله راگبی، هاکی، فوتبال، والیبال، بسکتبال و بیس بال رخ دهد.فرسودگی و ساییدگی ناشی از پوسیدگی ها و دندان قروچه و جویدن یا گاز زدن به اجسام سفت مانند خودکار، یخ، آجیل و آب نبات، نیز می تواند منجر به شکستگی شود.
آسیب های دندانی که با صدمات سر و گردن همراه نیستند را معمولاً می توان در یک مطب دندانپزشکی ارزیابی و درمان کرد. چنین آسیب هایی شامل شکستگی دندان، از جا کنده شدن، یا جابجایی ناگهانی دندان توسط یک نیروی بیرونی هستند. این آسیب ها معمولاً با ورم لثه و سایر بافت های درون دهان همراهند.

روش های ترمیم دندان شکسته
روش های پیشنهادی مربوط به معالجه و بهترین روش ترمیم دندان شکسته به علت و میزان آسیب و پوسیدگی دندان بستگی دارد. در اینجا چند روش که دندانپزشکان برای ترمیم دندان شکسته استفاده می کنند را توضیح می دهیم.
کانتورینگ دندان از روشهای ترمیم دندان شکسته
اگر شکستگی بسیار جزئی و کوچک باشد کار ترمیم دندان شکسته شامل گرد کردن و شکل دادن لبه های تیز دندان و صیقل دادن و صاف کردن آن به طوریکه با سایر دندانها همخوانی پیدا کند و شکستگی دندان از نظر زیبایی طبیعی جلوه کند.
روش پر کردن یا چسباندن دندان شکسته
در این روش ترمیم دندان شکسته از مواد دندانپزشکی مخصوص استفاده می شود و در قسمت شکستگی یا ترک قرار می گیرنداین مواد می تواند امالگام یا کامپوزیت یا گلاس اینومر و غیره باشد و سپس توسط دندانپزشک آن را هم راستا با سایر دندانها فرم و شکل می دهد، بعد از آن مواد سفت و سخت می شود تا دندان شکسته طبیعی تر به نظر آید.
روکش برای ترمیم دندان شکسته
روکش کردن دندان یکی از روشهای ترمیم دندان شکسته است که معمولا برای هر بیمار به طور اختصاصی ساخته می شوند تا بتوانند جایگزین قسمت شکسته دندان باشند و در این حالت قسمت های پایه و ساختار اصلی دندان سالم باقی می ماند. در این روش ، یک تاج دندان مصنوعی جزئی یا کامل ساخته می شود و سپس به دندان وصل می شود تا استحکام بیشتری داشته باشد و تا حد ممکن دندان طبیعی را حفظ کند. اغلب برای اطمینان از موفقیت در ترمیم دندان شکسته درمان کانال ریشه نیز لازم است.
درمان کانال ریشه روش ترمیم دندان شکسته
برای صدمات شدیدتر، وقتی که ساختار داخلی (پالپ) دندان آسیب دیده است، می توان با روند تمیز کردن و پر کردن، ریشه طبیعی دندان را نجات داد. با حفظ ریشه طبیعی دندان، تاج و مینای طبیعی دندان به طور کلی ضعیف شده و نیاز به تعبیه یک تاج مصنوعی وجود دارد.
برای دندانهای بسیار آسیب دیده که توسط هیچ یک از روش های ترمیم دندان شکسته که در بالا ذکر شد امکان نجات آنها وجود نداشته باشد کشیدن دندان آخرین گزینه ممکن است. کشیدن دندان منجر به ایجاد شکاف و فاصله بین دندان ها خواهد شد. برای حفظ سلامت لثه و زیبایی لبخند و افزایش اعتماد به نفس شما نیاز به نوعی از دندان مصنوعی در این زمان احساس می شود. در این مواقع از روش های کاشت و ایمپلنت دندانی برای ترمیم دندان شکسته استفاده می شود.
مزایای فوق العاده ی ارتودنسی دیمون چیست؟










































