به گزارش سرویس سلامت ساعدنیوز، از عوامل تاثیر گذار بر ظاهر هر فردی دندان های آن شخص است. مرتب بودن و ردیف بودن دندان ها دغدغه خیلی از افراد جامعه است. یکی از ناهنجاری های دندان نامرتبی دندان ها است. در مواردی مشاهده می کنیم که دندان ها نامرتب هستند و فرد از ناهنجاری شلوغی دندان ها رنج می برد. روی هم قرار گرفتن دندان ها، ردیف نبودن دندان های جانبی، بدجفتی درجه 2 از جمله عواملی است که به نامرتبی دندان ها معروف شده اند. در این مقاله قصد داریم این ناهنجاری را بررسی کنیم و راه های درمان آن را معرفی کنیم با ما همراه باشید.
شایع ترین علت به وجود آمدن شلوغی و بی نظمی های موجود در دندان، عدم تطابق سایز فک با سایز دندان می باشد. که بیشتر این اختلال ارثی است. گاهی ممکن است نوزاد بزرگ بودن دندان را از مادر و کوچکی فک را از پدر و یا برعکس به ارث ببرد، درنتیجه فک به علت کوچک بودن فضای کافی برای رشد دندان های بزرگ نخواد داشت.
پروسه رشد و افتادن دندان های شیری از یک روند روتینی پیروی می کند. در صورتیکه این روند یعنی افتادن دندان های شیری زودتر اتفاق بیافتد، باعث می شود تا فضای خالی بوجود آمده حفظ نشود و دندان های شیری به این فضاهای خالی سوق داده شوند. در نتیجه در هنگام رشد دندان های بزرگ دائمی با مشکل روبرو می شوند و دندان ناچار به تغییر موضع است.
اختلال نامرتبی دندان ها، بسیار شایع است و اگر بخواهیم میزان شیوع این اختلال را بررسی کنیم باید بگوییم که در هر خانواده حداقل یک یا دو نفر دچار نامرتبی دندان هستند. عوامل ایجاد کننده نامرتبی دندان بسیار متفاوت است اما در همه انواع آن ها، ارتودنسی می تواند نقش مهمی در اصلاح آن ایفا کند.
چه کسی پیدا می شود که از مرتب بودن دندان هایش بیزار باشد؟ همه انسان ها به زیباتر شدن، تمایل دارند و یکی از فاکتورهای زیبایی چهره، داشتن دندان هایی مرتب است. دندان های مرتب اعتماد به نفس به فرد می دهد و یا لااقل از اعتماد به نفس وی نمی کاهد اما اگر فردی دچار نامرتبی دندان باشد، پس از مدتی با کمبود اعتماد به نفس مواجه خواهد شد. کاهش اعتماد به نفس، فعالیت های ساده اجتماعی هر فرد را تحت تاثیر منفی قرار می دهد.
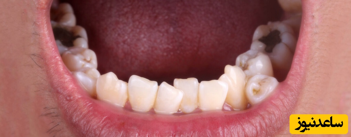
نکته دوم که اصلاح نامرتبی دندان را الزام می کند، سلامت دندان ها است. دندان هایی که به صورت نامرتب روی هم قرار میگیرند، زودتر پوسیده می شوند. پوسیدگی زودرس دندان ها، علاوه بر هزینه های زیادی که دارد، بیمار را در سنین پایین، با درد و تخریب دندان ها مواجه می کند.نامرتبی دندان باعث جویدن نامناسب غذا و عدم هضم آن می شود. از این رو باعث ایجاد مشکلات گوارشی نیز خواهد شد.

وقتی که دندان ها صاف و مرتب باشند، تمیز کردن آن ها هم راحت تر خواهد بود و در نتیجه شما دهان و دندان سالم تری خواهید داشت. اما وقتی که دندان های شما نامرتب و به هم ریخته باشد، تمیز کردن آن ها می تواند خیلی سخت یا حتی غیرممکن باشد، زیرا در این حالت مسواک یا نخ دندان نمی تواند به تمام سطوح یک دندان برسد. از طرفی وقتی که شما نتوانید دندان هایتان را به نحو مناسبی تمیز کنید، به مرور زمان پلاک و جرم در نقاطی که دسترسی به آنها وجود ندارد، انباشته می شوند. تجمع پلاک می تواند خطرات زیادی برای سلامت دهان و دندان شما داشته باشد و باعث ایجاد پوسیدگی و حفره در دندان های شما شود. اما وقتی که دندان های خود را با استفاده از ارتودنسی صاف و مرتب کردید، به راحتی خواهید توانست مسواک بزنید و نخ دندان بکشید.
صاف و مرتب کردن دندان ها در عمل فواید بسیار زیادی نیز برای تندرستی و سلامت عمومی شما خواهد داشت. هنگامی که شما به خاطر بی نظمی و نامرتبی دندان ها دچار بیماری های لثه می شود، در واقع خطر بروز بیماری های قلبی، سکته مغزی، عفونت ریه ها و دیابت نیز در شما بالاتر می رود. بی نظمی دندان ها همچنین می تواند باعث ایجاد مشکلات گفتاری و مشکل در جویدن غذا، بیماری های فک و ساییدگی شدید سطح خارجی مینای دندان ها شود. همچنین مرتب کردن دندان ها در کنترل و درمان دندان قروچه کودکان تاثیر بسزایی دارد.