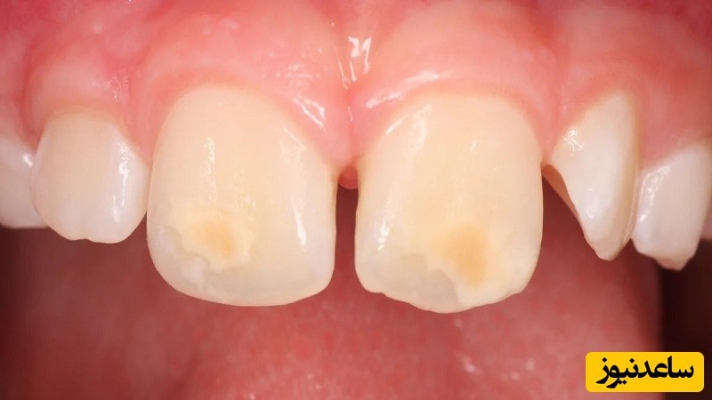
لکه های سفید روی دندان نشان دهنده کاهش مواد معدنی که به آن مینا گفته می شود در سطح دندان ها است. اصطلاح تکنیکی این حالت هایپو کلسیفیکیشن است. دندانپزشک شما به این لکه های سفید هایپوپلازیا می گوید. در حقیقت، وجود لکه های سفید روی دندان ها اولین نشانه پوسیدگی دندان است؛ بنابراین وقتی که روی مینای دندان لکه های مات دیده می شود احتمالاً در آن محل پوسیدگی دندان در حال شکل گیری است. در این مرحله شما باید با دندانپزشکان ما در مورد علت به وجود آمدن این لکه های سفید روی دندانتان مشورت کنیدوقتی دهان شما خشک می شود، مقدار کافی بزاق برای حفظ سطح PH برای خنثی نگه داشتن محیط دهان وجود ندارد. وقتی که PH دهان در سطح مطلوب خود نیست، باکتری ها در دهان رشد کرده و زنده می مانند تا به با اسیدشان به دندان های شما حمله کنند.غذاهایی که حاوی مقادیر زیادی اسید هستند مانند ترشیجات و غذاهایی که با لیموترش و سرکه تهیه می شوند می توانند باعث ایجاد لکه های سفید روی دندان شوند. مقادیر زیاد اسید موجود در این غذاها و نوشیدنی ها باعث از بین رفتن مینا و مواد معدنی دیگر روی دندان شده و در نهایت منجر به ایجاد لکه های سفید روی دندان می شود.
علت ایجاد لکه های مختلف روی دندان
دندان ها به دلایل مختلفی تیره و بدرنگ می شوند. در ادامه علل لکه شدن دندان را توضیح می دهیم.
لکه های خارجی
لکه های زرد رنگ
- غذا و آشامیدنی: قهوه، چای و بعضی از میوه ها و سبزیجات
- استعمال دخانیات: سیگار کشیدن یا جویدن تنباکو دندان را لک می کند.
- کوتاهی در رعایت بهداشت دهان و دندان: اگر به حد کافی و به روش صحیح مسواک نزنید و به روش صحیح نخ دندان نکشید، پلاک و مواد لکه کننده دندان مانند قهوه و توتون روی دندان باقی می ماند و دندان لک می شود.
- دارو: لکه شدن دندان از عوارض جانبی بعضی داروها است: آنتی بیوتیک هایی مانند تتراسایکلین و داکسی سایکلین باعث تغییر رنگ دندان های کودکانی می شود که زیر 8 سال دارند و دندان هایشان هنوز در حال رشد است. دهانشویه های حاوی کلروهگزیدین و ستیل پیریدینیوم کلراید باعث لک شدن دندان ها می شود. آنتی هیستامین ها، داروهای ضدروان پریشی و داروهای فشار خون نیز باعث لکه شدن دندان می شود.
- بالا رفتن سن: لایه بیرونی مینای دندان به موازات افزایش سن ساییده می شود و رنگ زرد عاج را به نمایش می گذارد. به علاوه دندان با بالا رفتن سن عاج بیشتری ذخیره می کند و در نتیجه پالپ کوچک تر می شود. به این ترتیب شفافیت دندان کاهش می یابد و دندان تیره تر دیده می شود.
لکه های قهوه ای
- پوسیدگی دندان: اهمال در مسواک زدن و نخ کشیدن به پوسیدگی دندان می انجامد. پوسیدگی دندان باعث ایجاد لکه های سفید، زرد یا سیاه روی دندان می شود.
- فلوروسیس: دریافت بیش از اندازه فلوراید از منابع محیطی (غلظت بالای فلوراید در آب آشامیدنی) یا زیاده روی در مصرف آن (اعمال فلوراید روی دندان، دهانشویه، خمیردندان و مکمل های خوراکی فلوراید) باعث لک شدن دندان می شود.
- بیماری: بیماری های تاثیرگذار بر تشکیل مینا و عاج دندان لکه شدن دندان را در پی دارد. درمان بعضی عارضه ها نیز به لک شدن دندان منجر می شود. برای مثال یکی از عوارض شیمی درمانی و پرتودرمانی سر و گردن لکه شدن دندان است. عفونت های خاص دوران بارداری نیز به دلیل تاثیر بر رشد مینا به لکه شدن دندان ها می انجامد.
- ترمیم های دندان: بعضی از ترمیم ها مانند روکش، اینله/ انله و ونیر گاهی موفقیت آمیز نیست یا از بین می رود، در نتیجه لکه های زرد، قهوه ای، خاکستری و حتی سیاهی روی دندان ها ایجاد می شود.

لکه های داخلی
- ژنتیک: مینای دندان های برخی افراد به طور طبیعی سفیدتر یا ضخیم تر است.
- آسیب دیدن: دندان لب پر شده، شکسته یا ترک خورده به دلیل آسیب دیدن مینا یا از بین رفتن عصب تغییر رنگ می دهد. برای مثال آسیب ناشی از سقوط و زمین خوردن فرایند تشکیل مینا را در خردسالانی مختل می کند که دندان هایشان هنوز در حال رشد است. آسیب دیدن دندان باعث لک شدن دندان های بزرگسالان نیز می شود.
- مواد دندانپزشکی: بعضی از مواد به کار برده شده در دندانپزشکی مانند ترمیم های آمالگام، به ویژه مواد حاوی سولفید نقره رنگ خاکستری ـ سیاه به دندان می دهد.
علائم سیاهی دندان چه می باشد؟
اولین و واضح ترین نشانه، سیاه شدن دندان می باشد.بیمار معمولا قبل از اینکه دندان هم سیاه شود، یکسری نشانه ها می بیند.در برخی موارد، یک لکه قهوه ای یا خاکستری رنگ دیده می شود. با گذشت زمان،لکه های قهوه ای رو به سیاهی می روند.زمان های دیگر، دندان ها شاید خال های سیاه رویشان دیده شود. این خال ها یا نقطه های سیاه اغلب نزدیک خط لثه دیده می شوند.معمولا هم در کودکانی که دندان های سیاه دارند دیده می شود.زمانی که علت تارتار باشد، احتمال دارد رنگ سیاه روی دندان های مولار ببینید، یا داخل دندان های جلویی.تارتار تا زمانی ادامه می باید که منجر به ایجاد لکه شود، مگر اینکه زودتر درمان شود.در چنین مواردی، حفره ها با از بین رفتن دندان شکل می گیرند.
چه عواملی باعث سیاه شدن دندان ها می شود؟










































