به گزارش سرویس سلامت ساعدنیوز، اگر تصمیم به درمان ارتودنسی گرفته اید یا یکی از نزدیکان شما قصد ارتودنسی دارد، بی شک آگاهی از نحوه عملکرد دستگاه های ارتودنسی برای شما جالب توجه خواهد بود. قبل از هر اقدامی متخصص ارتودنسی شرایط شما را بررسی می نماید و در صورتی که تشخیص دهد مشکل شما با درمان ارتودنسی قابل حل است، از این دستگاه ها برای درمان شما بهره می گیرد.نحوه عملکرد دستگاه های ارتودنسی بسیار متنوع است و هر یک بر اساس شرایط بیمار با هدف مشخصی استفاده می شوند. اساس عملکرد دستگاه های ارتودنسی بر محور وارد کردن نیرو به دندان ها و فک و بدین ترتیب جا به جایی تدریجی و آهسته است. این جا به جایی به قدری آهسته است که ممکن است برای شما نا محسوس باشد. البته در صورتی که قرار باشد فضای خالی دندان ها که حتی ممکن است با تشخیص متخصص کشیده باشید، با درمان ارتودنسی پر شود، ممکن است این جا به جایی برای شما محسوس تر باشد.
دستگاه های ارتودنسی قرار گرفتن دندان ها نسبت به یکدیگر و ناهنجاری های فک را نیز اصلاح می نمایند. در ملاقات های منظمی که با متخصص خود دارید، این دستگاه ها برای مرحله بعدی تغییرات، فعال می شوند تا کاملا آهسته و معمولا طی مدت 2 سال، فرایند درمان شما کامل شود.
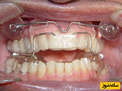
درمان ارتودنسی نیاز به آماده سازی قبلی بیماران دارد.درمان صحیح ارتودنسی نیاز به نظم خاص و آماده سازی بیماران دارد. این آماده سازی شامل جرم گیری، ترمیم پوسیدگی ها، کشیدن دندان ها (در صورت نیاز) و آموزش بهداشت است. شرط اصلی درمان ارتودنسی موفق، همکاری بیمار و عمل به توصیه های دندان پزشک است. چون درمان ارتودنسی در مدت زمان نسبتا طولانی انجام می گیرد بنابراین علاقه و اشتیاق بیمار در به دست آوردن نتیجه ای خوب، تاثیرگذار است.دستگاه های ارتودنسی با اعمال نیرو روی دندان موجب جابه جایی آنها می شوند. این نیروها در حد نیروهای بیولوژیک هستند و دندان پزشک با اطلاع کامل از میزان آنها و محاسبه با روش های خاص درمانی اقدام به اعمال آنها می کند. پس از هر جلسه درمانی درد اندکی به وجود می آید که علت آن فعال سازی دستگاه توسط دندان پزشک است. معمولا این درد 3 تا 5 روز به طول می انجامد و تا فعال سازی بعدی از بین می رود. برای رفع این درد می توان مسکن مصرف کرد. استفاده کوتاه مدت از داروهای ضدالتهاب هیچ گونه مغایرتی با درمان های ارتودنسی ندارد (استفاده بلند مدت از داروهای مسکن توصیه نمی شود). دو نوع دستگاه ارتودنسی وجود دارد که دستگاه متحرک حین درمان توسط بیمار قابل خارج شدن و جای گذاری است و نوع دستگاه ثابت را فقط ارتودنتیست می تواند جای گذاری کند و در پایان درمان از دهان خارج کند.
نحوه عملکرد دستگاه های ارتودنسی با وارد کردن نیرو و جا به جایی تا حصول نتیجه مورد نظر است. یکی از مهم ترین قسمت دستگاه های ارتودنسی براکت ها هستند، براکت ها که ممکن است فلزی یا سرامیکی باشند، براکت ها به دندان چسبانده یا باند می شوند و نگه دارنده سیم های ارتودنسی هستند. سیم های ارتودنسی، معمولا سیم هایی فلزی هستند که دندان ها را به محل مورد نظر هدایت می کنند.

برای جلوگیری از طولانی شدن درمان و حصول بهترین نتیجه لازم است تا به توصیه های متخصص ارتودنسی توجه نمایید تا از شکستن براکت ها جلوگیری شود. همچنین ملاقات های منظم برای تنظیم طول سیم های ارتودنسی ضروری است. ممکن است متخصص ارتودنسی از الاستیک ها نیز برای درمان استفاده نماید. الاستیک ها که به براکت ها و سایر دستگاه های ارتودنسی بسته می شوند، نوارهای کوچک کشی هستند که به دندان ها فشار می آوردند تا بهتر جا به جا شوند.
دستگاه های ارتودنسی با اعمال نیرو روی دندان موجب جابه جایی آنها می شوند. این نیروها در حد نیروهای بیولوژیک هستند و دندان پزشک با اطلاع کامل از میزان آنها و محاسبه با روش های خاص درمانی اقدام به اعمال آنها می کند. پس از هر جلسه درمانی درد بسیار اندکی به وجود می آید که علت آن فعال سازی دستگاه توسط دندان پزشک است. معمولا این درد 3 تا 5 روز به طول می انجامد و تا فعال سازی بعدی از بین می رود. برای رفع این درد می توان مسکن مصرف کرد. استفاده کوتاه مدت از داروهای ضدالتهاب هیچ گونه مغایرتی با درمان های ارتودنسی ندارد (استفاده بلند مدت از داروهای مسکن توصیه نمی شود).
دستگاه های ارتودنسی طبق اصول مشخصی از عملکرد معینی برخوردارند. این عملکرد با استفاده از دستگاه های ارتودنسی متفاوت است. در رابطه با این موضوع باید عنوان کنیم که دندان های بالا و پایین به منظور جویدن درست مواد غذایی باید بر روی یکدیگر قرار گیرند. اگر وضعیت دندان ها مناسب نباشد و یا فرد از ناهنجاری فک بالا و پایین برخوردار باشد، مسلماً در جویدن غذا با مشکلاتی مواجه خواهد شد. شاید این مشکل بعد از گذر زمان به یک عادت تبدیل شود اما عدم جویدن مناسب سبب خواهد شد که فرد در هضم غذا با مشکلاتی مواجه گردد و در صورت تکرار این عمل دستگاه گوارش و در نهایت سیستم بدنی فرد دچار اختلال میشود.عملکرد دستگاه های ارتودنسی به این صورت است که دندان های بالا و پایین در وضعیت مناسبی قرار گرفته و عمل جویدن به درستی انجام خواهد گرفت. از نکات مهم در رابطه با عملکرد دستگاه ارتودنسی این است که دندان ها در جایگاه مناسب خود در دو فک بالا و پایین قرار خواهند گرفت و درنتیجه فشار در تمامی قسمت های دندان ها به یک اندازه خواهد بود. این امر باعث خواهد شد که فشار کمتری به ریشه ها اعمال شود.