دیاستما
دیاستما (Diastema) به شکاف یا فضای باز بین دندان ها اشاره دارد. این فاصله ها می توانند در هر جای دهان شکل بگیرند. اما گاهی اوقات بین دو دندان جلو در فک فوقانی قابل مشاهده هستند. این وضعیت هم بزرگسالان و هم کودکان را تحت تأثیر قرار می دهد. در کودکان، وجود فاصله بین دندان ها ممکن است به محض در آمدن و رشد دندان های دائمی آنها از بین برود.
اگر فاصله بین دندان ها بیش ازحد زیاد باشد می تواند تراز دندان های شما را برهم بزند. این موضوع می تواند در دندان های شما اختلال ایجاد کرده و موجب بی نظمی دندان های شما و درد آن شود و یا جویدن غذا را با مشکل مواجه کند. اگر فکر می کنید فاصله موجود در دندان های جلویی شما باعث جذابیت بیشتر شما می شود، پس، از لبخند خود لذت ببرید و با مسواک زدن صحیح، نخ دندان کشیدن و مراجعه دوره ای به دندانپزشک از دندان های خود مراقبت کنید. اما اگر وجود این فاصله باعث نگرانی و اذیت شما شده است، دانستن علت ایجاد فاصله بین دندان ها به تعیین بهترین روش برای درمان آن کمک می کند.

علل ایجاد فاصله بین دندان ها
فاصله در دندان های کودکان
وجود شکاف در بین دندان های کودکان می تواند کاملا طبیعی باشد، چراکه دهان درحال توسعه دندان های شیری می باشد. به طورمعمول، این شکاف ها در زمان "بلوغ" از بین خواهند رفت و فضای بین دندان ها پر خواهد شد. وجود فاصله در دندان های کودکان، نباید موجب نگرانی پد و مادر گردد، چراکه موضوع وجود فاصله های دندانی در کودکان و بزرگ سالان می تواند متفاوت باشد. چنانچه فاصله بین دندان ها پس از درآمدن دندان های دائمی بسته نشود و اقداماتی برای پیشگیری از ایجاد فاصله بین دندان ها انجام نگردد، دیگر به طور طبیعی از بین نخواهد رفت و تنها راه اصلاح آن این است که از روش های درمانی مخصوص رفع فاصله بین دندان بهره گرفته شود.
عوامل مختلفی می تواند بر روی فاصله دندان های کودکان تاثیر گذار باشد. این عوامل عبارتند از:
- عادت به مکیدن شست در کودکان که باعث می شود دندان های جلویی به سمت جلو کشیده شود.
- فشار آوردن با زبان به پشت دندان های جلویی
- فاصله زمانی طولانی بین افتادن دندان های شیری و رشد دندان های دائمی
فاصله در دندان های بزرگ سالان
فاصله بین دندان ها در بزرگ سالان "دیاستما" (diastema) نامیده می شود که ممکن است هر یک از دلایل ریز منجر به آن شود.
ناهمخوانی طول قوس فک با دندان ها
این حالت می تواند در اثر شرایطی چون افتادن دندان، کوچک بودن دندان ها، بزرگ بودن اندازه ی فک و کشیدن دندان که موجب رانده شدن دندان های مجاور می گردد، پدید آید. به طور معمول، وجود این فاصله باعث نگرانی نمی شود، بااین حال بهتر است رفع فاصله بین دندان ها توسط یک دندان پزشک معاینه شوند تا اثر آن ها بر جویدن غذا مورد ارزیابی قرار بگیرد.
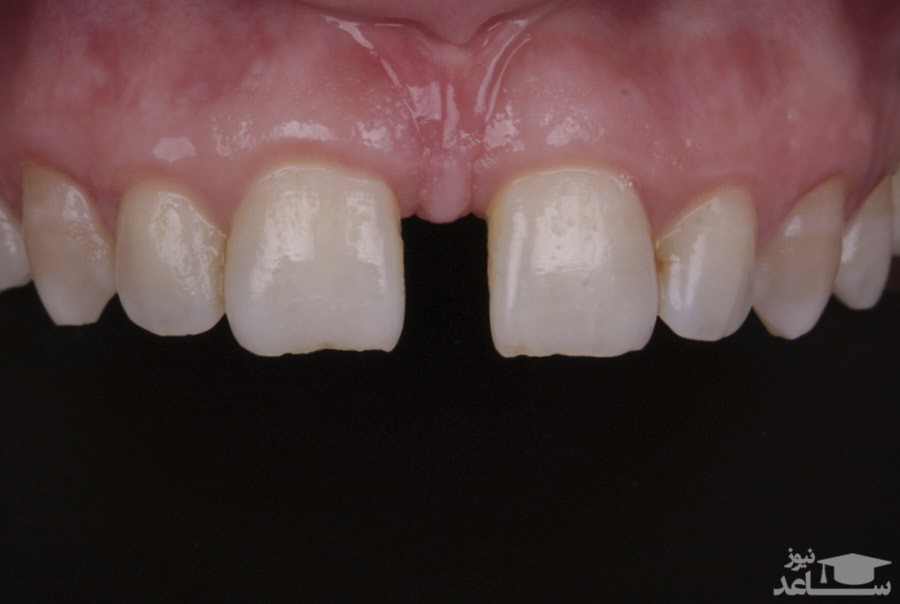
فرنوم بین دندان ها
فرنوم یک بافت ضخیم و گوشتی است که در قسمت جلویی دهان وجود دارد و بر روی لثه های طرف بالا و پایین مشاهده می شود. این بافت می تواند منجر به ایجاد فاصله میان خط میانی دندان ها شود. در این حالت به علت وجود بافت پیوندی قرار گرفته در میان دو دندان جلویی از نزدیک شدن آنها به همدیگر جلوگیری می شود.
عادت های رفتاری غلط
گاهی شکاف بین دندان ها در اثر الگوهای رفتاری نامناسب ایجاد می شود. برای مثال، وقتی یک فاصله کوچکی در دندان های جلو وجود دارد، برخی از افراد زبان خود را به دندان های جلو فشار می دهند که این امر می تواند فاصله موجود را زیادتر کند. اگر زبان خود را محکم در برابر دندان های جلوی خود فشار بدهید، می تواند مشکل شما را بدتر کند و فضای بین دندان های شما را گسترش دهد.
عوامل جدی تر
در برخی از موارد نادر اما جدی، ممکن است فاصله دندان ها در اثر عوامل جدی تری پدید آمده باشد، در چنین شرایطی باید سریعاً توسط دندان پزشک تشخیص و تحت درمان از بین بردن فاصله دندان قرار گیرد.
- بروز تومور در دهان و یا استخوان های فک می تواند میان دندان ها فاصله ایجاد کند. اگر شما متوجه هرگونه رشد غیرطبیعی در دهان خود شدید، بلافاصله به دندان پزشک خود مراجعه نمایید.
- بسیار شایع تر از تومورها، بیماری های لثه هستند که می توانند باعث ایجاد فاصله در بین دندان ها شوند. بیماری های لثه می توانند باعث تحلیل و تضعیف استخوان فک شوند. در اثر ضعیف شدن استخوان فک، ممکن است موقعیت دندان ها تغییر کند. این بیماری نیز باید توسط یک دندان پزشک درمان شود.

درمان دیاستما
بسته به نوع و علت اصلی ایجاد فاصله و گپ بین دندان ها، درمان این مشکل می تواند ضروری باشد و یا نیازی به درمان وجود نداشته باشد. در بسیاری از افراد دیاستما تنها یک مشکل و دغدغه زیبایی تلقی می شود و نشان دهنده مشکل خاصی مثل عفونت لثه ها نیست.
استفاده از بریس ارتودنسی یک روش متداول و معمول برای درمان و اصلاح دیاستما است. بریس ها دارای سیم و براکت هایی هستند که به دندان فشار می آورند تا به آرامی آنها را به هم برسانند و فاصله بین دندان ها را ببندند. انواع مختلف بریس ها میتوانند این مشکل را به راحتی حل کنند. اگر نمی خواهید و تمایلی به استفاده از بریس ارتودنسی ندارید میتوانید با متخصص ارتودنسی خود در رابطه با گزینه های درمانی دیگری برای پر کردن فاصله بین دندان ها صحبت کنید.
لمینت ها یا استفاده از باندینگ دندان میتواند گزینه های دیگری بجز بریس باشند که به بستن فاصله و دیاستما کمک کنند. در این روش ها از کامپوزیت هایی به رنگ دندان استفاده می شود که می تواند شکاف ها را پر کرده یا روی دندان ها قرار بگیرد تا ظاهر لبخند شما بهبود یابد. این روش همچنین برای پوشاندن تغییر رنگ دائمی دندان و یا ترک خوردن مینای دندان بسیار مفید است. اگر یکی از دندان های خود را از دست داده اید میتوانید از یک بریج دندانپزشکی استفاده کنید تا فضاهای خالی بین دندان ها را پر کنید.
اگر بافت لثه های فوقانی و جلویی شما بیش از حد رشد کرده باشد و باعث به وجود آمدن گپ بین دندان های جلویی شما شده باشد، دندانپزشک با از بین بردن بافت اضافی به ترمیم دیاستما کمک خواهد کرد. برای بستن کامل شکاف ها و فواصل بزرگ ممکن است به بریس نیاز داشته باشید. اگر دندانپزشک تشخیص دهد علت اصلی ایجاد گپ بین دندان ها و یا لق شدن آنها عفونت لثه ها است، شما باید قبل از اینکه به فکر بستن گپ باشید به درمان عفونت لثه ها بپردازید.
شیوه های درمان بیماری لثه متفاوت است. اما ممکن است شامل از بین بردن پلاک و تارتار در فضای بین دندان ها و لثه ها باشد. بیماری جدی و شدید لثه یا پریودنتیت ممکن است برای درمان نیاز به انجام عمل جراحی داشته باشد. انجام عمل جراحی همچنین می تواند به بازسازی بافت لثه و یا بخش آسیب دیده استخوان فک کمک کند.












































