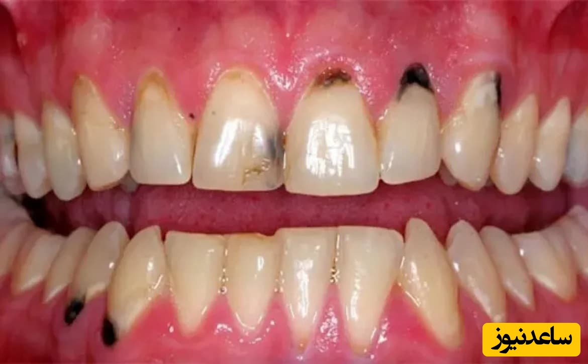
رنگ سیاه دندان می تواند نشانه ای از یک بیماری خاص مربوط به دندان ها باشد که احتمالا شما از آن بی خبر هستید. در بیشتر موارد دندان های سیاه رنگ به پوسیدگی و حفره های زیرین اشاره دارند که باید در اسرع وقت آن ها را درمان کرد. در مورد کودکان این تغییر رنگ دندان معمولا بخاطر مصرف قطره های مکمل آهن می باشد. برای درمان سیاه شدن دندان بزرگسالان شما باید علت آن را کشف کنید تا بتوانید از مشکلات جدی تر جلوگیری نمایید. دندانها به طور طبیعی دارای طیف رنگی سفید یا زرد و خاکستری متمایل به سفید هستند. معمولا رنگ سفید دندان ها به میزان کلسیم موجود در لایه ی بیرونی دندان که مینای دندان نامیده می شود، بستگی دارد. کلسیم یک ماده ی طبیعی است که دندان ها رنگ خود را از آن می گیرند. اما با این حال شما می توانید ترکیبی از مواد دیگر در دندان های تان داشته باشید که به آن ها سایه ی رنگی زرد یا خاکستری دهند. در زیر لایه ی بیرونی که گفتیم مینای دندان نامیده می شود، دنتین قرار دارد که به رنگ زرد است. معمولا با گذشت زمان مینای دندان نازکتر شده و زردی دنتین بیشتر ظاهر می شود و دندان ها زرد بنظر می رسند. همینطور مینای دندان می تواند بخاطر مواد غذایی و نوشیدنی هایی که مصرف می کنید نیز تغییر رنگ دهد. اما سیاه شدن رنگ دندان اصلا طبیعی نیست و شما باید در اسرع وقت به دندانپزشک مراجعه کنید.
عوامل داخلی
این عوامل از داخل دندان کار خود را شروع می کنند و تا سطح بیرونی دندان پیش می روند. این اتفاق می تواند باعث تخریب و آسیب دندان شود. شایع ترین علت سیاه شدن دندان ها بخاطر پوسیدگی و حفره است. برای مثال عفونت پالپ یا همان مغز دندان می تواند باعث سیاه شدن دندان ها شود. معمولا رنگ سیاه دندان اولین بار به شکل نقطه نقطه ظاهر می شود و در نهایت کل مینای دندان به رنگ سیاه درمی آورد. در مورد عوامل داخلی شما باید حتما به دندانپزشک مراجعه کنید.

علل بیرونی سیاه شدن دندان
هنگامی دندان از داخل دچار آسیب می شود، ممکن است سیاه شود. شایعترین عوامل سیاه شدن دندان در این مورد عبارتند از فرسایش یا ایجاد حفره. به عنوان مثال التهاب مغز دندان یا دندان مرده ممکن است یک یا چند دندان را دچار سیاه شدگی کنند. خسارت در داخل شروع می شود و راه خود را به سطح باز می کند. سیاه شدن دندان ممکن است برای اولین بار به شکل نقاط پراکنده ظاهر شود و در صورت درمان نشدن، کل دندان را به طور کامل بپوشاند.
علائم سیاه شدن دندان ها چیست؟
همانطور که اشاره کردیم سیاه شدن دندان به یکباره اتفاق نمی افتند و فرد قبل از آن علائم دیگری را مشاهده می کند. سیاه شدن دندان ممکن است در ابتدا بصورت نقاطی به رنگ قهوه ای یا خاکستری روی دندان ظاهر شود و با گذشت زمان این نقاط به رنگ سیاه تبدیل می شوند. در برخی افراد درست در بالاترین قسمت دندان زیر خط لثه نقاط بسیار ریزی ظاهر می شود. این شایع ترین علامت سیاه شدن دندان ها است. در مورد تارتار نیز معمولا آنها در جلوی دندان های پایینی تشکیل شده و به مرور باعث تغییر رنگ دندان می شوند. همینطور دندان های سیاه رنگ ممکن است سوراخ هایی را در جاهایی که مینای دندان آسیب دیده اند، ایجاد کنند.
چگونه لکه های سیاه دندان را کنترل کنیم؟
افرادی که دچار مشکل سیاه شدن دندان ها شده اند باید یک سری موارد را رعایت کنند. به عنوان مثال باید مطمئن شوند که بعد از خوردن هر چیزی، دندان ها و لثه هایشان را بر اساس توصیه های بهداشتی، پاکیزه نگه دارند. همچنین ممکن است نیاز باشد که مصرف موارد زیر را کاهش و یا به طور کامل قطع کنند:
- قهوه
- نوشابه (کولا)
- چای سیاه
- شراب قرمز
- محصولات حاوی تنباکو

درمان و پیشگیری از سیاه شدن دندان ها
درمان سیاه شدگی دندان ها معمولا در خانه امکان پذیر نیست. البته محصولات تجاری مختلفی برای سفید کردن دندان ها در دسترس است که ممکن است منجر به تغییر رنگ خفیفی شوند و مقداری کمک کنند، اما سیاه شدن دندان ها معمولا نیاز به درمان حرفه ای دارند.











































