به گزارش سرویس سلامت ساعدنیوز، علاوه بر پاتوژن های خون (BBPs)، ویروس نقص ایمنی بدن انسان (HIV) و ویروس های هپاتیت B و C، دیگر ویروس های نگران کننده ی موجود در کلینیک دندانپزشکی شامل سرخچه، سرخک، ویروس های اوریون، ویروس تبخال (ویروس تبخال ساده [HSV] نوع 1 و 2، ویروس آبله مرغان، ویروس اپشتاین بار (EBV)، ویروس یاخته آماس و ویروس تبخال انسانی 6)، ویروس های ورم پوستی انسانی، آدنویروس، ویروس کوکساکی و پاتوژن های دستگاه تنفسی فوقانی (ویروس آنفولانزای A و B، پاروویروس انسان B19 و ویروس یاخته تنفسی) می باشند. بسیاری از این ویروس ها نسبت به BBPs شایع تر هستند و برای زنان باردار و بیمارانی که سیستم ایمنی ضعیفی دارند نگران کننده هستند. ایمن سازی کارکنان بهداشتی اکیدا توصیه می شود چرا که خطر ابتلا به سرخک، اوریون، سرخچه، آنفلوانزا، آبله مرغان و HBV را کاهش می دهد. واکسن آبله مرغان به شدت برای کارکنان مراقبت بهداشتی که کودکان و بیماران مبتلا به بیماری را درمان می کنند، توصیه می شود. شواهد انتقال ویروس بر اساس نتایج مطالعات سرولوژیکی، مطالعات اپیدمیولوژیک و گزارش موارد بدست می آید. مطالعات سرولوژیکی، نفوذ بالای پادتن به ویروس آنفولانزا A و B، ویروس سنسیتیال تنفسی و آدنوویروس را به دندانپزشکان نسبت به کنترل ها نشان داده است. ایمنی سالانه کارکنان دندانپزشکی در مقابل آنفلوانزا توصیه می شود تا پتانسیل انتقال ویروس به بیماران، همکاران و اعضای خانواده کاهش یابد.
ویروس تبخال باعث ایجاد عفونت های مداوم در اکثر افراد می شود و در بزاق پخش می شود. شواهدی وجود دارد که میزان بالاتری از پادتن EBV در دندانپزشکان و دانشجویان بالینی دندانپزشکی در مقایسه با دانشجویان دندانپزشکی پیش بالینی وجود دارد. همچنین شواهدی وجود دارد که نشان می دهد ویروس HSV از بیماران به کارکنان بهداشتی و از کارکنان دندانپزشکی به بیماران منتقل می شود. از 46 بیمار 20 نفر به گنگیواستوماتیت (بیماری مرتبط با التهاب لثه و دندان) HSV-1 مبتلا شدند، آنها تحت درمان یک متخصص بهداشت دهان و دندان بودند که مبتلا به ویروس تبخال در ناحیه انگشت بود و از دستکش استفاده نکرد. پتانسیل انتقال ویروس تبخال از طریق دستگیره های دندانی نیز نشان داده شده است. گزارش هایی از ابتلای حرفه ای HSV ، با استفاده از موانع محافظ شخصی، کمتر دیده شده است.

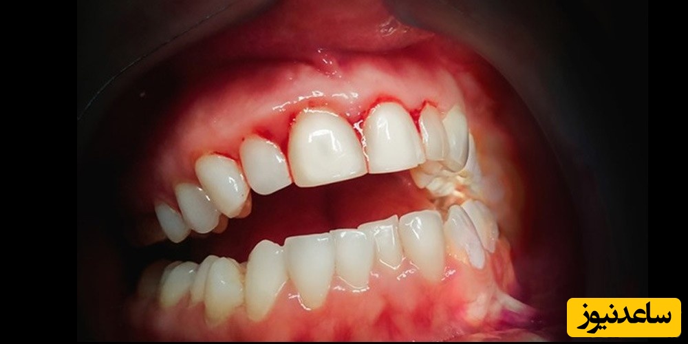
نگران کننده ترین ویروس های هپاتیت از نظر دندانپزشکان HBV، HCV و ویروس هپاتیت D خون هستند. HDV تنها می تواند به عنوان یک عفونت جانبی همراه با HBV رخ دهد و ایمن سازی HBV منجر به مصونیت HBV و HDV می شود. شواهدی وجود دارد که ویروس هپاتیت G می تواند با قرار گرفتن در معرض خون از راه پوست منتقل شود. با این حال، اهمیت بالینی HGV مشخص نیست. HBV و HCV در بزاق و خون وجود دارند و جزء دغدغه های اصلی کلینیک های دندانپزشکی هستند.
HBV بیشترین خطر را برای کارمندان غیرایمن دندانپزشکی دارد. به طور میانگین سالانه 6،800 نفر از کارکنان بهداشتی واکسینه نشده در ایالات متحده آلوده به HBV می شوند، از این تعداد، حدود 100 نفر به دلیل سیروز، سرطان کبد یا هپاتیت حاد می میرند. پیش از سال 1987، گزارشی از انتقال ویروس توسط 14 جراح و 9 دندانپزشک منتشر شد که یکی از جراحان دهان و دندان HBV را به 55 بیمار انتقال داده بود. احتمالا پس از افزایش ایمنی در مقابل HBV و استفاده از دستکش، هیچ گزارشی از انتقال ویروس HBV توسط متخصص دندانپزشک از سال 1987 وجود ندارد، اگرچه گزارشی مبنی بر کاهش انتقال HBV توسط جراحان وجود نداشته است. عفونت HBV یک عامل خطرناک مهم در میان بیماران در مولدووا بود که به علت کمبود کنترل عفونت ایجاد شد. این مسئله نتایج تحقیقات اخیر در مورد عوامل خطرناک عفونت HBV در 5800 نفر از کارکنان خدمات بهداشتی در ایتالیا و بیماران در بریتانیا را تایید کرد.

اطمینان از استریل بودن وسایل مورد استفاده، پوشیدن دستکش، استفاده از ماسک و عینک ضروری است استفاده از پوشش های یکبار مصرف برای مواردی مثل صفحه کلید یونیت، دستگاه رادیوگرافی، دسته چراغ یونیت و مانند آن لازم است. دستیار باید مراقب باشد این پوشش ها برای هر بیمار تعویض گردد. داشتن ظرف مخصوص وسایل استفاده شده تیز مثل سرسوزن، سوزن بخیه و تیغ های جراحی نیز از ملزومات هر مطب دندانپزشکی است. شستشوی سطوح مطب مثل کابینت های دندانپزشکی کف مطب و مانند آن و استفاده از مواد مناسب ضد عفونی کننده نیز جزء برنامه های مرتب و منظم هر کلینیک دندانپزشکی می باشد.
خیر، استرلیزاسیون وسایل به یک اندازه اهمیت ندارد و همانطوری که خود وسایل بسته به کاربرد شان دارای درجه اهمیت می باشند، به همان ترتیب طبقه بندی می شوند
برای پیشگیری و جلوگیری از انتقال ویروس توصیه می شود به محض ورود به دندانپزشکی دست های خود را بشویید. برای شستشوی صحیح دست ها نیاز به آب گرم و صابون و ترجیحا صابون مایع می باشد. مراحل زیر را به ترتیب طی کنید:
ابتدا دست ها را با آب گرم مرطوب کنید.
صابون مایع را به اندازه چند قطره کوچک بر روی دست ها بریزید.
کف دست ها را به طور دورانی بر روی هم بمالید.
کف دست راست را بر روی پشت دست چپ گذاشته و انگشت ها را در هم کنید. و دست ها را بخوبی بر روی یکدیگر بمالید. برای دست چپ نیز به همین روش عمل کنید.
همچنین کف دست ها را بر روی هم بگذارید و دوباره با انگشتان در هم آنها را به هم بمالید.
پشت انگشتان را هم با قفل کردن پنجه در هم بشویید.
شستشوی دورانی و گردشی کف دست و انگشت دست و دست مخالف.
حالا می توانید دست ها را با آب گرم آبکشی کنید.
با یک دستمال خشک رطوبت دست ها را بگیرید و با همان دستمال و بدون لمس سطوح دستشویی شیر آب را ببندید.
حالا می توانید با خیال راحت دستکش های خود را بپوشید.