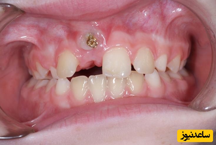
به گزارش سرویس سلامت ساعدنیوز، اگر در دهانتان دندانی دارید که بخشی از آن توسط لثه یا استخوان پوشانده شده است، به آن دندان غایب گفته می شود. حال سؤال اینجاست که چرا برخی از دندان ها غایب می شوند؟ در پاسخ به این سؤال باید گفت که علل مختلفی باعث بروز این مشکل می شود. از بین رفتن دندان های شیری در زمان نامناسب، دندان های متراکم و نبود فضای مناسب برای رشد دندان های جدید و قرار گرفتن جوانه دندان در شرایطی نامطلوب از جمله مهم ترین علل شکل گیری دندان های غایب به شمار می روند.
شاید در نگاه اول هیچ گونه مشکل حادی در مورد دندان های غایب به چشم نخورد. اما این مشکل می تواند صدمات زیادی به سلامت افراد وارد کند. در ادامه برخی از اصلی ترین عوارض دندان های غایب را ذکر خواهیم کرد.
آسیب رسیدن به ریشه دندان های مجاور از مهم ترین و شایع ترین عوارض دندان های غایب به شمار می رود.
تحت تأثیر قرار دادن چهره و از دست رفتن زیبایی لبخند از دیگر مضرات دندان های غایب به شمار می رود. افراد بیمار مجبور هستند تا فضای خالی نامطلوبی را مابین دندان های خود تحمل کنند. بر طبق آمار دومین دندان فک فوقانی و دندان آسیای کوچک دوم در فک تحتانی از اصلی ترین دندان های غایب در میان بیماران شناخته شده اند. لذا همان طور که مشهود است، غیبت دندان دوم فک فوقانی می تواند تأثیر بسیار زیادی بر طرح لبخند بیماران داشته باشد.
افرادی که دندان های غایب در دهان دارند، باید انتظار عفونت، ظهور کیست و… را داشته باشند. به همین جهت به تمامی بیماران توصیه می شود در صورت مشاهده دندان های غایب در اولین فرصت به یک متخصص ارتودنسی مراجعه نمایند.
آسیب رسیدن به حفره سینوس ها از دیگر معایب و مضرات دندان های غایب به حساب می آید. این دندان ها می توانند صدمات جدی به حفره سینوس ها وارد کنند.
آسیب پذیر شدن دندان های دیگر و فراهم شدن بستری به منظور سایش زودهنگام آن ها از دیگر عوارض دندان های غایب است.
بسته به نوع ناهنجاری و تعداد دندان های غایب متخصص ارتودنسی تصمیم می گیرد که کدام یک از روش های درمان دندان غایب را به کار گیرد. توصیه اولیه بر این است که فاصله بین دندان ها با ارتودنسی بسته شود. زیرا داشتن دندان های طبیعی مزایای مربوط به خود را دارد و با نگهداری صحیح از دندان های طبیعی می توان مادام العمر از وجود دندان های سالم بهره برد.در برخی موارد که سایز دندان ها کوچک است و یا تعداد دندان های غایب زیاد است متخصص ارتودنسی فاصله بین دندان ها را با دستگاه ارتودنسی مناسب تنظیم می کند و سپس اقدام به کاشت دندان یا ایمپلنت در بین فواصل دندانی می نماید.

زمانی که جای دندان خالی می شود فضایی اضافی بین دندان ها ایجاد می شود و طی طولانی مدت منجر به حرکت و به هم ریختن دندان ها می شود. همچنین بر اثر برخورد مستقیم خوراکی ها و نوشیدنی ها با لثه این ناحیه دچار التهاب و بیماری های لثه می شود. همچنین ساییدگی دندان های اطراف و ساییدگی و بد شکل شدن استخوان فک را نیز به دنبال خواهد داشت.
با توجه به پیشرفت های علم دندانپزشکی، دیگر کسی از تبعات از دست رفتن دندان ها رنج نخواهد برد.آنچه در ذیل آمده، درمان های انتخابی جهت برطرف ساختن تبعات از دست رفتن دندان ها می شود.
بریج: بریج به دندان های کنار فضای بی دندانی متصل می شود. بسته به شرایط دهان و دندان شما، نیازمندی های شما و صلاحدید دندانپزشک، بریج می تواند ثابت یا متحرک باشد.
دنچر(دست دندان): اگر تعداد زیادی از دندان های شما از دست رفته باشد، مورد استفاده قرار می گیرد.
ایمپلنت: ایمپلنت ها بیش از سایر درمان های جایگزین کننده دندان از دست رفته، به دندان طبیعی شما شباهت دارد.
با دندانپزشک در مورد اینکه چه درمانی برای شما مناسب است، صحبت کنید.