صفحه اصلی
●
درباره ما
●
English
●
العربية
Friday, December 05, 2025
جمعه، 14 آذر 1404
ساعدنیوز
●
درباره ما
●
زبان
فارسی
English
العربية
دسته بندی ها
بستن
جستجو
سیاست
جامعه
حوادث
اقتصاد
ورزش
دانشگاه
موسیقی
هنر و رسانه
علم و فناوری
بازار
مجله خانواده
ویدیو
عکس
خبر با تو
استانها
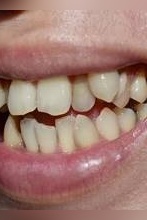
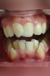
نامرتبی دندان
مشکل نامرتبی دندانها در کودکان
برای درمان نامرتبی دندانها چکار کنیم ؟
نامرتبی و شلوغی دندان ها به چه چیزی ربط دارد؟
نامرتبی دندان ها + نکات مهم
بینظمی دندان ها چگونه درمان میشود؟
چرا باید نامرتبی دندان ها را اصلاح کرد؟
علل فاصلهدار شدن دندانها چیست؟
روش های درمان نامرتبی و شلوغی دندان ها
صفحه قبل
صفحه بعد
از سراسر وب
آخرین قیمت سکه و طلا امروز پنجشنبه 13 آذر 1404
فال شمع روزانه امروز شنبه 15 آذر 1404/ ای صاحب فال خوشبختی در خانه ات را زده، توجه کسی که میخواهی را بدست خواهی آورد
(ویدئو) مستند حیات وحش حیوانات/ راز بقا، این داستان: نبرد نفسگیر اُلاغ و گرگ وحشی
یادی کنیم از لحظه احساسی و پر از عشق سارا منجزی پور و محمد علیزاده هنگام علنی کردن ازدواجشان +عکس
عاشقانه های میلاد کی مرام در آغوش مادرش
(عکس) کشف عجیب و جالب درباره ریشه مردم ژاپن
(ویدئو) هادی چوپان از لحظات تاریک زندگیاش میگوید؛ گرگ پارسی: وقتی همه میگفتند تو هیچچیزی نیستی مدام تحقیرم میکردند من…
پیام شهربانو منصوریان به بایدن؛ آمریکای کثافت صدام بی لیاقت...+فیلم
مطالب پیشنهادی
نگاهی به آلبوم تصاویر بازیگران «سریال از یاد رفته» در کنار همسر و خانواده هایشان/ بهنوش طباطبایی، سپیده خداوردی، سیاوش خیرابی،سارا منجزی و...
(فیلم) برگزاری مراسم تولد سوپر لاکچری فرح پهلوی در استادیوم امجدیه تهران در اواخر دهه 40 / ملکه بازی با پول مردم!
فوتبال به سبک خاص/ وقتی جای گلزنی با چاقو زنی عوض میشه!😂
(ویدیو) غمانگیزترین و احساسیترین شعرخوانی باران نیکراه از مرتضی لطفی: گرفتم خط زدی از دفترت ای سفله نامم را/ چطور از یادِ مردم میبری ابله کلامم را
پیشنهاد ویژه
(ویدئو) پشتصحنه موفقیت آترینا فرحمند در جمع رتبههای برتر سه سال اخیر از زبان خودش؛ از روزهای جنگ تا رتبه 1 کنکور تجربی 1404
تغییر چهره خنده دار مصطفی و مجتبی بلال حبشی دوقلوهای سریال پایتخت/ رحمان رحیم با مدل موی صاف و فرق وسط اصلا قابل شناسایی نیستن
نگاهی به کارت عروسی رویایی و اروپایی مریم مومن تازه عروس سینما و سهیل قاصدی/ زیادی خوشگله بنظرم!
آلودگی هوا دوباره برنامه دانشگاهها را تغییر داد؛ فعالیت کدام دانشگاهها غیرحضوری شد؟
پربازدیدترین ویدئوهای روز
کائنات پیام ویژهای برات داره؛ رفتنِ بعضی آدمها درد دارد، اما همین درد تو را به نسخهای قویتر، عاقلتر و آرامتر از خودت تبدیل میکند/ پیام انگیزشی امروز
حیات وحش ؛ مستند حیات وحش حیوانات/ نبرد خروس و اژدهای کومودو
نگاهی به چیدمان منزل شیک شهربانو منصوریان، شیرزن ووشوکار ایرانی/از مبلمان مدرن و پرده اعیانی تا فرش آبی فیروزهای
نگاهی به چیدمان منزل شاهانه و سنتی قدرتالله ایزدی، عمو رشید ستاره «جوکر» به سبک کلاسیک/ از مبلمان مدرن و پردههای اعیانی تا تابلوهای هنری و فرش ایرانی
(ویدئو) طلاییترین درس زندگی و مهمترین نصیحت دکتر انوشه برای هر سن و سالی: «گاو اگه بره تو قصر شاه نمیشه ولی قطعا قصر طویله میشه!»
کائنات پیام ویژه ای برات داره؛ زندگی فاصله بین 2 دم است: دمِ اول که آغاز میکنی، دمِ آخر که رها میکنی میان این دو تنها کاری که میتوانی بکنی با حضور زندگی کردن است/پیام انگیزشی امروز 14 آذر
پشت پرده جدید از ماجرای دستگیری علی شادمان: ع.ش با یک خانم بازیگر متاهل در داخل ماشین کار خلاف عرف انجام داده و شوهر اون خانم به رانندهاش گفته با اسلحه....+ویدیو
لحظه ورود باشکوه مریم مومن و همسرش سهیل قاصدی به تالار عروسی مزین شده با آتش بازی شورانگیز/ عشقتون پایدار قشنگا
وب گردی
حوادث
بیشتر
(ویدیو) دختر دانشجو طعمه موبایل قاپان در ولنجک/ پلیس با هجوم ناگهانی سارقان موبایل را شکار کرد!
قتل فجیع دختر جوان بعد از ملاقات با دوست اینستاگرامی خود / دست و پایش را بست و بطرز وحشیانهای...
مرگ جگرسوز چاهکن مشهدی در عمق 130 متری / تلاش 5 ساعته نیروهای امداد!
دستگیری یکی از عوامل قتل پیرمرد اهری
اولین ویدئو از لحظه وحشتناک سقوط رضا امیرخانی نویسندهی معروف ارمیا، در دماوند!
یک کشته در پی واژگونی پراید در محور میانه هشترود
شب خونین رباطکریم/ روایت مرگ مردی که یک سال بود از قانون میگریخت+ جزئیات
راننده زن آزار اینترنتی میانه دستگیرشد
آخرین ویدیو ها
ویدئو/ سوسن پرور: به من میگن زشت هستی و چرا بازیگر شدی / نوجوونی عاشق شدم و به پسره پیشنهاد دادم / چرا یه عده فک میکنن باید به همه چی نظر بدن؟!
ویدئو| بازی ایرانی باستانی در سریال اسکویید گیم؛ کپیبرداری یا بازآفرینی شگفتانگیز؟!
معرفی کتاب هدف، اثر برایان تریسی؛ هدفگذاری برای شما این است که مسئولیت کامل زندگی خود و هرچیزی که برایتان احساس شادی میآورد را بدون سرزنشکردن و بهانهگرفتن بپذیرید
ویدیو | با این مدل سوالات اطلاعات عمومی که مهران مدیری پرسید مغز بهنام تشکر منفجر شد! / فقط خندههای از ته دل نعیمه نظامدوست😂😂
ویدیو | هوش مصنوعی بابانوئل به خانهها میآید / آینده هدیه دادن در کریسمس 2025 توی مشت تکنولوژی قایم شده!
ویدئو| طنز دانشجویی روز؛ وقتی درسارو نگه میداری برای شب امتحان باید دست به دامن این کار بشی!
تعریف و تمجید رایان سرلک از ژاله صامتی: دست و دلبازترین کسی بود که باهاش کار کردم برام آبگوشت و کباب تابه ای درست میکرد می آورد +ویدئو
ببینید | لحظه هولناک سقوط جنگنده اف-16 آمریکا/ قدرت پوشالی...
تولد دو توله شیر سفید کمیاب در باغوحش ونزوئلا
(ویدیو) از سکانسهای سینما تا کلاسهای مدیریت؛ پایان دوران تحصیل محسن افشانی در لحظه پرتاب کلاه MBA در دانشگاه تهران
علیرضا نیکبخت واحدی : نیکبخت: پرسپولیسیها بیشترند؛ استقلالیها باکلاستر!
ویدیو | اعترافات سمی ستاره جوکر از شیطنتهای دوران مدرسه / ژاله صامتی یه جوری خاطره تعریف میکنه، انگاری خودت اونجا بودی!😂
آخرین تصاویر
کم لطفی اهالی سینما و بازیگران در تبریک به مریم مومن بابت ازدواجش؛ فقط این چند بازیگر پیام تبریک و شادباش فرستادند+عکس
گیفت عروسی فقط این؛ نگاهی به سلیقه عروسپسند مریم مومن در انتخاب گیفت عروسی برای مهمانان مراسمش+عکس/ جذابتر و به دردبخور تر از این سراغ دارین؟😍
نگاهی به استایل مهمونی آزیتا ترکاشوند در تولد شبانه دوستش
سری هفتم ایدههای ناب تزیین دفتر مشق/ مدل تزیین دفتر مشق 2025 با جدیدترین نقاشی حاشیه دفتر بانمک و فانتزی رنگی رنگی!(عکس)
نگاهی به آلبوم تصاویر رمانتیک و عاشقانه جشن عروسی پرطمطراق و فوق لاکچری مریم مومن و سهیل قاصدی؛ زوج هنری دوست داشتنی سینمای ایران/ چقدر به هم میان، مگه نه؟
خلاقیت خنده دار یک هموطن در تبدیل پیکان به پژو حماسه آفرید / از پیکان فقط یک خاطره موند😂
استوری جنجالی ژیلا علیه جواد هاشمی در حمایت از ع.ش: جناب هاشمی بازیگرا خیلی وقته سینما رو بدنام کردن شما خبر ندارین؛ مگه خون بازیگرا پررنگتره که...+ویدیو
سفری با خاطرات ناصرالدینشاه: اگر انسان میخواست در لندن 300 هزار دختر خوشگل منتخب میکرد، خیلی اوضاع غریبی بود/ خیلی خیلی تماشا کردیم
سایر ویدیوها
ویژه علاقه مندان به مستند حیات وحش حیوانات: بیرون کشیدن مار کبرا و 9 توله اش از کف یک خانه روستایی توسط مارگیر مشهور هندی
ویو دیده نشده از بالای اهرام مصر/این ویدیو توسط یک توریست بصورت غیرقانونی پخش شد!
ویدئو/ سوسن پرور: به من میگن زشت هستی و چرا بازیگر شدی / نوجوونی عاشق شدم و به پسره پیشنهاد دادم / چرا یه عده فک میکنن باید به همه چی نظر بدن؟!
سه چیزی که آرامش انسان را به هم میریزد از بان آیت الله رفیعی/ به مردم خوش گمان باش...(فیلم)
(ویدئو) آموزش صفر تا صد زبان کرهای کاملا رایگان/ قسمت چهل و دوم: هانگول را مثل آب خوردن یاد بگیر! (روخوانی کتاب قسمت دوم)
کُری خوانی خندهدار سردار آزمون برای مهدی طارمی/ رسما سکه یه پولش کرد😂
ویدئو/نگاهی به دکوراسیون شیک و چیدمان شاهانه خونه مجردی نفیسه روشن / از مبلمان سلطنتی فیروزهای تا فرش فیروزهای و آشپزخانه مدرن
(ویدئو) مستند حیات وحش حیوانات/ راز بقا، این داستان: نبرد نفسگیر شاه کبرا و اژدهای کومودوی وحشی
جسور و شجاع مثل شهربانو منصوریان، قهرمان ووشو کار ایرانی: کاش همون کارگریمو می کردم و آب حوض میگرفتم ولی توی تیم ملی....
کائنات پیام ویژه ای برات داره؛ زندگی فاصله بین 2 دم است: دمِ اول که آغاز میکنی، دمِ آخر که رها میکنی میان این دو تنها کاری که میتوانی بکنی با حضور زندگی کردن است/پیام انگیزشی امروز 14 آذر
ویدئو/ضربه کاری شاهرخ استخری، مالک کمپانی طلافروشی:درس خوندن واسم نون و آب نشد!/ خیلیامونم با درس خوندن به یه جایی رسیدیم! مگه نه؟
نصیحت عجیب مولانا با سهیل قاصدی، همسر مریم مومن یک قدم تو رو به حقیقت زندگی نزدیکتر میکنه/ دقیقا هرچه هست و نیست در خودت پیدا میکنی؛ در خود بطلب هر آنچه خواهی که توئی