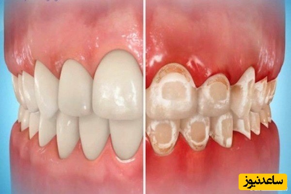
به گزارش سرویس سلامت ساعدنیوز، لکه های دندان به تغییر رنگ دندان ها در نتیجه شرایط مختلف اشاره دارند که در عمل می توانند سطح خارجی یا داخلی دندان ها را تحت تاثیر قرار داده و تغییر در رنگ طبیعی دندان ها را به همراه داشته باشد. امروزه لک شدن دندان ها به عنوان زرد شدن دندان ها نیز در بین افراد شناخته می شود. لکه های دندان زمانی ایجاد می شوند که عوامل ایجاد کننده آن ها به سطح دندان چسبیده، یا به داخل دندان نفوذ کرده و در مینای دندان جمع گردند. در اکثر مواقع لکه های دندان به رنگ های زرد، قهوه ای، سفید، سبز، و خاکستری مشاهده می شود. توجه داشته باشید رنگ لکه های ایجاد شده بر روی دندان عمدتاً تحت تاثیر عامل ایجاد لک می باشد.
در اینجا به برخی از دلایل ایجاد لکه های سفید روی دندان ها اشاره می شود:
وقتی دهان شما خشک می شود، مقدار کافی بزاق برای حفظ سطح PH برای خنثی نگه داشتن محیط دهان وجود ندارد. وقتی که PH دهان در سطح مطلوب خود نیست، باکتری ها در دهان رشد کرده و زنده می مانند تا به با اسیدشان به دندان های شما حمله کنند.
غذاهایی که حاوی مقادیر زیادی اسید هستند مانند ترشیجات و غذاهایی که با لیموترش و سرکه تهیه می شوند می توانند باعث ایجاد لکه های سفید روی دندان شوند. مقادیر زیاد اسید موجود در این غذاها و نوشیدنی ها باعث از بین رفتن مینا و مواد معدنی دیگر روی دندان شده و در نهایت منجر به ایجاد لکه های سفید روی دندان می شود.
اگر شما در حفظ تمیزی دهان خود به اندازه کافی مراقب نباشید، پلاک ها روی دندان شما جمع می شوند. پلاک ها لایه های نازک، چسبنده و بدون رنگ از باکتری ها و باقی مانده غذاهای حاوی کربوهیدرات ها مانند شکر و نشاسته که خورده اید هستند. این باکتری ها از شکر تغذیه کرده و اسیدی تولید می کنند که باعث آسیب به مینای دندان، ایجاد لکه های سفید و در نهایت پوسیدگی دندان می شود.
در حالی که فلوراید یک ماده معدنی ضروری برای حفظ سلامت دندان ها است، اما فلوراید اضافی می تواند باعث ایجاد لکه های سفید روی دندان و پوسیدگی دندان شود. وقتی که شما مقادیر زیادی فلوراید مصرف می کنید دندان های شما مستعد ابتلا به لکه های سفید می شوند. در برخی موارد آب آشامیدنی در منطقه محل زندگی شما حاوی سطح بالایی از فلوراید است. فلوئوروزیس یکی از دلایل اصلی به وجود آمدن لکه های سفید روی دندان ها است به خصوص در کودکانی که دندان های آنها در حال رشد است.
مقدار مناسب فلوراید از پوسیدگی دندان کودکان و بزرگسالان جلوگیری و آن را کنترل می کند. فلوراید هم در زمان رشد دندان ها و هم پس از درآمدن دندان ها مفید است. مصرف فلوراید در زمان رشد دندان تغییرهای واضحی را در سطح مینای دندان ایجاد می کند که از آنها با دانش واژه پوششی فلوروسیس دندانی یاد می شود.
فلوروسیس نوعی لکه دائمی است که در اثر قرار گرفتن در معرض مقدار زیادی از فلوراید در زمان شکل گیری مینای دندان ایجاد می شود. مصرف مقدار زیاد فلوراید به اختلال در شکل گیری عادی مواد معدنی دندان منجر می شود. نتیجه نهایی ایجاد ناحیه های با کمبود مواد معدنی و خلل و فرج بیش از حد است.
نوار دندان سفیدکننده از موادی مثل پلاستیک ساخته می شوند. این نوارها حاوی ماده ای ژله ای بوده که به دندان می چسبد. این نوارها به شدت اسیدی هستند و باعث دی مینرالیزه شدن مینا و ایجاد لکه های سفید روی دندان می شوند.
اگر شما در زمانی که از بریس استفاده می کنید رعایت نکات بهداشتی را در مراقبت از دهان و دندان خود نکنید، لکه های سفید روی دندان های شما شکل خواهند گرفت. این بدان علت است که پلاک ها در محل هایی در زیر بریس ها که دسترسی برای مسواک زدن به آنها دشوار است جمع می شوند.
بیماری سلیاک یک بیماری خودایمنی است که باعث کوتاه شدن عمر فرد مبتلا می شود. بیماری سلیاک به شدت با تخریب مینای دندان ارتباط دارد. این بیماری علاوه بر ایجاد لکه های سفید روی دندان باعث کوچک شدن، زرد شدن یا ایجاد شکاف و حفره روی دندان ها می شود.
علاوه بر دلایل فوق الذکر مسائل ژنتیکی نیز ممکن است باعث ایجاد لکه های سفید روی دندان ها شود.

قبل از هر گونه اقدام برای پاک کردن لکه های ایجادشده بر روی دندان ها، لازم است ابتدا با دندان پزشک در این رابطه ملاقات شود. در حقیقت دندان پزشکان بهترین روش های درمان را با توجه به سابقه درمان و علت ایجاد لکه های روی آن برای بیمار تجویز می کنند. به این ترتیب دندان پزشکان معمولاً از روش های درمان زیر جهت رفع لکه های دندان برای افراد استفاده می کنند.
روکش ونیر: این روکش می تواند سطح دندان را بپوشاند. با وجودی که روکش ونیر یک درمان گران است، اما از طریق آن می توان یک طرح لبخند جدید و زیبا برای فرد ایجاد کرده و لکه های دندان و نیز تراشیدگی ها و ترک خوردگی های آن را پنهان کرد.
سفیدکردن دندان: تا کنون سفیدکردن دندان یکی از انعطاف پذیرترین و مقرون به صرفه ترین روش ها برای از بین بردن لکه های دندان است. امروزه افراد می توانند از روش های مختلف همچون لیزردرمانی، کیت های سفید کننده قابل تهیه از داروخانه ها بدون نیاز به نسخه دندان پزشک، یا حتی خمیردندان های مخصوص استفاده کنند. برخلاف روش های دیگر، لکه های ذاتی دندان را می توان از طریق این روش برطرف کرد، اما معمولاً این کار به مدت طولانی تر و روش های تهاجمی تر نیاز دارد.
جرم گیری و صیقل زدن: جرم گیری دندان فرآیندی است که از طریق آن دندان پزشک جرم و پلاک ایجاد شده بر روی دندان ها را پاک می کند. پلاک محل تجمع باکتری ها در دهان است و با گذشت زمان فعالیت این باکتری ها باعث از بین رفتن مینای دندان و لک شدن آن ها می شود. به هر حال این فرآیند نیازمند استفاده از ابزارهای مخصوص دندانپزشکی است. علاوه بر این، باقی ماندن پلاک ها و جرم ها بر روی دندان ها می تواند باعث ابتلای فرد به بیماری لثه و تحلیل و عقب رفتگی لثه ها شود.

بهترین فعالیت های لازم برای اجتناب از لک شدن دندان ها پیشگیری از ایجاد آن ها است که انجام این کار با در نظر گرفتن شرایط زیر امکان پذیر است.
بهترین اقدامات لازم برای پیشگیری از لک شدن دندان ها رعایت منظم و صحیح عادت های مربوط به مسواک زدن و نخ دندان کشیدن است.
برای بهبود شرایط بهداشت دهان لازم است مقدار مصرف سبزیجات غنی از فیبر و میوه ها در رژیم غذایی افزایش پیدا کند. مصرف این مواد غذایی می تواند باعث افزایش ترشح بزاق در دهان شده و از فرآیند از بین رفتن مینای دندان در نتیجه پوسیدگی در مراحل اولیه آن جلوگیری نماید.
ترک سیگار به منظور اجتناب از آسیب های احتمالی ناشی از آن بر روی دندان ها و لثه ها یکی از اقدامات مهم برای پیشگیری از لک شدن دندان ها است. در حقیقت افراد سیگاری به طور معمول در معرض ریسک بالاتر ابتلا به بیماری های لثه قرار دارند.
ملاقات منظم با دندان پزشک برای معاینات مناسب دندان ها و جرم گیری آن ها لازم است حداقل دو بار در هر سال انجام شود. به این ترتیب می توان مشکلات ایجاد شده برای دندان ها را در مراحل اولیه آن ها شناسایی و درمان کرد.
مصرف مقدار زیاد آب می تواند به پاک شدن دندان ها و رفع باکتری های مضر ایجاد شده بر روی آن ها کمک کند. به این ترتیب احتمالاً از ایجاد لکه های دندان پیشگیری خواهد شد.
درمان های خانگی برای رفع لکه سیاه روی دندان و لکه های سفید روی دندان ها اساساً بر ریمینرالیزه (تبدیل مواد آلی یا ارگانیک به معدنی) کردن متمرکز هستند. دندانپزشکان ما بر این باورند که با افزایش مسواک زدن و کشیدن نخ دندان، لکه های سفید به مرور زمان محو می شوند.
از پوردهای ریمینرالیزه کننده خانگی استفاده کنید.
از اسید فیتیک برای ریمینرالیزه کردن دندان ها استفاده کنید.
برای ریمینارلیزه کردن دندان های از غذاهای حاوی ویتامین مواد معدنی استفاده کنید.
مقادیر کافی از ویتامین D مصرف کنید.
برای شستن دندان ها از چای سبز استفاده کنید.
از گرداندن روغن در دهان برای ریمینرالیزه کردن دندان ها استفاده کنید.