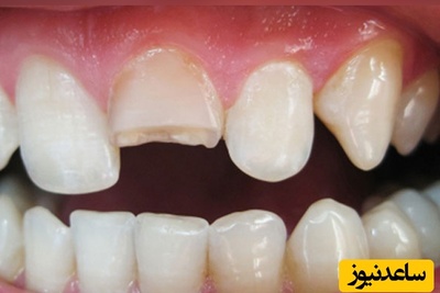
علت پوک شدن و خرد شدن دندان ها چیست و روش پیشگیری و درمان خرد شدن دندان ها را میدانید؟ بعضی از بیماران هنگام مراجعه به دندان پزشک از این شکایت دارند که دندان هایشان با کوچک ترین فشار هنگام جویدن غذای سفت تکه تکه و خرد می شوند. چه عواملی سبب خرد شدن دندان ها و از بین رفتن آن ها می شود ؟
– چرا دندان ها پوک می شوند و علت خرد شدن ناگهانی دندان ها چیست؟
– آیا اصطلاح پوک شدن دندان ها درست است؟
اصطلاح پوک شدن دندان بیشتر یک حالت عینی از پدیده تکه تکه شدن دندان هاست. علت تکه تکه شدن دندان ممکن است پوسیدگی های عمیق عاجی باشد یا می تواند از نقایص مینایی و عاجی ارثی و اکتسابی نشات بگیرد.اما مهم ترین علت خرد شدن ناگهانی دندان همان پوسیدگی های عمیق عاجی است. در بسیاری از موارد گسترش پوسیدگی به عاج وجود دارد در حالی که لایه بیرونی مینای دندان نسبتا سالم باقی مانده و دندان از بیرون نمای طبیعی دندان سالم را دارد. در واقع ، مورد خاصی از بیرون مشاهده نمی شود اما مینای دندان بدون حمایت مانده است. مینای بدون حمایت به شدت مستعد شکستگی است ، در نتیجه با کوچک ترین فشار در هنگام جویدن غذا دندان ترک می خورد و خرد می شود.
علت خرد شدن دندان ها
از علل دیگر می توان به نواقص تکاملی مینایی و عاجی که در دندان پزشکی به آن آملوژنز ایمپرفکتا یا دنتینوژنز ایمپرفکتا و غیره گفته می شود ، اشاره کرد. به بیان دیگر ، هر عاملی که در تشکیل درست ساختار مینایی و عاجی نقص ایجاد کند ، می تواند باعث پوکی یا آهکی شدن دندان ها شود. در این اختلال ها مینای درگیر ، نرم تر است و بر اثر نیروهای جویدن به آسانی جدا می شود و در نتیجه عاج دندان قابل رویت خواهد شد. دندان های درگیر متخلخل و مستعد تجمع پلاک هستند. این دندان ها در معرض پوسیدگی و شکستگی های بعدی قرار دارند.
در عارضه ای به نام آملوژنز ایمپرفکتا ، نقص در بلوغ ساختمان کریستال مینا یا مشکل در معدنی شدن کامل مینا وجود دارد. این نقص تکاملی نیز می تواند باعث بروز شکستگی های ناگهانی دندان شود. اختلال ژنتیکی دیگری هم داریم ( دنتینوژنز ایمپرفکتا ) که در این نقص نیز عاج دندان به طور ناقص تشکیل می شود و مستعد شکستگی های بعدی است.

یکی از بیماری های شایع امروزه، پوکی استخوان است که اغلب در سالمندان دیده می شود. علت ابتلا به پوکی استخوان عدم مصرف لبنیات و مواد غذایی حاوی کلیسم و ویتامین D، نداشتن ورزش در برنامه روزانه و خودداری از فعالیت، مصرف برخی از داروهای مسکن و ... عنوان شده است. دندان ها هم مانند استخوان با وجود کلسیم و ویتامین D استحکام می یابند. حال اگر فرد به پوکی استخوان مبتلا شده باشد، دندان های او هم ضعیف می شوند. در این موارد دندان های ضعیف در مقابل ضربات کوچک شکسته می شوند.
یکی دیگر از دلایل شکستن دندان را می توان افزایش سن دانست. دندان های افراد سالمند با دندان های جوانان از نظر میزان مقاومت در یک سطح قرار نمی گیرند. هر چه سن بالاتر می رود، دندان ها هم ضعیف تر و شکننده تر می شوند. بنابراین لازم است تا افرادی که مسن به طور مرتب به دندانپزشک مراجعه کنند

راه جلوگیری از خرد شدن ناگهانی دندان چیست؟
همان طور که گفته شد، شایع ترین علت خرد شدن ناگهانی، پوسیدگی دندان و بهترین راه برای تشخیص زودرس پوسیدگی، مراجعه دوره ای به دندان پزشک است.در مورد نواقص ناشی از پوسیدگی های عمیق عاجی، در بسیاری از مواقع، اگر مشکل بیمار در مراحل اولیه تشخیص داده شود، با درمان ساده و کم هزینه می توان از خردشدن دندان ها به خوبی پیشگیری کرد.در مورد سایر نواقص مراقبت های حین و بعد از دوران بارداری حائزاهمیت است زیرا تهوع و استفراغ طولانی مدت و تب بالا و تکرار شونده مادر قابل کنترل است و با روش هایی می توان تولد زودرس نوزاد را تا حدودی به تعویق انداخت.با این حال، بسیاری از نواقص مادرزادی به خودی خود قابلیت پیشگیری ندارند. چنین بیمارانی بعد از تشخیص نقص توسط دندان پزشک باید با مراجعه های منظم و دوره ای درمان وسیع برای برطرف کردن این نواقص را آغاز کنند.
درمان های خانگی درد فک










































