به گزارش سرویس سلامت ساعدنیوز، عفونت ریشه دندان زمانی اتفاق می افتد که ریشه یعنی قسمت پایین دندان عفونی و پر از باکتری شده باشد، همواره توصیه می شود که چنانچه در دندان هایتان مشکلی احساس کردید برای رفع مشکل سریعاً به دندانپزشکی مراجعه کنید، اگر این مشکل یعنی عفونت دندان را به موقع درمان نکنید، عفونت و باکتری ها به اعصاب و بافت مغز داخلی دندان تان آسیب می رسانند، بنابراین بهتر است تا مشکل دندان تان جدی نشده به یک دندانپزشک خوب مراجعه کنید.
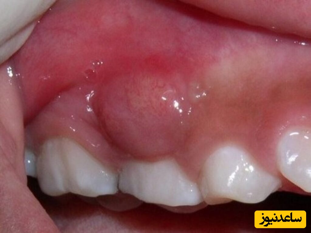
عفونت های دندانی می توانند عوامل مختلفی مانند ترک عمیق دندان، کرم خوردگی یا شکستگی دندان داشته باشند، عفونت های بسیار شدید ریشه دندان باعث ایجاد آبسه دردناک در دندان می شود، معمولاً آبسه های دندانی زمانی رخ می دهند که عفونت در ریشه دندان تا حد بسیاری افزایش یافته باشد، این مشکل یعنی عفونت در آبسه دندان به شکل ورم در لثه و صورت فرد ظاهر می شود.
ممکن است در ذهن بسیاری از افراد این سوال باشد که با دندان پوسیده چه کنیم؟ بهترین روش برای درمان دندان پوسیده چیست؟ راه حل و درمان قطعی عفونت ریشه دندان درمان کانال ریشه و عصب کشی دندان می باشد، بنابر این بهتر است نسبت به درمان عفونت دندان تان به موقع اقدام کنید تا دچار مشکلاتی که در بالا ذکر شد نشوید.
عفونت دندان مشکلی است که در ایجاد شدن آن عوامل مختلفی دخیل می باشند، ابتدا باید علت اصلی عفونت و چرک دندان مشخص شود تا زمانی که دلیل ایجاد عفونت مشخص نشده است بهتر است که هیچ درمانی انجام نشود؛ پس از مشخص شدن آن میتوان درمان مناسب متناسب با عفونت را تجویز کرد. عواملی مانند بهداشت ضعیف دهان و دندان، پوسیدگی دندان، مصرف دخانیان، مصرف الکل و بیماری های زمینه ای ممکن است سبب چرک دندان و عفونت لثه شوند که در اثر عدم درمان به موقع عفونت عوارضی مانند آبسه، کیست دندان، پوسیدگی دندان، عفونت و در نهایت به لقی دندان منجبر می شود. اولین چیزی که پس از مراجعه به دندان پزشک و بررسی و معاینه دندان توصیه می شود، استفاده از قرص های چرک خشک کن می باشد.
می توانید جهت انجام معاینه برای جلوگیری عفونت و چرک دندان به بهترین متخصص ایمپلنت دکتر آریام مراجعه کنید.
ایجاد درد
بوی بد دهان
ورم و قرمزی لثه
حساس شدن دندان ها به سردی و گرمی
خونریزی لث
برای درمان پریودنتیت لازم است که بهداشت دهان و دندان را با دقت رعایت کنید. همچنین باید سیگار را ترک کنید و بیماری دیابت خود را نیز کنترل کنید. سایر اقداماتی که برای درمان بیماری های لثه در نظر گرفته می شود، شامل تمیز کردن و جرم گیری عمیق دندان ها، مصرف داروهای آنتی بیوتیک و عمل جراحی می باشد.

برای تمیز کردن عمقی دندان ها بدون انجام عمل جراحی، می توان از روش های متعددی استفاده کرد. تمامی این روش ها با حذف پلاک و تارتار، از ایجاد پریودنتیت جلوگیری می کنند.
اسکیلینگ که تارتارها را از قسمت های بالا و پایین خط لثه حذف می کند.
جرم گیری عمیق که لکه های سخت و خشن روی دندان را حذف می کند و قسمت های عفونی شده دندان را برمی دارد.
لیزر که لکه های تارتار را حذف می کند و در مقایسه با اسکیلینگ و جرم گیری، با درد و خونریزی کمتری همراه است.
برای درمان بیماری های لثه می توان از داروهای مختلفی استفاده کرد:
دهان شویه آنتی بیوتیک که حاوی کلورکسیدین است و می توان از آن برای ضدعفونی کردن دهان استفاده کرد.
چیپ های آزادکننده مواد آنتی سپتیک (ضدعفونی کننده) که حاوی ماده کلورکسیدین است و می توان آن را بعد از جرم گیری در داخل پاکت ها قرار داد.
میکروسفرهای آنتی بیوتیک که از داروی ماینوسیکلین ساخته شده اند و می توان آن ها را بعد از جرم گیری و اسکیلینگ، در داخل پاکت ها قرار داد.
آنتی بیوتیک های خوراکی که می توان از آن برای درمان مناطقی از لثه که دچار عفونت مداوم شده است، استفاده کرد.
دوکسی سیکلین که یک داروی آنتی بیوتیک است و به جلوگیری از آسیب دیدن دندان به خاطر اثر آنزیم ها کمک می کند.
جراحی فلپ یک عمل جراحی است که طی آن پلاک ها برداشته می شود و لثه ها کشیده شده و به جای خود بازگردانده می شود. سپس لثه ها در جای خود بخیه می شود تا اطراف دندان را به طور کامل و دنج بپوشاند.
پیوند استخوان و بافت هنگامی استفاده می شود که آسیب دیدگی دندان ها و فک به قدری شدید باشد که امکان بهبودی دوباره آن وجود نداشته باشد.