صفحه اصلی
●
درباره ما
●
English
●
العربية
Thursday, May 21, 2026
پنجشنبه، 31 اردیبهشت 1405
ساعدنیوز
●
درباره ما
●
زبان
فارسی
English
العربية
دسته بندی ها
بستن
جستجو
سیاست
جامعه
حوادث
اقتصاد
ورزش
دانشگاه
موسیقی
هنر و رسانه
علم و فناوری
بازار
مجله خانواده
ویدیو
عکس
خبر با تو
استانها
سلامت دندان
چرا دندان دائمی پشت دندان شیری رویش می کند؟
چطور از زردشدن دندانها جلوگیری کنیم؟/ 7 روش برای سفیدکردن طبیعی دندانها در خانه
قفل شدن دندان نشان از چیست؟
دلایل در نیامدن دندان دائمی کودکان چیست؟
برای سفت شدن دندان لق چه کنیم؟
عوارض و موارد مصرف داروی کلرهگزیدین
میزان و نحوه مصرف بنزیدامین هیدروکلراید
موارد منع مصرف و تداخل دارویی بنزیدامین هیدروکلراید
میزان، تاثیرات و مکانیزم اثر دهانشویه بنزیدامین هیدروکلراید
دندان درد کودکان و درمان آن با چند روش خانگی
ترمیم دندان به روش اینلی و آنلی
چرا درد دندان شب هنگام وقت خواب زیاد می شود؟
نحوه ی پیشگیری از دندان درد با راهکار های آسان
درمان کیست دندان به روش پزشکی
مزایا و معایب ریتینر ارتودنسی چیست؟
انواع ریتینرها در ارتودنسی
درمان سیاهی دندان کودکان ناشی از قطره اهن
قطره آهن کودکان و تاثیر آن بر دندان
مزایای استفاده از لیزر برای کشیدن دندان چیست؟
مراقبت های کشیدن دندان تا بهبودی کامل
دندان عقل چگونه کشیده میشود؟
مرگ بر اثر جراحی دندان عقل!
موادغذایِی اسیدی چگونه به سلامت دندان آسیب می رسانند؟
چند روش خانگی برای از بین بردن جرم دندان
بهبودی و مراقبتهای بعد از عمل بروساژ
درمان عقب و کوچک بودن فک بالا
دلایل کوچک بودن فک بالا چیست؟
درمان بزرگی فک بالا چیست؟
مهمترین دلایل بزرگی فک بالا
روش های درمان انحراف فک با جراحی
پیشگیری از انحراف فک
انحراف فک چیست؟
مشکل نامرتبی دندانها در کودکان
سوالات متداول بهداشت دهان و دندان در زمان ارتودنسی
چرا باید از بریج ثابت دندان استفاده کنیم؟
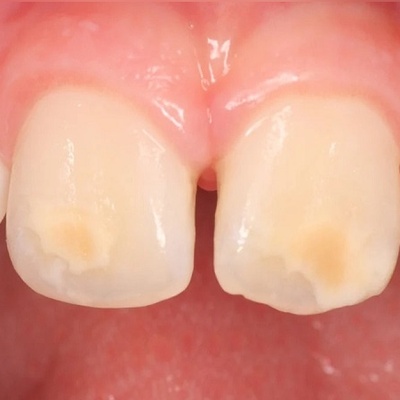
چند روش ساده و کم هزینه برای رفع لکه های سفید روی دندان
نحوه ی پیشگیری از ایجاد لکههای دندان
علت ایجاد لکههای مختلف روی دندان
آشنایی با انواع خلال دندان از نظر جنس
راه های پیشگیری از آبسه دندان چیست؟
باید و نبایدهای سلامت و مراقبت از دندان در دوران کرونا
نحوه ی مراقبت از دندانها در بارداری
درمان کراس بایت چگونه است؟
راههایی ساده برای رفع مشکلات ارتودنسی دندان
آیا ارتودنسی باعث عفونت دندان می شود؟
بهترین براکت ارتودنسی کدام است؟
بهترین نوع ارتودنسی ثابت چیست؟
مهمترین سوالات متداول ارتودنسی ثابت
باید ها و نباید های استفاده از خمیر دندان برای کودکان
نسخه های طبیعی، ارزان و بی ضرر برای درمان عصب دندان
چند راه کم هزینه برای جلوگیری از پوسیدگی دندان در کودکان
علت عفونت ریشه و عصب دندان و راه های درمان آن
حساسیت دندانی به چند صورت نمود مییابد؟
مشکلات رایج دهان و دندان که باید بدانید!
بهترین زمان دندان دراوردن نوزادان
انواع اختلالات فکی و دندانی
تغذیه مناسب برای دندان چیست؟
لاک سفید کننده دندان چیست و چه عوارضی دارد؟
علائم شکستن ایمپلنت چیست؟
جایگاه لیزر در دندانپزشکی و مزایای آن
صفحه قبل
صفحه بعد
از سراسر وب
فیلم/فرمانروایان اقیانوس؛ مستند حیات وحش/ رازبقا: انفجار خشم دو کوسه و نبردی هولناک در آکواریوم مقابل چشم بازدیدکنندگان
مهران غفوریان بازیگر سریال «زیر آسمان شهر» تغییر چهره داد/ آقای بازیگر در 51 سالگی با استایل منحصربهفرد اصلا قابل شناسایی نیست+ عکس
فال انبیاء روزانه چهارشنبه 30 اردیبهشت 1405 / راهت روشن است؛ هیچ ترسی جای نگرانی ندارد، آرزوهایت نزدیکتر از آن چیزی هستند که فکر میکنی
عکسی از مادر جوان آیتک سلامت، کاپیتان تیم ملی والیبال ایران +عکس/ شباهت بی مثال مادر دختری
فال ابجد روزانه پنجشنبه 31 اردیبهشت 1405 / انرژی خوششانسی اطرافت را گرفته؛ لبخندی در راه توست که تمام خستگی این روزها را از دلت پاک میکند
سفر در زمان؛ «زری مامان» سریال روزگار قریب در اولین فیلم اش بعد انقلاب؛ سال 78
ببینید| عروس رفته تنگه هرمز گل بچینه!؛ سیاسیترین مراسم عقد در آبادان اینگونه برگزار شد
حقیقت تلخ از دکتر انوشه که باید آویزه گوشتون بکنید /گاهی اونی که بیشتر از همه دوستش داری، داره نابودت میکنه!
پیشنهاد ویژه
یادی کنیم از دیالوگ ماندگار رضا عطاران که چشم بسته غیب گفت! خانواده امثال چاوشی رو آخوندا گروگان گرفتن!
تصمیم غیرمنتظره وزارت آموزش و پرورش؛ این گروه از داوطلبان منتظر آزمون استخدامی نباشند!
ویدئو/ دیدگاه الهام اخوان از پارتنر بودن با پژمان جمشیدی/ من خیلی شانس آوردم
گریهی بی امان علی دایی هنگام شنیدن روضهی ترکی امام حسین(ع)/چه روضهی پر از غمی!
مطالب پیشنهادی
دانشآموز قلابی سر جلسه امتحان لو رفت؛ پایان وحشتناک نقشهای مخوف + عکس
امیرعلی آذرپیرا از تشک کشتی تا همدلی با مردم در روزهای سخت/ برای افتخار ایران میجنگم
نگاهی به استایل بسیجی رؤسای جمهور ایران در زمان جنگ: از رهبر معظم انقلاب تا دکتر مسعود پزشکیان + تصاویر
مسعود ده نمکی: دیدید دیکتاتوری چه فشاری به گلشیفته فراهانی آورد؟! چنان به او حمله کردند که ظرف 48 ساعت مجبور شد، از حرفش کوتاه بیاید
پربازدیدترین ویدئوهای روز
طالعبینی روز؛ این نشونهها تصادفی نیست؛ انگار سرنوشت میخواد تو رو به یک عشق خاص برسونه / چهارشنبه 30 اردیبهشت 1405
کائنات پیام ویژه ای برات داره/ اگر عشقت رفت، به این معنی نیست که تو دوستداشتنی نیستی بعضی آدمها فقط قرار بود درسی باشند برای ساختن نسخهای قویتر/ پیام انگیزشی امروز 30 اردیبهشت 1405+ ویدئو
شکرگزاری صبحگاهی و تشکر از خداوند /امروز را با لبخند شروع میکنم، چون میدانم هنوز هزار دلیل برای شکرگزاری و خوشحال بودن وجود دارد.../ شکرگزاری امروز 30 اردیبهشت 1405+ ویدئو
خط و نشان تکراری ترامپ برای ایران؛ رئیسجمهور آمریکا زمان حمله مجدد را تعیین کرد+فیلم
ببینید| سفر عراقچی به نیویورک برای مذاکره در خصوص تنگه هرمز؟
ببینید| منتقد همیشگی کوتاه آمد: اصلا باور نمیکردم! شگفتی زیباکلام از بقای ایران در برابر ترامپ + ویدیو
مسعود ده نمکی: دیدید دیکتاتوری چه فشاری به گلشیفته فراهانی آورد؟! چنان به او حمله کردند که ظرف 48 ساعت مجبور شد، از حرفش کوتاه بیاید
شکوه کلاسیک با چاشنی اصالت؛ نگاهی به چیدمان منزل نگین صدقگویا در شام ایرانی/ درخشش لوسترها و آباژورهای کلاسیک، عتیقهجات چشمنواز، ساعت پاندولدار و...+فیلم
وب گردی
حوادث
بیشتر
مادربزرگی که 4 شوهرش و بیشتر اعضای خانواده اش را کشت +عکس
لحظه فرار یک زن از سقوط مرگبار تخته آهن و مرگ حتمی / وقتی میگن خدا هواتو داره بعنی این
اعترافات دردناک مادر؛ نوزاد زیبایم را فروختم، عشق بین من و همسرم خشک شد
آشنایی زن و مرد ایرانی در اربیل کردستان و قتل در تهران / دیدم بچه اش خواب است او را کشتم
فیلم لحظه زنده شدن نوزاد مُرده داخل قبر! / پدر و مادرش نوزاد زیبا را زنده به گورش کرده بودند
وزنه بردار متهم به قتل خودش را تسلیم پلیس کرد
فیلم لحظه مرگ دلخراش یک زن در حال قدم زدن وسط خیابان
پایان نفسگیر پرونده الهه حسیننژاد؛ حکم قصاص قاتل اجرا شد + جزئیات
آخرین تصاویر
نگاهی به هر دو مراسم عروسی جی دی ونس؛ معاون 41 ساله ترامپ؛ یکی در آمریکا و دیگری در هند+عکس/ چهره بیبی فیس آقای معاون در قامت دامادی دیدن داره
جزیره ای مخصوص زنان که هیچ مردی حق وارد شدن به آن را ندارد / ورود آقایان ممنوع
کشف باورنکردنی جواهرات عجیب در گورستانی هزار ساله!
نگاهی به میز عزای ساده و بدون تجملات مادر محسن کیایی، مجری برنامه صداتو ، شمع مشکی با سینی کیک و عکس یادبود/ روحش شاد و یادش گرامی
استیج موسیقی عجیب روی سقف شاسی بلند بیامو + تصاویر
نگاهی متفاوت به پل اورگان؛ شاهکاری تاریخی در میان چشماندازهای تماشایی چادگان + عکس
دانشآموز قلابی سر جلسه امتحان لو رفت؛ پایان وحشتناک نقشهای مخوف + عکس
آقای امامجمعه، چقدر جایت بین بچهها خالی است؛ مرور یک قاب ماندگار از همسفره شدن شهید آلهاشم با دانشجویان تبریزی + عکس
آخرین ویدیو ها
یک روز با بهروز تابانی در باشگاه + فیلم/ چه بدن آماده ای، چه انگیزه بالایی
شهید رئیسی پای حرف مردم/ یادی کنیم از بازدید سرزده رئیس جمهور رئیسی از داروخانه توزیع داروها در زمان کرونا + ویدئو
بعد از جنگ، هر کجای جهان اگر دیدی دریا هست اما آب نیست، همانجا زادروزِ تشنه من است!؛روایتی شاعرانه نیلوفر پارسا از دردهایی که تمام نمیشوند
گفتگوی جالب با پیرمرد شاعر: گذشته فریبم داد حال عذابم میدهد... +ویدئو
نگاهی به جشن تولد صمیمانه و احساسی 34 سالگی معین زد در کنار پدر و مادرش/ برای مامانم دعا کنین داره شیمی درمانی میشه
خلاقیت خنده دار جوان ایرانی برای نصب سانروف روی موتور هوندا مرز های علم و تکنولوژی را جا به جا کرد/ برای همینه که میگن هنر نزد ایرانیان است و بس+فیلم
آمار طلاق با طنز جواد رضویان؛ امروزه میگن جوان طرف مقابل را دیده و پسندیده، غلط کرده دیده / در بیرون نازیلا دیده در خانه گودزیلا دیده🤣
اقدام خنده دار اوستا مکانیک اهوازی با تبدیل لاستیک سمند و دستگاه تعویض لاستیک به میز ناهارخوری اگه خلاقیت نیست پس چیه؟ ماکارونی ها هم تعجب کردن😂
ادای احترام داریوش ارجمند به رئیسجمهور شهید؛ «گوهری گرانبها را از دست دادیم»
هشدار ایران به آمریکا: اگر جنگ شروع شود ما هم...+فیلم
با اختلاف زیباترین نگرش درباره خدا و دنیای بعد مرگ همین است که استاد کاکایی با ظرافت بیان کردند/ حتی اگر نباشی میآفرینمت، چنان که التهاب بیابان سراب را
زیباترین شعرخوانی رشید کاکاوند با شهید بلخی در وصف لبخندهایی که پشتِ اندوه پنهاناند و تنهاییِ عمیقِ آدمهایی که بیشتر از بقیه میفهمند
سایر ویدیوها
اجرای بی نظیر داستان کاوه آهنگر، از شاهنامه با نغمه سرایی صادق شیخ زاده/ نغمه ای به یاد ماندنی... + ویدئو
خلاقیت خنده دار جوان ایرانی برای نصب سانروف روی موتور هوندا مرز های علم و تکنولوژی را جا به جا کرد/ برای همینه که میگن هنر نزد ایرانیان است و بس+فیلم
تماشا کنید| دلبری دیپلماتیک پوتین برای شی جین پینگ: یک روز دوری از شما مانند سه پاییز میگذرد!
یوزها با توپ جام جهانی گرم کردند؛ شروع متفاوت در اردو
پشتپرده ویدیوی پربازدید دختر دانشجوی پزشکی دانشگاه تهران؛ ماجرای فداکاریهای عجیب یک پدر که اشک همه را درآورد!😢
(ویدیو) لحظه دیده نشده از فریاد دوستان نیمار بعد اعلام خبر حضور در جام جهانی 2026/ بغض ستاره برزیلی ترکید!
توسل آیت الله سیدمجتبی خامنهای برای رهبر شهید انقلاب؛ اشک ریختن در حرم امام رضا(ع) و...+فیلم
(ویدیو) سوپرگل های حیرت انگیز دنیس اکرت، مهاجم تازه نفس تیم ملی در لیگ اروپا/ مهارت و دوندگی صد از صد👌
فیلم| تیم ملی در مسیر پر پیچ و خم جام جهانی؛ از ممنوعیت پرچمهای غیررسمی تا پیچیدگیهای اخذ ویزا
(ویدئو) چرا نوجوانان امروزی بعد از بلوغ از مدرسه متنفر میشوند؟ / رمزگشایی دکتر سعید عزیزی از یک لجبازی هوشمندانه + راهکار عبور
با دختر 13 سالهای که عاشق شده است چگونه رفتار کنیم؟ با فرمولِ دکتر عزیزی، پنهانکاریِ نوجوان را متوقف کنیم + ویدئو
خط قرمز «رهبر انقلاب»؛ روایت مداح اهل بیت از دستور قاطع آیتالله مجتبی خامنهای درباره مذاکرات/ این کار اکیدا ممنوع + ویدیو