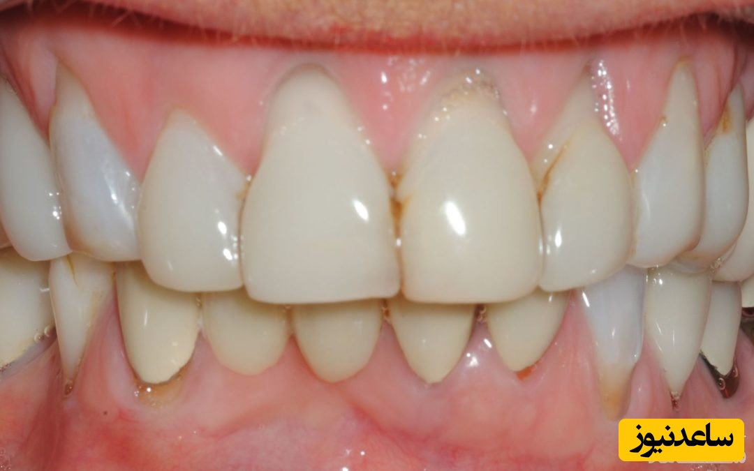
به گزارش سرویس سلامت ساعدنیوز، تحلیل لثه عنوان بیماری ای در لثه است که در آن لبهٔ بافت نرم لثه به مرور زمان از موقعیت اولیه خود روی تاج دندان به سمت ریشهٔ دندان عقب می رود که نهایتاً به عریان شدن سطحی از ریشهٔ دندان منجر خواهد شد. شکل و ضخامت بافت لثه، تروما، بیماری های لثه ای التهابی و نیروهای جوندگی در ایجاد این عارضه مؤثر هستند. تحلیل لثه معمولاً در افراد بزرگسال و پس از دورهٔ جوانی رخ می دهد، با این حال در کودکان هم ممکن است مشاهده شود. رعایت نکردن بهداشت یا افراط در آن و ضعیف شدن سیستم ایمنی بدن از عوامل شناخته شدهٔ تحلیل لثه هستند.
معمولاً تحلیل لثه زمانی اتفاق می افتد که استخوان فک زیرین تحلیل رفته باشد. همچنین افرادی که محکم مسواک می زنند، غذاهای سفت زیاد مصرف می کنند یا به دندان قروچه و پوکی استخوان ملایم مبتلا هستند نیز دچار تحلیل استخوان و به دنبال آن تحلیل لثه می شوند. تحلیل لثه ها یک اتفاق بسیار تدریجی است. بسیاری از افراد حتی متوجه آن نمی شوند تازمانی که فاصله بین دندان ها را ببینند یا حساسیت شدید دندان را تجربه کنند. لازم به ذکر است که از هر چهار بزرگسال سه نفر به بیماری های لثه از جمله تحلیل لثه مبتلا می شوند. در واقع، بیماری لثه نوع پیشرفته ای از التهاب لثه است که ابتدا از انباشته شدن باکتری و پلاک داخل لثه و اطراف دندان شروع می شود. باقی ماندن پلاک به مرور زمان به لثه ها آسیب می زند و منجر به عقب رفتن آنها می شود.

علل تحلیل لثه به عوامل متعددی وابسته است که از آن جمله می توان به موارد زیر اشاره کرد:
هر شب مسواک زدن کار بسیار خوبی است، اما باید مراقب باشید که این کار را خیلی شدید انجام ندهید. صرفا از مسواک سافت استفاده کنید و با ملایمت دندان های خود را تمیز کنید.
در صورتی که بهداشت دهان و دندان خود را جدی نمی گیرید، تحلیل لثه می تواند در اثر ابتلا به شکل پیشرفته بیماری لثه، پریودنتیت، رخ دهد.
ویژگی و نوع بافت لثه شما توسط ژنتیک مشخص می شود. در صورتی که والدینتان دچار این مشکل شده اند، ریسک ابتلا به آن در شما افزایش می یابد.
آیا اغلب با سردرد بیدار می شوید؟ آیا کسی تا به حال به شما گفته است که شب ها دندان قروچه می روید؟ دندان قروچه نه تنها می تواند باعث تحلیل لثه که بسیاری از دیگر مشکلات دهان و دندان شود. در صورتی که دچار این مشکل هستید، هر چه سریع تر به دندانپزشک مراجعه کنید. درمان های ارزان متعددی مانند استفاده از گارد دهان در دسترس هستند.
بافت لثه ممکن است در اثر وارد شدن ضربه به دندان آسیب ببیند.
در صورتی که دندان های شما تراز نباشند، ممکن است دچار تحلیل لثه شوید.
مصرف دارو های خاصی که منجر به خشک شدن دهان می شود نیز احتمال تحلیل رفتن لثه را افزایش می دهد. خشک شدن دهان به این معنا است که بزاق کمتر از حد عادی می شود. چنانچه آب دهان به حد کافی نباشد، بافت های دهان در برابر عفونت های باکتریایی و صدمه ها آسیب پذیر می شود. دندان قروچه و کجی و نامرتبی دندان ها از دیگر دلایل تحلیل لثه به شمار می آید.

مصرف برخی غذاها باعث بدتر شدن عارضه می شود. بنابراین با اجتناب از غذاهای تشدید کننده تحلیل لثه می توانید تا حد زیادی به درمان بیماری خود کمک کنید.
باکتری ها و دیگر میکروارگانیسم های بیماری زا در محیط اسیدی رشد می کنند که در نتیجه باعث تحلیل و التهاب لثه می شوند. علاوه بر این، غذاهای بیش از حد اسیدی ممکن است به لایه محافظتی دندان آسیب برساند. نمونه هایی از غذاها و نوشیدنی های اسیدی شامل مصرف بیش از حد گوشت، مرکبات، نان سفید، ماکارونی با آرد سفید، ترشی و مواد تخمیر شده، نوشیدنی های الکلی، قهوه و چای سیاه.
غذاهای شیرین بسیار اسیدی هستند و تکثیر باکتری ها را تشدید می کنند. به همین دلیل است که مصرف مواد غذایی بسیار شیرین باعث افزایش پوسیدگی دندان و بیماری های لثه می شود. نمونه هایی از غذاهای تشدید کننده تحلیل لثه که شیرین هستند عبارتند از آب نبات، دونات، کیک، کلوچه، شکلات، سودا، نوشیدنی های انرژی زا و نوشابه ها هستند. کربوهیدرات های جویدنی حاوی گلوتن، مانند نان سفید و دونات ممکن است بین دندان و لثه گیر کنند و التهاب لثه را بیشتر کنند.
هنگامی که لثه ها تحلیل یافته اند، اعصاب دندان به غذاهای سرد و نوشیدنی ها حساس تر می شوند. از غذاهای سرد مانند بستنی، یخ های خرد شده، میوه و سبزیجات فریز شده که درد را تشدید می کنند پرهیز کنید. جویدن یخ یا هر ماده سختی می تواند دندان های شما را لق کند و به مینای دندان و لثه آسیب بزند. ضمن پرهیز از این دسته غذاهای تشدید کننده تحلیل لثه تلاش کنید موادی را مصرف کنید که در دمای اتاق قرار دارند و بافت آنها نرم است.

پرواضح است که برای اقدام به یک درمان موفق ابتدا باید عوامل ایجادکننده مشکل را شناسایی کنیم. مثلا اگر علت تحلیل، بیماری لثه است، ابتدا باید با درمان جراحی و حذف عفونت و رعایت دستورات بهداشتی التهاب و بیماری را در ناحیه ریشه کن کنیم. مدتی بعد از ایجاد بافت لثه ای سالم در صورت نیاز و امکان درمان های بازسازی بافت آغاز خواهدشد. اگر عامل تحلیل، مسواک زدن خشن است به بیمار توصیه می شود با روش درستی مسواک بزند (استفاده از مسواک نرم، فشار دست ملایم هنگام مسواک زدن و تاحدامکان مسواک زدن به روش عمودی نه افقی.)، اگر بیمار سیگاری است، سیگار را ترک کند، اگر دندان ها به صورت نامرتب در قوس فک قرار دارند، مشاوره اردتودنسی انجام شود و اگر بیماری دیابت تحت کنترل نیست، کنترل شود، بنابراین حذف یا کنترل تک تک این عوامل به کنترل تحلیل لثه کمک می کند.

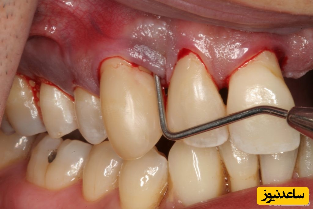
اگر عرض و ضخامت لثه چسبنده مجاور دندان از حد کفایت کمتر است، پیشنهاد جراحی های بازسازی بافت داده می شود که در این زمینه جراحی های پیوند لثه نیز مطرح خواهدشد.
حتی در صورت انجام بیشترین جراحی و گرفتن بهترین نتایج درمان، اگر عوامل ایجادکننده تحلیل لثه حذف یا کنترل نشوند، همواره امکان بروز و پیشرفت مجدد تحلیل وجود دارد بنابراین برای گرفتن بهترین نتیجه ممکن و حفظ نتایج جراحی پیوند در طول زمان باید از بروز عواملی که باعث تحلیل بافت لثه می شوند جلوگیری کرد. بیمار نیز حتما باید سالی 3-2 بار برای کنترل به جراح لثه خود مراجعه کند.