بسیاری از کودکان بنا بر دلایل متعددی به درمان ارتودنسی نیاز دارند تا بتوانند در آینده دندان هایی صاف و مرتب و لبخندی زیبا و جذاب داشته باشند. به چندین دلیل مختلف می توان گفت که شروع درمان ارتودنسی در سنین پایین تر می تواند برای کودک شما منفعت بیشتری داشته باشد. معمولاً ابتدا دندانپزشک کودک در جریان یک معاینه دوره ای عادی که بر روی او انجام می دهد، به وجود مشکلاتی در فک و دندان های او پی می برد و او را به یک دندانپزشک متخصص ارتودنسی ارجاع می دهد. متخصص ارتودنسی یک دندانپزشک متخصص است که در زمینه اصلاح نامرتبی دندان ها و بی نظمی فک و دندان ها تخصص دارد.
به طور کلی مشکلاتی از قبیل پوسیدگی دندان در کودکان، افتادن زودهنگام دندان های شیری، مصدومیت های ناشی از تصادفات و یا عادت های ناسالمی مانند مکیدن شست در دوران کودکی می توانند باعث ایجاد عوارضی در دندان ها و فک کودک شوند که برای درمان آنها حتماً باید از ارتودنسی استفاده شود. مشکلات فک و دندان معمولاً حالت ارثی دارند و در صورتی که والدین کودک یا یکی از اعضای خانواده او در گذشته به ارتودنسی نیاز داشته اند، احتمالاً کودک هم به ارتودنسی نیاز خواهد داشت.
متخصصین ارتودنسي توصیه می کنند که کودکان تا سن هفت سالگی برای غربالگری ارتودنسی مورد معاینه قرار بگیرند. در سن هفت سالگی دندان ها و فک کودک به اندازه کافی رشد کرده اند و بنابراین دندانپزشک یا متخصص ارتودنسی می تواند مشخص کند که آیا خطر بروز مشکلات فک و دندان در آینده برای کودک وجود خواهد داشت یا خیر.
البته در اغلب موارد، نیازی به استفاده از درمان ارتودنسی در همان سن هفت سالگی کودک نیست، اما این فرصت برای والدین کودک و متخصصین فراهم می شود تا سرعت رشد و نمو کودک را تحت نظر داشته باشند و بهترین زمان و روش درمان را برای او تعیین نمایند. همچنین برای متخصصین ما این امکان فراهم می شود که پيشاپيش تدابیر لازم را بیندیشند تا از بروز مشکلات شدیدتر در آینده جلوگیری شود.
مشکل نامرتبی دندان ها
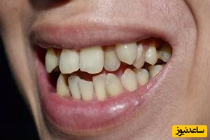
همه دندان ها از زمانی که درمی آیند به حالت صاف و مرتب رشد نمی کنند و همین امر می تواند باعث بروز یک سری مشکلات غیر قابل پیشگیری از جمله کجی، روی هم آمدن، شلوغی و به هم ریختگی دندانها در کودک شود و احتمالاً برای درمان همه این مشکلات باید از ارتودنسی استفاده شود. به طور کلی ارتودنسی به خاطر دلایل مرتبط با بهداشت دهان و دندان و یا زیبایی دندان ها به کودک توصیه می شود.
شلوغی دندان ها زمانی رخ می دهد که قوس دندان ها کوچکتر از آن باشد که بتواند دندان ها را در خود جا دهد. به هم ریختگی دندانها می تواند منجر به نازک شدن و پس رفت استخوان و لثه ها شود. افرادی که دندان های شدیداً شلوغی دارند بیشتر مستعد بیماری های لثه هستند زیرا برای آن ها مسواک زدن و نخ کشیدن به شکل صحیح دشوار است. سایر عوارض این مشکل عبارتند از ایجاد دندان های نهفته (دندان هایی که می بایست رشد کنند اما به دلیل کمبود جا نمی توانند)، مشکل در گاز زدن و جویدن و داشتن ظاهر ناخوشایند. معمولاً شلوغی دندان های این بیماران به حدی شدید است که می بایست قبل از درمان دندان های آسیاب کوچک آن ها کشیده شود.
کراس بایت به حالتی گفته می شود که در آن دندان ها به خوبی روی هم قرار نمی گیرند. بهترین هم ترازی دندان های بالا و پایین موقعی است که دندان های بالایی کمی روی دندان های زیری را بپوشانند. کراس بایت علاوه بر داشتن ظاهری ناخوشایند، باعث می شود که افراد نتوانند به درستی غذایشان را بجوند. دهان ما نقش مهمی در وضعیت کلی سلامتمان ایفا می کند. اگر نتوانیم به درستی غذایمان را بجویم از بسیاری از مواد مغذی که باعث حفظ سلامتمان می شوند محروم می شویم. معمولاً کسانی که کراس بایت دارند، هنگام باز و بسته کردن دهانشان، در فک خود وجود یک صدای تق یا جدا شدن چیزی را احساس می کنند. مشکل عدم هم ترازی فک ها می تواند باعث درد دهان، گردن و سر شود.

علائم و نشانه ها
نامرتبی و بی نظمی دندان ها را می توان با بررسی وضعیت ظاهری قوس های دندان تشخیص داد. شلوغی بیش از حد دندان ها در جلوی دهان ممکن است در هنگام حرکات صورت مثل لبخند زدن مشخص باشد. در این حالت دندان ها ممکن است بر روی یکدیگر هم پوشانی داشته باشند. به این ترتیب، هماهنگی عادی دندان ها بر روی قوس، تحت تاثیر قرار گرفته و بعضی از دندان ها به سمت داخل و بعضی دیگر به سمت خارج به منظور پیدا کردن جای خود متمایل می شوند.
شلوغی و به هم ریختگی دندان ها ممکن است در اوایل دوره در آمدن دندان های دائمی (دوره ای که دهان فرد هر دو دندان های شیری و دائمی را دارد) ایجاد شود. در اوایل این دوره، دندان های دائمی مثل دندان های پیشین در حفره دهان رشد می کنند. دندان های دائم از نظر اندازه بسیار بزرگتر از دندان های شیری از بین رفته هستند و به این ترتیب بخشی از شلوغی و بی نظمیدندان ها در دهان می تواند پس از در آمدن دندان های دائمی مشاهده گردد.
در مواردی که فرد بزرگسال با نامرتبی دندان ها مواجه شود، ممکن است فرد به سایر مشکلات دندان نیز دچار باشد. در این حالت قرارگیری نامناسب دندان ها و بی نظمی دندان ها در دهان می تواند آنها را مستعد انباشته شدن مواد غذایی و تشکیل جرم و پلاک بر روی دندان ها نماید. این شرایط می تواند باعث ابتلای فرد به مشکلات لثه و التهاب آن و نیز عقب رفتن لثه شود. بنابراین باید سریعتر اقدام به مرتب کردن، صاف کردن کردن و ردیف کردن دندان ها کرد.
برای درمان نامرتبی دندان ها چکار کنیم ؟










































