به گزارش سرویس سلامت ساعدنیوز، دندان های سیاه می توانند نشانه ای از پوسیدگی دندان یا حفره های زیرین باشند که باید در اسرع وقت مورد بررسی قرار گیرند. با این حال، دندان های سیاه همچنین ممکن است بر اثر لک ایجاد شده باشند. غذاها و نوشیدنی های مختلف می توانند کمی لک از خود به جا بگذارند را ترک کنند و باعث سیاهی دندان ها شوند.دندان ها رنگ خود را مدیون مقدار زیادی از کلسیم موجود در لایه بیرونی دندان، که مینا شناخته می شود، هستند.با گذشت زمان، عناصر اضافی که توسط غذاها و نوشیدنی ها به جای می ماند می توانند دندان ها را زرد یا خاکستری کنند. با این حال، اگر دندان ها سیاه شوند، فرد باید در اسرع وقت به دندانپزشک مراجعه کند.دندان ها به دلایل بیرونی یا درونی سیاه می شوند.ایجاد لک و رسوب انباشته شده روی دندان می تواند باعث سیاهی دندان شود.

به طور کلی از نظر عمق تغییر رنگ، سه نوع لکه دندان عبارتند از لکه های عمیق، لکه های سطحی و لکه های پیری.
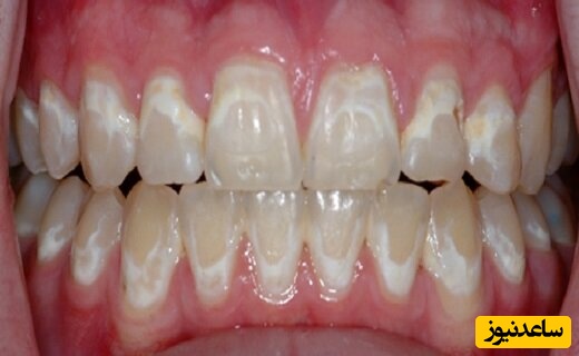
لکه های سطحی: این لکه ها در لایه بیرونی دندان که به آن مینا گفته می شود، ایجاد می شود. لکه ها و تغییر رنگ حاصل از مواد خوراکی مانند قهوه و چای، نوشابه و مواد دیگر از این نوع هستند. همچنین سیگار نیز می تواند باعث ایجاد لکه های سطحی شود.
لکه های عمیق: این لکه ها در ساختار داخلی دندان (لایه عاج) ایجاد می شوند. عاج رنگ تیره تری دارد. در موارد زیر، لکه های عمقی در لایه عاج ایجاد می شود:
در دوران کودکی که دندان ها در حال رشد هستند، در معرض زیاد فلوراید قرار گرفته اند
مادر شما در دوران بارداری و به ویژه نیمه دوم بارداری داروی آنتی بیوتیک تتراسایکلین مصرف کرده است
در کودکی دندان دائمی در حال رشد، در اثر آسیب هایی مانند ضربه خوردن ناشی از زمین خوردن یا تصادف آسیب دیده است
دندان دائمی دچار جراحت شده و خونریزی داخلی داشته است که باعث تغییر رنگ آن (قرمز، قهوه ای یا سیاه شدن دندان) شده است
ممکن است با وضعیت پزشکی نادری به نام استخوان سازی ناقص (دنتینوژنز ایمپرفکتا) متولد شده باشید که باعث می شود رنگ دندان ها خاکستری یا بنفش شود.
لکه های پیری: این تغییر رنگ شامل هر نوع نوع سطحی و عمقی می شود. لایه عاج با افزایش سن و به مرور زمان زرد میشود. از طرفی مینا که سطح دندان را می پوشاند به مرور زمان نازک تر شده و رنگ عاج را بیشتر نشان می دهد. از طرفی مصرف غذاهای پر رنگدانه و سیگار کشیدن نیز دندانها را زردتر میکند. در نهایت آسیب هایی مانند لب پر شدگی و ترک خوردگی باعث تغییر رنگ دندان می شوند.
و در سطوح گوناگون دندانی:این تجمع می تواند سبب تغییر رنگ شود و در برخی از موارد ممکن است شخص تغییر رنگ ناشی از تجمع جرم را با پوسیدگی اشتباه کند.اغلب در صورت وجود جرم، لثه ها ملتهب و قرمزرنگ است و در برخی از موارد قطعاتی از آن جدا می شود.در این مورد هم مانند موارد قبل شخص با مراجعه به دندان پزشک اقدام به درمان خواهد کرد. تجمع جرم سیاه رنگ به طور معمول در سطوح جونده ی دندان ها دیده نمی شود و اغلب در ناحیه ی اتصال لثه با دندان ها تشکیل شده و مشاهده می شود.