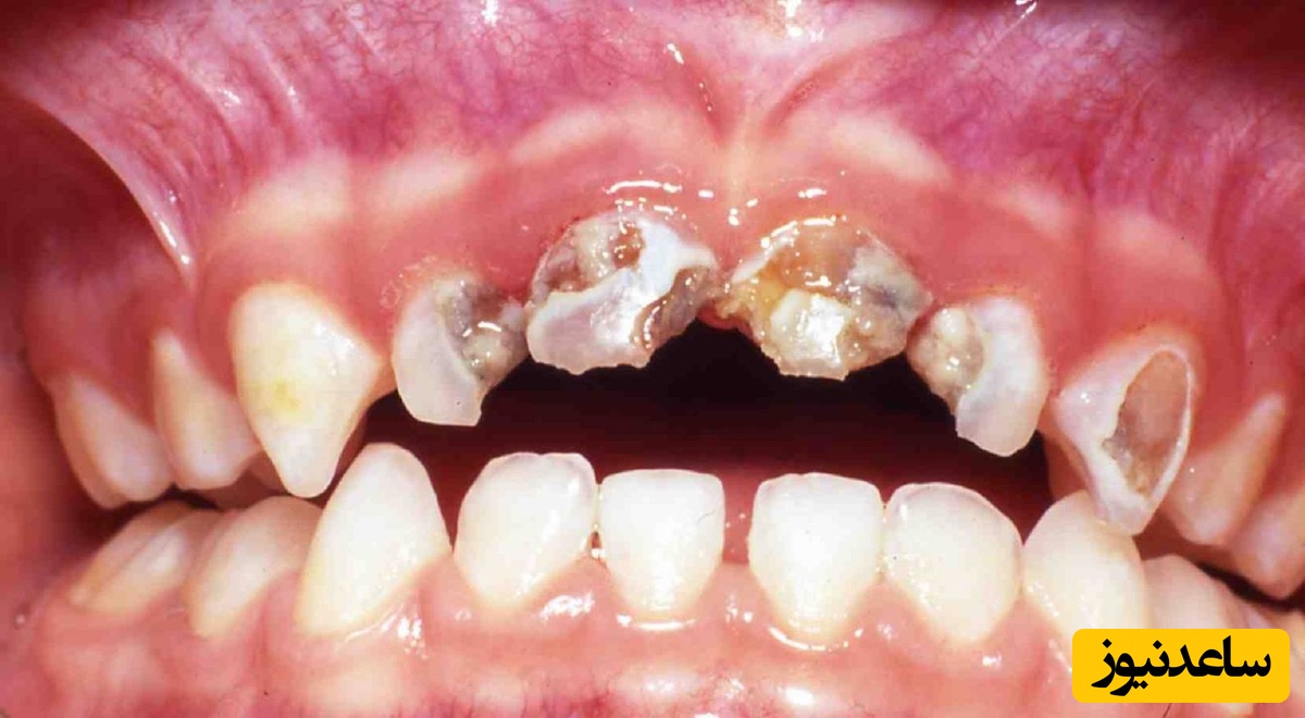
دندانهای شیری از سن ۶ ماهگی شروع به رویش کرده و تا ۲ سالگی کامل می شوند. مدت عمر این دندانها تا انتهای دوره کودکی یعنی حدود ١٢-١٠ سالگی می باشد.البته ممکن است در برخی از افرد بیشتر از این مدت در دهان باقی بمانند. حال گاهی این دندانها زودتر از موعد مقرر خراب می شوند.برای مثال کودکی که تنها ۴ سال سن دارد و دندانهای او خراب شده اند، به پوسیدگی زودرس مبتلا شده است.پوسیدگی زودرس دوران کودکی به وجود هر سطح پوسیده پرشده یا از دست رفته در دندانهای شیری کودک ۶ سال یا کوچکتر اطلاق می شود.
علت پوسیدگی زودرس در دندانهای شیری
بسیاری از والدین تصور می کنند قطره آهن و مکملها ی مولتی ویتامین موجب پوسیدگی زودرس دندانهای کودکان می شود.در حالی که این داروها تنها رنگ دندان را تغییر می دهند و هیچ تاثیری بر پوسیدگی دندان ندارند. دلایلی که موجب ایجاد این عارضه می شود عبارتند از:
- بی توجهی به بهداشت دهان و دندان کودک از زمان رویش اولین دندان های شیری
- الگوی تغذیه ای نا مناسب خردسالان و زیاده روی در استفاده از نوشیدنی های شیرین از جمله کاربرد مکرر شیشه شیر در طول روز یا به خصوص شب
- کاهش جریان بزاق خردسال در حین خواب که در صورت عدم کاربرد مسواک قبل از خواب توسط والدین و همچنین خوردن شیر از مادر یا با شیشه توسط نوزاد پوسیدگی رخ خواهد داد.
- وجود پوسیدگی های متعدد درمان نشده در دهان پدر و مادر کودک چرا که باکتریهای پوسیدگی زا از دهان والدین به خصوص مادر به دهان نوزاد منتقل می شوند.
- عدم معاینه کودک و نداشتن اطلاعات صحیح جهت انجام اقدامات پیشگیرانه از بروز پوسیدگی زودرس. به همین دلیل بهتر است مشاوره جهت اقدامات بهداشتی نوزاد از دوران بارداری شروع شود و اولین ملاقات دندانپزشکی در حدود ۶ ماه پس از رویش اولین دندان شیری و نه دیرتر از یکسالگی صورت گیرد.
- مصرف مکرر میان وعده های غیرمفید از قبیل تنقلات و شکلات
- مصرف برخی داروها در مادر که از طریق شیر بر روی دندانهای کودک تاثیر مخرب بر جای می گذارد.

پوسیدگی دندان هنگامی ایجاد می شود که دهان کودک به باکتری های تولید کننده اسید آلوده شوند. این باکتری و آلودگی از طریق بزاق والدین نیز منتقل می شود. به عنوان مثال از طریق اشتراک گذاشتن قاشق یا فنجان مشترک یا تمیز کردن پستانک و شیشه شیر با دهان والدین پخش خواهد شد.پوسیدگی دندان هنگامی ایجاد می شود که دندان ها و لثه کودک در مدت طولانی یا بطور مکرر در طی روز در معرض مایعات یا مواد غذایی دیگری جز آب قرار بگیرد. قند های طبیعی یا افزودنی در مایعات و مواد غذایی می تواند سبب ایجاد باکتری در دهان و تغییر آن به اسید شوند. این اسید در قسمت بیرونی دندان توسط بزاق حل شده و سبب پوسیدگی خواهد شد.متداول ترین روش این امر آن است که والدین فرزند خود را با یک پستانک یا شیشه شیر حاوی شیر و آبمیوه به رخت خواب می فرستند. همچنین ممکن است این اتفاق زمانی رخ دهد که پدر مادر هر دو دارای پوسیدگی های دندانی متعدد درمان نشده ای باشند و با لیوانی مشترک با فرزند خود چیزی بنوشند.نوشیدن شیر هنگام چرت زدن و خوابیدن کودک پیشنهاد نمی شود زیرا باید در کنار وعده های غذایی و در طول روز نوشیده شود. اگر چه شیردهی طولانی مدت و مکرر به تنهایی باعث پوسیدگی دندان نمی شود اما تمام مادران شیرده باید از بهداشت دهان و دندان سالم ، خمیردندان حاوی فلوراید، مراقبت های دندان پزشکی و توصیه های رژیم غذایی سالم آگاه و از آن ها پیروی کنند.
چرا باید نگران پوسیدگی دندان شیری کودک خود باشم
درمان نشدن به موقع پوسیدگی دندان های شیری در کودکان ممکن است درد و ناراحتی برای آنها به همراه داشته باشد. در موارد حاد حتی شاید لازم باشد دندان شیری کشیده شود.اگر پوسیدگی دندان شیری باقی بماند یا بر اثر شدت پوسیدگی مجبور به خارج کردن دندان از دهان شویم، ممکن است در غذا خوردن کودک ناتوانی به وجود آمده و در نتیجه کودک دچار سوء تغذیه شود.همچنین خارج شدن زودهنگام دندان شیری می تواند بر روی تکلم کودک اثر گذاشته و باعث مشکلات گفتاری در او شود.از آنجا که دندان های شیری عامل مهمی در رویش دندان های دائمی زیرین خود هستند، از دست رفتن زودهنگام آن ها می تواند رویش دندان های دائمی را دچار مشکل کرده و باعث کج شدن آن ها شود.
بلیچینگ دندان ها و نکاتی که باید بدانید!










































