صفحه اصلی
●
درباره ما
●
English
●
العربية
Wednesday, April 29, 2026
چهارشنبه، 09 اردیبهشت 1405
ساعدنیوز
●
درباره ما
●
زبان
فارسی
English
العربية
دسته بندی ها
بستن
جستجو
سیاست
جامعه
حوادث
اقتصاد
ورزش
دانشگاه
موسیقی
هنر و رسانه
علم و فناوری
بازار
مجله خانواده
ویدیو
عکس
خبر با تو
استانها
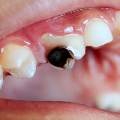
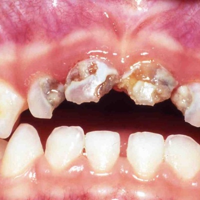
پوسیدگی دندان
همه چیز در مورد پولیش دندان
درمان سه سوته دندان درد در خانه
شیار پوشی دندان چگونه می باشد؟
مکمل های طبیعی برای سلامت دندان و دهان
درمان و جلوگیری از پوسیدگی دندان با چند روش مختلف
چند راه طبیعی برای جلوگیری از پوسیدگی در مینای دندان
درمان پوسیدگی دندان با نمک
چگونه از آغاز پوسیدگی دندان پیشگیری کنیم؟
آیا دندان از داخل دچار پوسیدگی میشود؟
دلایل عفونت دندان کودکان
پیشگیری از کرم خوردگی دندان در کودکان
علائم کرم خوردگی زود هنگام دندان در کودکان
موادغذایِی اسیدی چگونه به سلامت دندان آسیب می رسانند؟
تاثیر غذاهای اسیدی روی دندان ها چیست؟
چگونه با افزایش سن می توان تغییرات دندان را عقب انداخت؟
عوارض و ضرورت درمان پوسیدگی دندان کودک
علت سیاه شدن دندان کودک دو ساله چیست؟
چگونه از پوسیدگی دندان کودکان جلوگیری کنیم ؟
علت پوسیدگی دندان کودک چیست ؟
درمان پوسیدگی دندانهای شیری الزامی است؟
این مطلب را بخوانید، همه چیز را درمورد پاستیل بدانید!
کاربرد لیزر در دندانپزشکی چیست؟
چگونه میتوان مشکلات دهان و دندان را در دوران بارداری از بین برد؟
اگر کراس بایت درمان نشود چه مشکلاتی به بار می آورد؟
در مورد ساختار دندان های شیری و دائمی چه میدانید؟
علت افزایش پوسیدگی وعفونت دندان چیست؟
چگونه از حساسیت دندانی جلوگیری کنیم؟
انواع پوسیدگیهای دندان از نظر عمق
علل بروز حفره های دندانی چیست؟
باکتری استرپتوکوکوس موتانس عامل اصلی پوسیدگی دندان
۷ راه موثر برای پیشگیری از پوسیدگی دندان
دارویی که جایگزین پر کردن دندانها میشود
کدام دارو ها دندان را خراب میکنند؟
انواع پوسیدگی دندان کودکان و شیرخواران
چند راه کم هزینه برای جلوگیری از پوسیدگی دندان در کودکان
علل ایجاد پوسیدگی دندانی زودرس در کودکان چیست؟
چگونه می توان از پوسیدگی دندان جلوگیری کرد؟
عوامل مهم پوسیدگی دندان را بشناسیم
تغذیه مناسب برای دندان چیست؟
آموزش مراحل مسواک زدن صحیح
عوامل خطر پوسیدگی دندان در بزرگسالان چیست؟
داروهایی که عامل پوسیدگی دندان می شود
نقش بزاق دهان در سلامتی انسان چیست؟
چرا نباید از خلال دندان استفاده کنیم؟
پوسيدگي دندان شیرخواران چگونه اتفاق می افتد؟
چگونه از پوسیدگی دندان در کودکان و شیرخواران جلوگیری کنیم ؟
عوارض روکش دندان چیست؟
دندان پوسیده را چطور میتوان تشخیص داد؟
علائم پوسیدگی دندان و جلوگیری از آن
علل پوسیدگی دندان از داخل چیست؟
دلایل خرد شدن ناگهانی دندان
ایا پوسیدگی دندان میتواند ژنتیکی باشد؟
بهترین روش ها برای برطرف کردن زردی دندان
علت زرد شدن دندان ها چیست؟
عوارض و خطرات دندان پوسیده بر بدن
لکه های قهوه ای روی دندان و درمان آن
سیاه شدن بین دو دندان و دلایل آن
تغییر رنگ دندان چیست و درمان آن
خواص چای سبز برای دندان و لثه
6 عارضه ی تنفس از طریق دهان
صفحه قبل
صفحه بعد
از سراسر وب
رستم را به بهانه رد خون پسر بر دستانش، تنها رها کردند/ پرویز پرستویی از «راز رستم» نوشت+فیلم
تماشای بازیهای تیم ملی فوتبال با لباس مخصوص بازیکنان در منزل توسط سردار شهید سلامی+فیلم
نخود لاک (مغسول)؛ گنجینهای گیاهی برای لاغری و سلامت
ماجرای طلاق بابک جهانبخش از همسر اولش: تلاشمونوکردیم نشد برای اینکه بچه ام تنش نبینه بهترین کار این بود جداشیم+فیلم
الهه رضایی و گیتی خامنه مجریان خاطره انگیز دهه شصت در مراسم اکران سینمایی فیلم باغ کیانوش +فیلم
بلیت های جام جهانی دست نیافتنی شد؟
خبر مهم برای دانشجویان دانشگاه تهران: اینترنت و زیرساخت پیامنور در اختیار شما
زیباترین عاشقانه عنصری بلخی با شعرخوانی بخصوص رشید کاکاوند/ چه عشق عمیق ولی عجیبی! با همین بیت میشه فهمید چه مجنون بیمنطقی بوده!
پیشنهاد ویژه
نگاهی به چیدمان شاهانه و مجلل منزل «بهاره رهنما» / از مبلمان مدرن و پردههای اعیانی تا ویوی ابدی و کتابخانه و تابلوهای هنری
عکس | نگاهی به افراد خوش شانسی که سعادت سوار شدن به هواپیمای شخصی سردار آزمون را داشتن / از مهمان همیشگی تا اهالی تیم ملی
5 جمله مخرب که هرگز نباید به نوجوان خود بگویید!
برگهی امتحانی این دانشجوی طناز و تنبل حماسه آفرید/ اگه میخوای منو بندازی با ده بنداز😂 + عکس
مطالب پیشنهادی
عکس هنری جیران مشهور به "فیل خانم "، همسر عاشق پیشه برادر احمدشاه قاجار/ + زن جوانی که بشکل فجیعی به قتل رسید
انتشار برای اولین بار؛ لحظاتی دلخراش از وداع خانواده شهید لاریجانی با پیکر عزیزانشان/ پدر و پسری که طاقت دوری از هم را نداشتند...+فیلم
سبک و سلیقه مدرن حدیث میرامینی برای چیدمان خونه دوبلکس و شاهانه اش/ سرویس خواب چوبی با دیوار سه بعدی
نگاهی به کیک تولد 1 سالگی و 4طبقه آروکو پسر سپهر حیدری/ کیک نیست کاخه واسه خودش+ عکس
پربازدیدترین ویدئوهای روز
طالعبینی روز؛ دوباره آشتی میکنید یا برای همیشه رفته؟ سکوتش یعنی دلتنگی؛ منتظر نشونهای غیرمنتظره باش...❤
طالعبینی روز؛ پیامی که منتظرشی، این جدایی پایان نبود؛ همین حالا داره با حسرت بهت فکر میکنه؛ بین غرور و عشق گیر کرده❤/ سهشنبه 8 اردیبهشت 1405
ببینید| تمسخر جالب ترامپ توسط سخنگوی دولت را ببینید + ویدیو
کائنات پیام ویژه ای برات داره؛ اگر امروز فقط تونستی نفس بکشی و ادامه بدی، بدون که همین هم یه پیروزیه. همیشه لازم نیست قوی به نظر بیای.../ پیام انگیزشی امروز 7 اردیبهشت 1405+ ویدئو
پیام کائنات امروز برای متولدین هر ماه / اشکالی نداره اگر گاهی احساس سردرگمی کنی، تو گم نشدی… فقط داری به خودِ تازهت تبدیل میشی
کائنات پیام ویژهای برات داره؛ جوری زندگی کن که وقتی به عقب نگاه میکنی، رد پای تلاشت روی لحظهلحظهی زندگیت حک شده باشه/ پیام انگیزشی امروز 8 اردیبهشت 1405
الهام اخوان ثابت کرد یار خوب تمام ماجراست: اوایل زندگی مشترکمه، با همسرم اختلاف داریم ولی امنیتم را مدیون همسرم هستم+فیلم
الهام اخوان خطاب به رضا پهلوی:پاشو برگرد ایران! منم معترضم! خودشو نه ولی پدرشو میشناختم...+فیلم
وب گردی
حوادث
بیشتر
کارآگاه بازی تازه عروس ، شوهرش را روانه زندان کرد+ جزئیات
خودکشی هولناک پسر 10 ساله | چرا این بچه خودش را حلقآویز کرد؟
قتل مشکوک دختربچه 9 ساله در سیستان و بلوچستان / ضجههای جگرسوز مادر؛ مردان مسلح او را ربودند تا جنازه سوخته اش پیدا شد
لحظات نفس گیر نجات گروگان ها از چنگال تروریست ها + فیلم / ماجرای نیمروز، چابهار ...
قتل وحشتناک دختر جوان تهرانی / او را با بدن سوخته در خیابان پیدا کردند+ جزئیات
مردی برای برداشت 19 هزار و 300 روپیه از حساب خواهرش، اسکلت او را از خاک بیرون آورد و به بانک برد + ویدئو
آتشسوزی در کارخانه چسب صوفیان آذربایجان شرقی؛ 14 نفر مصدوم شدند
تجاوز بی رحمانه دو پسرخاله به دختری پس از آشنایی درسایت همسریابی+ جزئیات
آخرین تصاویر
بهترین پیشنهاد سفر برای تازه عروس دامادها؛ روستایی که شاه قاجار در آن عاشق شد+ عکس
مقبرهای پر از «گنج» که در باغ زیتون کشف شد+عکس
ویژه روز ماما / مجموعهای از بهترین پیامهای تبریک روز جهانی ماما 1404؛ از دوستانه تا طنز و رسمی + عکس و ویدئو ویژه استوری
تهرانیها 📢 این جمعه بزنید به دل طبیعت تنگه واشی و یه حالِ اساسی کنید!+ عکس
عشق و دلدادگی به روایت مهران غفوریان؛ استوری معنادار هنرمند طنز ویژه تولد امام رضا «ع»
آموزش گام به گام طرز تهیه خورشت کرفس خوشمزه با یه ترفند خاص+ عکس
دختری که هرگز موهایش را کوتاه نکرده است
نگاهی به چیدمان پینترستی جشن تولد یک سالگی پسر بهرام رادان و مینا مختاری با تم خرس قهوه ای+عکس
آخرین ویدیو ها
سفری کوتاه به بهترین جاذبههای دیدنی سواحل زیبای کیش+ ویدئو
بازیگر سینما: چیزی که حافظ خاک ایران است، قرآن است
زیباترین سازههایی که برنده جایزه معماری 2025 شدند/ از ساختمان یک مترویی در ایران تا ساختمانی در مصر
طرز تهیه کوفته سبزی غذای سنتی و محلی شیرازی ها
خاطره بازی؛ یادی کنیم از اولین تجربه بازیگری پریناز ایزدیار «هانده ارچل سینمای ایران» در سال 1386+فیلم
رستم را به بهانه رد خون پسر بر دستانش، تنها رها کردند/ پرویز پرستویی از «راز رستم» نوشت+فیلم
ویژه 27 شهریور؛ زیباترین پیامهای تبریک روز شعر و ادب پارسی و روز بزرگداشت استاد شهریار / از عاشقانهترینهای استاد شهریار تا اشعار ترکی + عکس و ویدئو ویژه استوری
ویژه علاقه مندان به مستند حیات وحش حیوانات/ دانلود یکی از این کلاغها لطفا😍
طرز تهیه غذای سنتی فراموش شده شمالی؛ خورش اسفناج قالی با طعم اصیل سنتی و البته منحصربفرد
عشق شمس تبریزی ز بیداری و شبخیزی... مثال ذره گردان پریشانم به جان تو؛ منحصربفردترین غزل مولانا از زبان رشید کاکاوند/ جنون عاشقانهای که مولانا را به اوج کشاند
(ویدئو) سفری نوستالژیک به دنیای بازیهای آتاری؛ متولد دهه 60 و 70 هستی و این بازیها یادت نمیاد؟! 😍
زیباترین عاشقانه مولانا؛ نگفتمت مرو آنجا که آشنات منم!/ بی برو و برگرد متفاوتترین غزلی که تا حالا از مولانا شنیدید همین غزله👌
سایر ویدیوها
ویژه علاقه مندان به مستند حیات وحش حیوانات/ دانلود یکی از این کلاغها لطفا😍
طرز تهیه بستنی سنتی کشدار به روش بستنی فروشیهای قدیمی
(ویدئو) مستند حیات وحش حیوانات/مار پیتون در حال بلعیدن طعمه غیرممکن!
می نوش؛ شورانگیزترین رباعی خیام با آواز روح افزای استاد شجریان/ شاهکاری که زیبایی جاودانه اش را از دو ستاره آسمان ادب و هنر وام گرفته است👌
شعرخوانی غمانگیز حمیدرضا آذرنگ با اشعار فراموششده درباره خنده؛ شعر به این فاخری را باید قاب گرفت + ویدئو / دوام هر چه به عالم نجیب خندهی تو❤️ ...
زیباترین عاشقانه عنصری بلخی با شعرخوانی بخصوص رشید کاکاوند/ چه عشق عمیق ولی عجیبی! با همین بیت میشه فهمید چه مجنون بیمنطقی بوده!
فیلم آموزش طرز تهیه شیرینی زبان خانگی
مهران مدیری: این 3 کتاب مسیر زندگی من را عوض کرد / معرفی شاهکارترین رمان های تاریخ از مرگ ایوان ایلیچ تا جان شیفته
تعجب دکتر عزیزی و المیرا شریفی مقدم از قانون خانواده یکی از بینندگان/ دیدن این ویدیو برای تمام مادرها ضروریست
(ویدئو) مستند حیات وحش حیوانات/ خرس مادر در نبردی مرگبار برای نجات تولههایش
حاج آقای قرائتی؛ یه آقایی بوده آرزو داشته زنش زیباترین زن دنیا باشه اومد خونه دید...../ همه رو منفجر شدن از خنده 🤣
(ویدئو) سفری نوستالژیک به دنیای بازیهای آتاری؛ متولد دهه 60 و 70 هستی و این بازیها یادت نمیاد؟! 😍