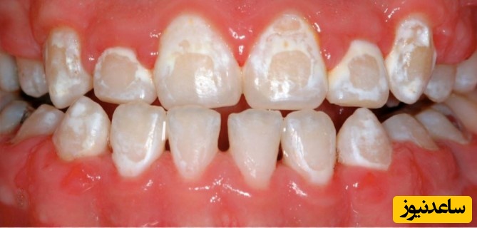
به گزارش سرویس سلامت ساعدنیوز، لکه های سفید دندان نشان دهنده اولین مرحله پوسیدگی و ایجاد کرم خوردگی دندان است. لکه های سفید نواحی هستند که دندان مواد معدنی خود را از دست داده است و مقاومت ندارد. زمانی این لکه های تشکیل می شود که دندان در معرض اسید حل شده و مواد معدنی آن جدا شده اند. حمله اسیدی به دندان باعث ایجاد هزاران سوراخ ریز در مینای دندان می شود. این سوراخ ها ظاهر سفید رنگ گچی دارند که آنها را به عنوان لکه های سفید می شناسیم.
لازم به ذکر است که لکه های سفید دندان با مسواک زدن و نخ دندان کشیدن درست، 100% قابل پیشگیری هستند. 10 تا 20% از کودکان در دوره ارتودنسی دچار لکه های سفید دندان می شوند.
علت ایجاد لکه های سفید در دندان ضعف در رعایت بهداشت دهان است. پاک کردن پلاک ها از سطح دندان اهمیت زیادی دارد چرا که باکتری های موجود در پلاک، اسید تولید می کنند و این اسید مینای دندان را حل کرده و از بین می برد. افرادی که براکت ارتودنسی دارند بیشتر در معرض این وضعیت قرار دارند اما در حالت عادی نیز در صورتی که به درستی دندان های خود را مرتباً مسواک نزنید این لکه های سفید ایجاد می شود.
اگرچه اهمیت مسواک زدن در پیشگیری از لک دندان در ارتودنسی را نباید نادیده گرفته شود، استفاده منظم و روتین از نخ دندان و دهانشویه نیز به همان اندازه حیاتی است. این دو می توانند به تمامی نقاطی که مسواک به سختی می تواند به آن مناطق دسترسی پیدا کند، نفوذ کنند و از این طریق احتمال لکه دار شدن این نواحی دور از دسترس را کاهش دهند. دهانشویه جرم هایی که می توانند به مدت طولانی بر روی دندان ها باقی بمانند و باعث ایجاد لکه بشوند را از بین می برد. با استفاده از نخ دندان هایی که مخصوص استفاده با بریس هستند دیگر هیچ بهانه ای وجود ندارد که شما این کار را به عنوان بخشی از کارهای روزانه خود قرار ندهید.
علی رغم اینکه کنار گذاشتن برخی غذاهای مورد علاقه شما می تواند کار دشواری باشد، اما شما باید از این مسئله آگاه باشید و بیشترین تلاش خود را انجام دهید تا از مصرف غذاهایی که باعث ایجاد لکه می شوند، خودداری کنید. این غذاها عبارتند از، قهوه، سودا و هر غذای رنگی دیگری. دیگر غذاهایی که مشکلات کمتری را ایجاد می کنند غذاهای حاوی گوجه فرنگی یا رب گوجه فرنگی و خردل می باشند. رنگ قرمز و رنگ زرد این غذاها به خوبی با براکت های سرامیکی انطباق پیدا نمی کنند و می تواند به سادگی باعث لکه دار شدن دندان ها و براکت ها شوند.

این محصول در اکثر داروخانه ها بدون نیاز به نسخه پزشک موجود است. ژل سفیدکننده را با قلم موی مخصوص آن روی دندان ها بمالید، حدودا بعد از 30 دقیقه سفت می شود.
برای پاک کردن ژل، به راحتی دندان ها را مسواک بزنید.
اگر دندان های شما ارتودنسی شده، احتمالا استفاده از ژل اطراف براکت ها و سیم های آن سخت تر است.
این ژل حاوی مقدار هیدروژن پراکسید کمتری نسبت به مواد مورد استفاده در مطب دندان پزشکی است.
ژل های سفیدکننده دندان در مقایسه با روش استفاده از تری تاثیر یکسانی ندارند. نتایج از فردی تا فرد دیگر متفاوت هستند.
قبل از مسواک زدن دهانتان را با آب شستشو دهید تا ذرات غذا که بین سیم های ارتودنسی گیر کرده اند، راحت تر جدا شوند. شما می توانید از مسواک اینترپروکسیمال، که طوری طراحی شده تا زیر سیم های ارتودنسی هم نفوذ کند، برای برطرف کردن پلاک و ذرات غذا از دندان ها استفاده کنید.
حداقل دو دقیقه مسواک بزنید، دقت کنید که دندان ها و پایین و بالای براکت ها را کامل مسواک بزنید. مسواک زدن را از مرز بین دندان و لثه آغاز کنید، مسواک را با زاویه 45 درجه نگه دارید و حرکات دایره ای کوچک در طول حاشیه بین لثه و دندان ها انجام دهید. سپس مسواک را با زاویه رو به پایین روی قسمت بالایی براکت ها حرکت دهید و آن ها را تمیز کنید.
مسواک را روی قسمت بالایی براکت ها با زاویه ای به سمت بالا نگه دارید و آن را بصورت چرخشی با دامنه کم حرکت دهید. با آب، دهانتان را شستشو دهید تا خمیردندان از روی دندان ها به خوبی تمیز شود. سپس دهان را با دهانشویه ای که حاوی مواد سفیدکننده نباشد بشویید (گرچه می تواند حاوی فلوراید یا کلرهگزیدین باشد).
با بررسی ظاهر بریس، از تمیز شدن دهان و سیم کشی دندان اطمینان حاصل کنید (در صورتی که ظاهرشان درخشان باشد)، کدر بودن قسمت فلزی بریس به معنای وجود غذا و/یا باکتری روی دندان و بریس است.