معمولا ارتودنسی برای درمان نامرتبی دندان ها در مواردی که دندان ها یا ساختار فک بیمار بر هم منطبق نمی شود، لازم می شود. بی نظمی دندان ها در صورتی که بدون درمان باقی بمانند، می توانند باعث ایجاد مشکلاتی در قدرت تکلم و فرسودگی زودرس دندان ها شوند. علاوه بر این، مشکلات شدید و حتی آسیب به دندان ها و مفاصل فک از دیگر عوارض آن ها هستند. بنابراین بسیار ضروریست که این ناهنجاری ها و شلوغی دندان ها هر چه زودتر شناسایی شوند تا متخصصین ارتودنسی بلافاصله برای درمان آن ها اقدام کنند.در این حالت درمان بسته به علت مشکل، از یک مورد تا مورد دیگر متفاوت خواهد بود. ممکن است کشیدن یک یا چند دندان به منظور باقی ماندن سایر دندان ها در پایدارترین موقعیت عملکردی خود لازم باشد.
در این وضعیت، فاصله ای بین دندان ها دیده می شود. این فاصله ممکن است بین دو دندان جلویی یا بین همه ی دندان های جلویی باشد.درست همانند سایر موارد، روش درمان پس از انجام مطالعاتی کامل در مورد مدل دندان ها، تحلیل تصاویر صورت و دندان ها و تحلیل تصاویر اشعه ی ایکس، ترتیب دهی می شود. در این موارد، اکثر اوقات، کشیدن دندان ها توصیه نمی شود مگر اینکه مشکلات دیگری وجود داشته باشند. علاوه بر این، استفاده ی دائمی از نگهدارنده های درمان ارتودنسی برای این بیماران تجویز می شود.
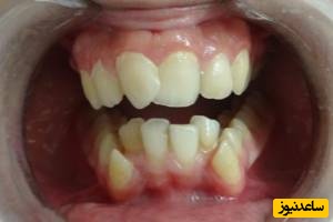
هم پوشانی دندان های جلویی (کراس بایت)
در این حالت دندان های جلویی فک بالا با بیش از یک چهارم دندان های جلویی فک پایین هم پوشانی دارند. در برخی موارد وخیم تر این مشکل، دندان های جلویی فک بالا، سطح خارجی دندان های جلویی فک پایین پوشش می دهد و دندان های جلویی فک پایین در تماس با سطح داخلی دندان های جلویی فک بالا قرار می گیرند.
معمولاً روش های درمانی این مشکل شامل کشیدن دندان ها نمی شوند. در برخی موارد شدید شلوغی دندان ، جراحی فک ممکن است لازم باشد. پس از پایان درمان، استفاده ی طولانی مدت یا دائمی از روش های نگهدارنده ی درمان های ارتودنسی ممکن است توصیه شود.

کشیدن 4 دندان در درمان ارتودنسی دندان های شلوغ
این روش بدین ترتیب است که 2 دندان در ردیف بالا و 2 دندان در ردیف پایین کشیده می شود. اما بابت از دست دادن دندانهای خود نگران نباشید. با ادامه درمان ارتودنسی و به پایان رساندن این دوره دیگر هیچ کس نمی تواند حدس بزند که 2 یا 4 دندان از شما کشیده شده است. به این نکته نیز توجه کنید که یک متخصص ارتودنسی خبره تا آنجا که می تواند دندان های سالم را نمی کشد و سعی می کند دندان های معیوب و خراب را برای کشیدن انتخاب کند.
خیر الزاما در تمام درمان های ارتودنسی این دسته از بیماران نیازی به کشیدن دندان نیست. در برخی از بیماران پزشک تشخیص می دهد که دندانی از بیمار نکشد. متخصص ارتودنسی با گذاشتن پیچی در فکین آنها را باز می کند و به اصطلاح قوس دندانی را افزایش می دهد. بدین ترتیب فضای کافی برای همه دندان ها در اختیار خواهد داشت. در ادامه با یک دستگاه مناسب ارتودنسی دندان های شلوغ را ردیف و مرتب می کند.
شلوغی دندان ها به همراه ناهنجاری فکین
برخی از بیماران نه تنها دندان های شلوغ و نامرتبی دارند بلکه یکی یا هر دو فک آنها نیز دچار ناهنجاری است. برای درمان این گروه از بیماران از ارتودنسی متحرک و ثابت استفاده می شود. با استفاده از ارتودنسی متحرک فکین در سرجای خود قرار می گیرند و با استفاده از ارتودنسی ثابت دندان های شلوغ مرتب می شوند.
ارتودنسی کردن نامرتبی دندان ها
اولین گام در فرایند درمان ارتودنسی کردن نامرتبی و به هم ریختگی دندان کودکان یا جوانان می تواند کشیدن بعضی از دندان ها باشد ، این کار با هدف ایجاد فضای کافی برای رشد سایر دندان ها انجام می شود.مرحله بعد، نصب بریس های ارتودنسی است تا دندان ها صاف شوند.بریس ها می توانند علاوه بر صاف کردن دندان ها به جابه جایی آنها و قرار گرفتن در وضعیت درست خود نیز کمک کنند.در روش ارتودنسی از ابزارهای خاصی برای اصلاح روند رشد دندان ها و فک ها و همتراز کردن آنها استفاده می شود.علاوه بر نصب بریس ها، ممکن است اقداماتی نظیر کشیدن دندان یا جراحی هم به عنوان قسمتی از درمان ارتودنسی انجام شود.به طور کلی برای درمان نامرتبی دندان ها روش های بسیار زیادی وجود دارد.ممکن است دندانپزشک یا دکتر ارتودنسی به شما این اختیار را بدهد که یا همین الان درمان خود را شروع کنید و یا آن را به زمانی در آینده موکول کنید.همچنین دندانپزشک ممکن است ترجیح بدهد که از یک روش خاص برای درمان شما استفاده کند.
رفع مشکلات دندان با ارتودنسی فانکشنال امکان پذیر است؟










































