به گزارش سرویس سلامت ساعدنیوز، ماده سفید یا کامپوزیت دندان و ماده سیاه یا آمالگام دو نوع ماده ترمیمی هستند که بیشتر از سایر مواد در دندانپزشکی، به کار می روند. برای پر کردن دندان در وهله اول دندانپزشک باید تصمیم بگیرد که از مواد سفید یا کامپوزیت استفاده شود و یا از مواد سیاه یا آمالگام. اما بهتر است که تفاوت های ماده سیاه و سفید برای پر کردن دندان ها مشخص شود، که بعد از اعلام طرح درمان از سوی دندانپزشک بیمار بتواند درک بهتری از درمان خود داشته باشد.
آمالگام در فارسی معادل کلمه ملغمه است که به معنای مخلوطی از چند فلز می باشد. معمولا پنجاه درصد از وزن آمالگام دندانی را، عنصر جیوه و باقی آن را ترکیبی از فلزات نقره، مس و قلع تشکیل می دهد. این فلزات با هم مخلوط شده و ترکیب پایداری را تشکیل می دهند که دارای استحکام مناسبی جهت پر کردن حفرات دندانی می باشد. ترکیب به دست آمده دارای ویژگیهای جدید منحصر به فرد می باشد که متفاوت با تک تک عناصر تشکیل دهنده آن است. آمالگام با فرمول فعلی آن برای بیش از180 سال است که در دندانپزشکی مورد استفاده قرار گرفته است. با این حال، بیماران به خصوص در سالهای اخیر همواره این سوال را داشته اند که با توجه به سمی بودن فلز جیوه، آیا کاربرد آمالگام در ترمیم دندان ها میتواند برای انسان خطرناک باشد؟
در پاسخ باید گفت تحقیقات زیاد در این زمینه نشان داده اند که کاربرد آمالگام در بالغین، کودکان بالای شش سال و یا حتی مادران شیرده، هیچ ضرری را متوجه سلامت عمومی افراد در کوتاه مدت و یا دراز مدت نمی کند. این مطلب مورد تایید سازمان های معتبر بهداشتی نظیر سازمان غذا و دارو آمریکا (FDA) و جامعه دندانپزشکان آمریکا (ADA) نیز هست و آمالگام را به عنوان ماده ای بی خطر در دندانپزشکی مورد تایید قرار داده اند. جالب است که بدانید امروزه با توجه به آلودگی دریاها و اقیانوس ها، خطر جذب جیوه از بعضی از غذاهای دریایی مانند انواع ماهی ها، سلامت افراد را تهدید می کند و میزان جذب جیوه در بدن از طریق آمالگام در مقابل این غذاها بسیار ناچیز و قابل اغماض است.
بزرگترین مزیت آمالگام استحکام و پایداری آن برای مدت طولانی می باشد. به همین دلیل، دندانپزشکان برای پر کردن دندانهای آسیا (مولر)، پرکردگی های وسیع و یا افرادی که دارای دندان قروچه و سایش شدید دندان می باشند، تمایل بیشتری به ترمیم با آمالگام دارند. عمر متوسط پرکردگی با آمالگام حدود ده سال است، با این حال در مطالعات مختلف، موارد بسیاری از دوام پرکردگی دندان با آمالگام برای چندین دهه گزارش گردیده است. آمالگام به خوبی تمامی درزهای ریز بین خود و دیواره دندان را پر می کند (خاصیت مهر و موم کردن درزها) و به همین دلیل، جلوی نفوذ عوامل پوسیدگی زا و باکتریها را به بخشهای عمقی دندان می گیرد
مهم ترین عیب آمالگام، ظاهر و رنگ ناخوشایند آن برای بیماران است. بعضی از بیماران با وجود توصیه موکد دندانپزشک مبنی بر ترمیم دندان با آمالگام، صرفا به خاطر مسئله زیبایی، ترمیم با کامپوزیت را ترجیح می دهند. مسئله دیگر خاصیت رسانایی آمالگام به عنوان یک آلیاژ فلزی است که سرما و گرما را بهتر منتقل می کند. در نتیجه، برخی بیماران حساسیت بیشتری را در هنگام مصرف غذاها و نوشیدنی های سرد گزارش می کنند، که البته معمولا پس از مدتی (گاهاً یک تا دو ماه) این حساسیت برطرف یا محدود می گردد. همچنین ترمیم با آمالگام نیاز به تراشیدن حجم بیشتری از حفره دندانی برای آماده سازی دارد که در غیر این صورت باعث افزایش شکست درمان با این ماده میشود.

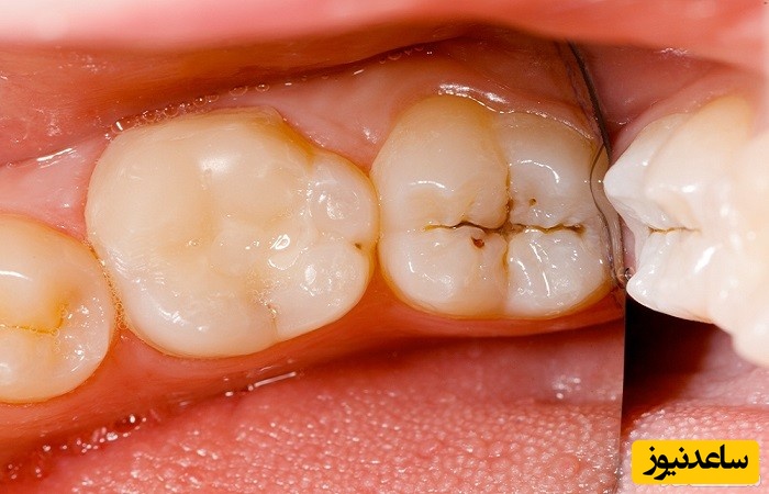
کامپوزیت دندانی، خمیری متشکل از مخلوط سرامیک و مواد پلاستیکی می باشد که برای پر کردن حفرات دندانی به کار می رود، و می تواند با رنگی بسیار شبیه رنگ دندان فرد، حفره دندانی را پر نماید. پس از قراردادن مواد حد واسط ویژه بر روی دندان، کامپوزیت درون حفره قرار داده شده و سپس توسط نور آبی ویژه ای سفت میشود.
مزیت اصلی کامپوزیتها بازسازی زیبایی دندان ها می باشد. دندانپزشک می تواند با ترکیب رنگها، رنگ مناسب دندان بیمار را یافته و به کار ببرد. برخلاف آمالگام، کامپوزیت مانند چسب به دندان میچسبد و در نتیجه دندانپزشک فقط باید قسمتهای پوسیده و به اصطلاح کرم خورده را بردارد و حفره را پر نماید و نیاز کمتری به تراشیدن دندان نسبت به ترمیم با آمالگام دارد.
شانس حساسیت دندان در هنگام جویدن، پس از پر کردن با کامپوزیت معمولا از پر کردن با آمالگام بیشتر است. رنگ سفید کامپوزیت هم ممکن است در اثر مصرف غذاها و نوشیدنی های رنگدانه دار مانند چای و قهوه به مرور تغییر کند. ایراد دیگر کامپوزیت، ایجاد ترک های بسیار ریز یا ریزنشت هایی در بین کامپوزیت و دندان در طول زمان است که می تواند باعث نفوذ باکتریها و ایجاد پوسیدگی های ثانویه در بخشهای عمقی تر دندان گردد. در مجموع استحکام و پایداری کامپوزیت از آمالگام کمتر است و به همین دلیل انتخاب ارجح در مورد دندان های آسیا نمی باشد.

با توجه به این توضیحات در مورد دندان هایی که صرفاً پر می شوند چنانچه دندان در معرض دید باشد بهتر است با ماده سفید پر شود. امروزه این ماده سفید یا کامپوزیت با استحکام بسیار زیادی ساخته می شود که مخصوص دندان های آسیا است و بسیار عالی عمل می کند. در واقع ماده سفید بیشتر در دندان های جلویی به کار برده می شود. اما در مورد دندان هایی که درمان ریشه (عصب کشی) شده اند در اکثر مواقع دندانپزشک پس از ترمیم دندان روکش کردن دندان را توصیه می کند، بنابراین حتی اگر این دندان در معرض دید باشد از آنجا که روکش به رنگ سفید خواهد بود پر کردن دندان با ماده سیاه انجام خواهد شد. و از آن جا که در ناحیه خلفی دهان، دندان های آسیای کوچک و بزرگ حضور دارند و این دندان ها نقش اصلی را در جویدن بازی می کنند بهتر است که در ترمیم و پر کردن آنها از ماده سیاه استفاده شود. به طور کلی ماده سیاه در دندان های عقب استفاده می شود.

گاها پوسیدگی بین دندانی، یعنی جایی که مسواک به آن دسترسی ندارد، شروع می شود. البته هر نوع تغییر رنگ و یا سیاه شدن رنگ دندان، به عنوان پوسیدگی شناخته نمی شود. در بسیاری از موارد پوسیدگی سطحی نیازی به ترمیم و یا پر کردن ندارد و تنها با رعایت بهداشت، می توان از پیشرفت آن جلوگیری کرد.
اما پس از ترمیم و پر کردن دندان ها علاوه بر مسواک زدن که تمام سطوح به جز سطوح بین دندانی را پاکیزه می کند برای حذف پلاک و جلوگیری از پوسیدگی بین دندانی، باید به طور منظم و حداقل یک بار در روز به درستی از نخ دندان استفاده شود. در انتها لازم به یادآوری است برای سلامت دندان ها هر شش ماه یک بار برای جلوگیری از بروز پوسیدگی وسیع و مخرب به دندانپزشک مراجعه نمایید.