به گزارش سرویس سلامت ساعدنیوز، با عکس رادیوگرافی می توان فساد و پوسیدگی دندان را حتی زمانی که مینا هنوز سالم به نظر می آید، تشخیص داد، به ویژه وقتی پوسیدگی بین دندان ها مخفی شده یا زیر خط لثه باشد. عکس رادیوگرافی به تشخیص آبسه دندان، آسیب استخوان ناشی از بیماری پیر دندانی، شکستگی های فک و دندان سایر ناهنجاری های فک و دندان نیز کمک می کند. به علاوه، اطلاعاتی در زمینه دندان های درنیامده یا گیرکرده، در اختیار دندان پزشکان می گذارد.
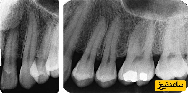
برای گرفتن عکس رادیوگرافی می توان از فیلم های سنتی یا فناوری دیجیتال استفاده کرد. برای کرم خوردگی ها از عکس «بایت وینگ» استفاده می شود. علت نامگذاری آن است که بخش کوچکی از فیلم در دهان و نزدیک دندان ها قرار می گیرد و شما برای نگه داشتن فیلم با دندان های خود روی پوشش کاغذی فیلم فشار می آورید. سپس دستگاه را روی دندان تنظیم کرده و اشعه می دهند. تصویر دیجیتال بلافاصله آماده می شود و ظهور فیلم رادیوگرافی هم چند دقیقه بیشتر طول نمی کشد.
به هر شکل که عکس گرفته شود، تصویر حاصل به دندان پزشک شما در تعیین اقدام مناسب کمک شایانی خواهد کرد. میزان اشعه ای که در خلال رادیوگرافی سنتی ساطع می شود، بی نهایت ناچیز است و مقدار اشعه به کار رفته برای گرفتن عکس دیجیتال حتی از این هم کمتر است. با این وجود هیچ کس نباید بیش از مقدار لزوم در مواجهه با اشعه قرار گیرد. در مورد اینکه چند وقت یک بار باید عکس بگیرید با دندان پزشک خودتان مشورت کنید. به عنوان اقدامی برای جلوگیری از دریافت اشعه ای بیش از حد، به شما پیش بندی داده می شود که از سینه تا پایین شکم را می پوشاند.

یافتن مشکلات دهانی مانند پوسیدگی دندان ، ساختارهای دندانی پنهان (مانند دندان عقل) و آسیب به استخوان های که از دندان حمایت می کنند (مانند ریشه های شکسته دندان). اشعه ایکس دندانپزشکی اغلب برای یافتن مشکلات اولیه حتی قبل از بروز هرنوع علائمی بکار می روند.
یافتن دندان هایی که در جای خود نیستند و یا به درستی در طول لثه رشد نکردند. دندان های که نامرتب و شلوغ رشد کردند به دندان های نهفته معروف هستند.
از طریق رادیوگرافی دندان ها، مشکلاتی چون کیست، تومور و آبسه تشخیص داده می شود.
موقعیت دندان های دائمی در حال رشد در فک کودکانی که هنوز دندان های اولیه یا شیری آن ها نیفتاده است بررسی می شود.
برای مواردی چون پوسیدگی های گسترده، جراحی عصب کشی، ایمپلنت دندانی و کشیدن دندان درمان مناسبی طرح ریزی می کند.
برای دندان هایی که مرتب نیستند درمان ارتودنسی را طرح ریزی می کند.
دندانپزشکان بدون عکسبرداری با اشعه ایکس ممکن است متوجه مراحل ابتدایی پوسیدگی دندان نشوند.
برای افرادی که دندان پوسیده ندارند و درمعرض ابتلا به پوسیدگی دندان نیستند:
افراد بزرگسال باید هر 2 تا 3 سال یک بار عکسبرداری با اشعه ایکس بایت وینگ داشته باشند.
نوجوانان باید هر یک سال و نیم تا 3 سال یک بار عکسبرداری با اشعه ایکس بایت وینگ داشته باشند.
کودکان هر 1 تا 2 سال یک بار باید عکسبرداری با اشعه ایکس بایت وینگ داشته باشند.
برای افرادی که دندان های آن ها پوسیده و یا در معرض ابتلا به پوسیدگی دندان هستند:
افراد بزرگسال، هر 6 ماه تا 18 ماه یک بار باید عکسبرداری و رادیوگرافی با اشعه ایکس بایت وینگ داشته باشند.
نوجوانان و کودکان هر 6 ماه تا 12 ماه یک بار باید عکسبرداری با اشعه ایکس بایت وینگ داشته باشند.
رادیوگرافی دندان انواع مختلفی دارد که هر کدام بسته به نوع دندان و شرایط بیمار اتخاذ می شوند و عبارتند از:
رادیوگرافی دندان بایت وینگ: در این روش بیمار یک قطعه کاغذی را که مجهز به دوربین رادیوگرافی است گاز گرفته و تصاویر بر روی مانیتور نمایش داده می شوند. این روش برای بررسی حفره های دندان ها بسیار مناسب می باشد.
رادیوگرافی دندان پری اپیکال: این روش برای نمایش دادن تمامی دندان ها اعم از تاج و فک فوقانی استفاده می شود. به طوری که هر گونه تغییرات غیر معمول در ریشه و تمامی ساختار های استخوانی به طور واضح در صفحه مانیتور نمایش داده می شوند.
رادیوگرافی دندان اکلوزال: این روش زمانی انجام می شود که فک بیمار بسته باشد و پزشک بخواهد تصویر دندان های روی هم قرار گرفته را مشاهده کند. همچنین تمامی ناهنجاری های آناتومیکی که در روی دندان، کف یا طاق دندان وجود دارد، قابل نمایش خواهد بود.