پر کردن دندان یا ترمیم دندان یکی از انواع درمان های دندان پزشکی است ، که برای بازگرداندن زیبایی و کارایی دندان استفاده می شود. پر کردن دندان برای ترمیم پوسیدگی دندان ،شکستگی دندان ، خوردگی های جزیی دندان و آسیب های سطحی دندان مورد استفاده قرار می گیرد.
در گذشته دندان ها با امالگام فلزات پر می شد ،که مقاومت و دوام بالایی نیز داشتند.اما امروزه مهمترین ویژگی برای اکثر مردم این است که دندانهایشان به رنگ طبیعی به نظر برسد، در همین راستا از موادی مانند کامپوزیت یا پرسلن استفاده می شود که بیشتر همرنگ دندان هستند و زیبا تر به نظر می رسند.
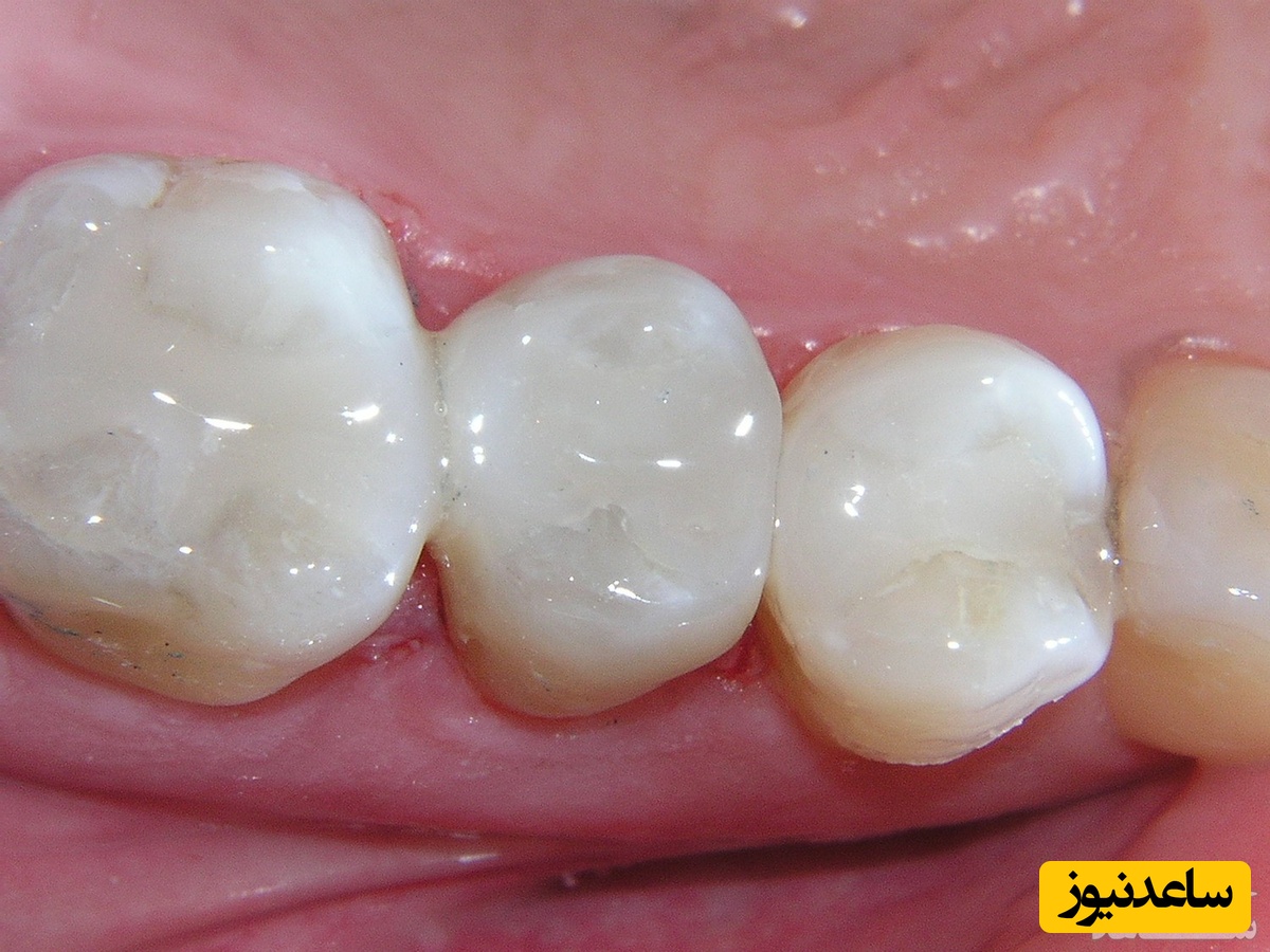
انواع پر کردن همرنگ دندان
عمدتا برای پر کردن همرنگ دندان و ترمیم پوسیدگی دندان از مواد کامپوزیتی استفاده می شود و ظاهری مشابه با دندان دارند. گلاس اینومر ها نیز می توانند برای پر کردن همرنگ دندان مورد استفاده قرار بگیرند.
پر کردن دندان با مواد نقره ای (آمالگام)
پر کردن دندان با آمالگام، یکی از رایج ترین روشهای پر کردن دندان که هزینه نسبتا کمتری هم دارد.
مزایا:
- دوام و ماندگاری: این مواد حداقل بین ده تا ۱۵ سال ماندگاری دارند، بیش تر از پر کردن با کامپوزیت
- استحکام: نیروی ناشی از جویدن را تحمل می کنند
- هزینه: تا حدودی کم هزینه تر از مواد پر کننده کامپوزیتی هستند.
معایب:
- زیبایی: مواد پرکننده آمالگام با رنگ دندان مطابقت ندارند.
- تخریب بیشتر بافت دندان: در این نوع از پر کردن برای اینکه فضای کافی برای قرار گرفتن مواد آمالگام وجود داشته باشد، مقدار بیشتری از بافت سالم دندان باید از بین برود.
- تغییر رنگ: آمالگام باعث می شود که به مرور زمان بافت های اطراف خاکستری شوند.
- ترک خوردگی و شکستگی: با وجود اینکه همه دندان ها در مواجه با غذا و نوشیدنی سرد و گرم می توانند دچار ترک خوردگی و شکستگی شوند، مواد آمالگام در مقایسه با دیگر مواد بیشتر در معرض تخریب قرار دارند.
- پاسخ آلرژیک: درصد کمی از افراد به جیوه موجود در ترکیبات آمالگام حساسیت دارند.
پر کردن دندان با مواد سفید یا کامپوزیت رنگ دندان
یکی از روش های نوین پر کردن دندان که در این سال ها طرفداران زیادی پیدا کرده است استفاده از کامپوزیت است. در کلینیک دکتر سپهریان از کامپوزیت دندان برای پر کردن دندان استفاده می کنیم.
برای اینکه دندان با مواد همرنگ دندانی پر شوند، بعد از خارج کردن پوسیدگی دندان و تمیز کردن آن مواد همرنگ دندانی به صورت لایه لایه روی محل قرار می گیرند. و سپس از یک نور مخصوص (دستگاه لایت کیور) برای سفت کردن هر لایه استفاده می شود. بعد از اینکه چندین لایه مواد روی محل پر کردگی دندان قرار گرفت، پزشک دندان را فرم میدهد و در نهایت دندان ترمیم شده هم پولیش می شود.
مزایا:
- زیبایی: رنگ کامپوزیت پر کننده دندان، بسیار مشابه رنگ دندان اصلی است. معمولاً از کامپوزیت برای پر کردن دندان های جلویی و یا بخش های قابل مشاهده دهان استفاده می کنند.
- اتصال محکم به بافت دندان: مواد پر کننده کامپوزیت به صورت میکرو مکانیکی به ساختار دندان متصل شده و حمایت بسیار خوبی را ایجاد خواهد کرد.
- تطبیق پذیری: علاوه بر استفاده از مواد کامپوزیت برای پر کردن دندان، می توان از این مواد برای اصلاح دندان های شکسته و یا لب پر شده و کامپوزیت ونیر هم استفاده کرد.
- آماده سازی محافظه کارانه تر دندان: برخی از اوقات برای ترمیم دندان با کمک کامپوزیت به نسبت آمالگام نیازی به برداشتن مقدار زیادی از بافت دندان نیست.
معایب:
- کم بودن ماندگاری: این نوع از پر کردن دندان حداقل ۵ سال دوام دارد. از طرفی دیگر این نوع از پر کردن به اندازه آمالگام در برابر جویدن مقاومت ندارد.
- بیش تر بودن مدت زمان درمان: این روش درمانی ۲۰ دقیقه بیشتر از پر کردگی با آمالگام زمان می برد.
- لب پریدگی: هزینه این روش درمانی کمی گرانتر از ترمیم با آمالگام هست.
مقایسه پر کردن کامپوزیت و آمالگام
پر کردن کامپوزیت، همرنگ دندان می باشد و بسیار زیبا تر و طبیعی تر آمالگام می باشد. زیبایی دندان باعث افزایش اعتماد به نفس بیمار می شود.
ترمیم های همرنگ را نمی توان برای همه دندان ها و همه نوع پوسیدگی استفاده کرد ، خصوصا در دندانهایی که حجم زیادی از دندان از دست رفته است، نمی توان از این روش استفاده کرد،استفاده از ترمیم همرنگ برای درمان دندان های جلو و شکستگی های کوچک مناسب می باشد. لازم به ذکر است مواد کامپوزیتی خاصی وجود دارد که برای ترمیم حفره های بزرگ می تواند مورد استفاده قرار بگیرد.
آماده سازی دندان برای پر کردن با مواد کامپوزیتی کمتر از آمالگام است، بنابراین پر کردن با کامپوزیت ساختار دندان سالم کمتر تغییر می کند. دوام مواد کامپوزیت نسبت به آمالگام کمتر است، با این وجود می توان از مواد کامپوزیتی برای تمامی دندان ها استفاده کرد.
بعضی بیماران نسبت به فلز حساسیت دارند، پر کردن دندان با کامپوزیت علاوه بر ظاهر بهتر، حساسیت زا نبوده، سمی بودن جیوه در آمالگام هنوز در تحقیقی علمی ثابت نشده است لازم به ذکر است تا 90درصد مواد مضر امالگام با شستشو بعد از پر کردن دندان از بین می رود. پر کردن دندان با کامپوزیت نیاز به تجهیزات و وسایل اضافی نسبت به امالگام دارد و تا حد زیادی به مهارت دندانپزشک مرتبط است. این امر یکی از عواملی است که پر کردن کامپوزیت را نسبت به امالگام پر هزینه تر و گرانتر می سازد.
مواد همرنگ دندان برای پر کردن دندان ها کدامند؟
مواد همرنگ دندان مورد استفاده برای ترمیم دندان های آسیب دیده از جنس کامپوزیت های پیچیده پلاستیکی (کامپوزیت رزینی) یا پرسیلین و زیرکونیا یا سیلیس می باشد. دندانپزشک برای درمان پوسیدگی دندان شما، بخش پوسیده دندان را خارج کرده و سپس برای ترمیم دندان، کامپوزیت رزینی را در آن قسمت قرار می دهد.
مواد همرنگ دندان همچنین برای کمک به ترمیم دندان هایی که در اثر صدمه و ضربه، ناخن جویدن و یا دندان قروچه، ترک خورده، شکسته و یا فرسوده شده اند، مورد استفاده قرار می گیرد. مواد همرنگ دندان به طور کلی برای ترمیم های کوچک یا متوسط دندان ها مناسب هستند. بسته به اینکه چه مقدار از دندان نیاز ترمیم دارد، این کار ممکن است فقط در یک جلسه انجام شود. در صورتی که حجم زیادی از مواد همرنگ دندان باید جایگزین بخش های آسیب دیده دندان شود، بخش جایگزین ممکن است در خارج از دهان ساخته شده و سپس بدون استفاده از هر گونه مواد سمی و مضر به داخل دندان متصل (باندینگ) شود.
دلایل استفاده از ترمیم های همرنگ دندان
کاربردها و مزایای ترمیم های همرنگ دندان عبارتند از:
زیبایی دندان ها
با توجه به این که ترمیم کامپوزیتی دقیقاً با رنگ دندان های طبیعی شما همسان است، گزینه خوبی برای استفاده در نواحی قابل مشاهده دندان و یا بر روی دندان می باشد.
باندینگ دندان
مواد ترمیم کامپوزیتی مورد استفاده در باندینگ دندانی، به روش شیمیایی بر روی ساختار دندان قرار می گیرد و از ساختار دندان محافظت می کند. مواد فلزی پر کننده دندان و یا آمالگام نمی توانند برای باندینگ دندان استفاده شوند. این مواد صرفاً بر روی دندان قرار می گیرند و تا حدودی از دندان محفاظت می کنند. امروزه دندانپزشکان اطلاعات بیشتری در مورد رابطه بین عاج و مینای دندان و ایجاد اتصال بین این دو بخش در اختیار دارند. این امر باعث شده است تا علم دندانپزشکی برای ایجاد اتصال محکم تر، حفاظت بیشتر و همچنین پر کردن راحت تر دندان ها به سوی کشف راه های جدیدی برای باندنیگ مواد پر کننده دندان گام بردارد.
بازسازی دندان
ترمیم موفقیت آمیز دندان (یا اصطلاحاً بازسازی دندان) بستگی به استحکام پیوند بین کامپوزیت رزینی با مینا و عاج دندان دارد. روش های دندا پزشکی ترمیمی، دندان را به گونه ای بازسازی می کند که نه تنها طبیعی به نظر می رسد، بلکه عملکرد طبیعی داشته و اجازه می دهد تا در هنگام باز و بسته شدن فک و عمل جویدن، نیروی فشار بایت بر روی دندان باقی نمانده و از آن عبور کند.
انطباق با رنگ دندان های طبیعی
ترمیم های همرنگ دندان برای انواع درمان ها از جمله پوسیدگی دندان، خردشدگی دندان ، دندان شکسته، فاصله بین دندان ها و یا دندان های فرسایش یافته قابل استفاده هستند. آنها همچنین در اصلاح شکل و بهبود ظاهر دندان ها مورد استفاده قرار می گیرند.
آماده سازی دندان قبل از ترمیم با مواد همرنگ دندان
در مواردی که بخشی از ساختار دندان باید برداشته شود (مثلاً زمانی که پوسیدگی وجود دارد) استفاده از ترمیم های همرنگ دندان باعث می شود تا مقدار کمتری از دندان حذف شود.
معایب و عوارض پر کردن همرنگ دندان
هیچ خطرات بهداشتی شناخته شده در ارتباط با استفاده از کامپوزیت دندان وجود نداردبا این حال، برخی از بیماران تجربه درد و ناراحتی خفیف در روز های بعداز پرکردن داشته اند. بیماران می توانند احساس درد و حساسیت به مواد غذایی سرد و گرم و نوشیدنی ها، به ویژه در هفته اول یا دو بعد از درمانانتظار داشته باشند.در اادامه برخی از معایب این روش بیان شده است:
-
استفاده از مواد کامپوزیتی هزینه بیشتری نسبت به امالگام ها دارد و گاهی توسط برنامه های بیمه پوشش داده نمی شوند . همچنین پرکردن با انها برای همیشه دوام نمی اورد . برخی مطالعات نشان می دهد که پر کردن با مواد کامپوزیت دندان می تواند دوام کمتری داشته باشد و نیاز به تعویض بیشتری داشته باشد .
-
استفاده از مواد کامپوزیتی نیاز به مهارت بیشتر دارد که منجر به هزینه بیشتر و دقت در انتخاب دنداپزشک واجد شرایط برای انجام کارهای زیبایی میشود.
-
به طور کلی پرکردن با مواد کامپوزیتی زمان بیشتری طول میکشد زیرا در طول زمان پرکردن نیاز است که حفره تمیز و خشک نگه داشته شود. پر کردن با مواد کامپوزیتی به دلیل زیبایی ان بیشتر مورد استفاده میشود و در جامعه ای که لبخند سفید و درخشنده اهمیت دارد انتخاب این روش که با رنگ طبیعی دندانها هماهنگ است بیشترمورد توجه خواهد بود.
سوالات متداول پر کردن همرنگ دندان
- مزیت پرکردن دندان با کامپوزیت چیست؟در پرکردگی های کامپوزیت برخلاف پرکننده های آمالگام (نقره ای)، پر کردن حفره ها و ترمیم ترک ها مقاوم تر و از نظر زیبایی نیز خوشایند تر هستند زیرا رنگ دندان های طبیعی شما هستند. پر کننده های کامپوزیت و همرنگ دندان برای بیمارانی که می خواهند دندان های جلو را پر کنند مناسب است.
- ماندگاری کامپوزیت روی دندانهای جلویی چه مدت است؟میزان دوام پر کردن دندان با کامپوزیت دردندان های جلویی همانند قراردادن روکش نخواهد بود، باید ازگاز زدن مواد غذای سفت که می تواند باعث ترک و شکستن کامپوزیت شود اجتناب کنید.
- آیا پر کننده های کامپوزیتی محکم و استحکام دارند ؟پر کننده های کامپوزیتی بسیار قوی هستند حاشیه و اطراف دندان را محکم و متراکم می پوشانند. آنها بسیار سخت هستند و یک پر کننده کامپوزیت در جای مناسب می تواند چندین سال دوام داشته باشد.
- آیا پر کننده های سفید گران هستند؟مواد پرکننده های سفید از مواد آمالگام گرانتر هستند و پر كردن حفره ها با پركننده هاي سفيد روشي ماهرانه تر از پر كردن با آمالگام است.
- آیا پرکننده های سفید جیوه دارند؟پرکننده های سفید یا همرنگ دندان حاوی جیوه یا فلز نیستند. ولی قیمت خرید مواد کامپوزیتی بیشتر از آمالگام است بنابراین، پر کردن کامپوزیت کمی گرانتر از پر کردن آمالگام است، از سوی دیگر تکنیک استفاده از کامپوزیت پیچیده تر است و قراردادن آنها زمان بیشتری می برد.
- آیا می توانم بعد از پر کردن دندان هایم، را بلافاصله مسواک بزنم؟از مسواک و نخ دندان به آرامی استفاده کنید. بعد از پر کردن دندان، مسواک زدن کاملاً خوب است و نیازی نیست مدتی صبر کنید.
- آیا می توانید بعد از پر کردن غذا بخورید؟برخلاف پرکننده های آمالگام، پرکننده های کامپوزیت دندان به بیماران اجازه می دهد که بلافاصله بعد از پر کردن غذا بخورند. با این حال، ما توصیه می کنیم که بیماران فقط پس از، از بین رفتن بی حسی موضعی غذا بخورند زیرا وقتی لب و دهان شما بی حس می شود خوردن آن کاملاً دشوار است.
- آیا پر شدن حفره می تواند برای همیشه دوام داشته باشد؟در حالی که پرکردگی ها مدت زیادی دوام می آورند، هیچ یک از مواد مورد استفاده در پرکننده ها برای همیشه دوام ندارند. با این فرض که دندان اطراف شما سالم بماند و پر شدن آن زیاد نباشد، می توانید انتظار داشته باشید که پر شدن دندان شما مدت زیادی باقی بماند.
چرا دندان درد در شب بیشتر اتفاق می افتد؟










































