به گزارش سرویس سلامت ساعدنیوز، آیا متوجه شده اید که دیگر دندان هایتان سفیدی سابق را ندارند؟ آیا حتی پس از مسواک زدن نیز همان لایه زرد رنگ روی دندان هایتان باقی مانده است؟ مراقبت از لبخند کاملاً طبیعی است، ولی دندان های زرد الزاماً یکی از نشانه های سلامت ضعیف دهانی نیست.هرچند مسواک زدن و نخ دندان کشیدن منظم و به طور صحیح می تواند تا حد زیادی علتهای خارج از کنترل را نیز رفع کند. عوامل زیادی در رنگ زرد دندان ها تأثیر دارد. برخی از این عوامل در حیطه کنترل شما قرار دارند ولی بعضی از آنها خیر. این مقاله را مطالعه کنید تا ببینید چه عواملی باعث زرد شدن دندان ها می شود و چگونه می توان آن ها مجدداً را سفید لینک به سفید کردن دندان سفید کرد. با این تعداد محلول هایی که می توان آزمایش کرد - چه طبیعی و چه شیمیایی-امید می رود که بتوانید یک محلول را پیدا کنید که بتواند به شما لبخندی با اعتماد بنفس را بازگرداند.
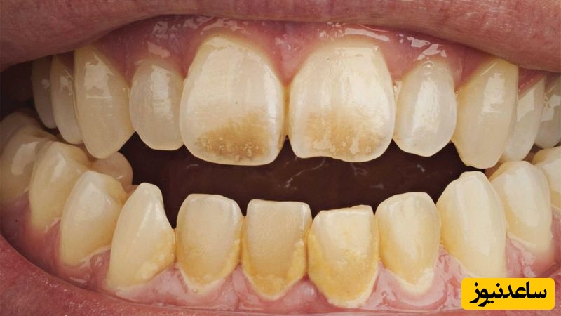
افرادی که مرتبا فرآورده هایی که دارای رنگ هستند را مصرف می کنند ( مانند چایی ، قهوه کولا،تنباکوو …) بعد از مدتی متوجه تیره شدن و زردی دندان های خود می شوند. در موارد شدید تر ممکن است دندان رنگ نارنجی سوخته یا قهوه ای پیدا کند. تغییر رنگ دندان ها در این حالت به خاطر وجود مواد رنگی در فرآورده هاست (مثلا ماده ی تانین در چایی و قهوه و نیکوتین در تنباکو) که در بافت مینای دندان گیر می افتند .
فرآورده های دیگری مانند آلبالو،تمشک،توت قرمز در تغییر رنگ دندان موثرند. به عنوان یک قانون کلی و تجربی می توان گفت هر چیزی که می تواند لباس شما را لکه کند مصرف آن در دراز مدت می تواند موجب تغییر رنگ دندان ها نیز بشود.میزان تغییر رنگ دندان به میزان مصرف ماده ی خوراکی مورد نظر بستگی دارد. این نوع تغییر رنگ دندان در تمامی دندان ها به یک اندازه است و می توان پر کردگی های همرنگ دندان(کامپوزیتی) را نیز تحت تاثیر قرار دهد.
توجه: شما می توانید اثر مواد خوراکی رنگی بر روی دندان ها را با زدن مسواک بلافاصله پس از مصرف آن ها ، کاهش دهید. در صورت مصرف مواد رنگی مایع می توانید بلافاصله دهان خود را با آب بشویید. راه دیگر برای کاهش اثر نوشیدنی های رنگی ، نوشیدن آن ها با نی است.

بدیهی است که علل داخلی تغییر رنگ دندان درمان طولانی تری هم دارد. بهترین راه برای سفید کردن دندان ها در این مواقع بلیچینگ است. این کار حتما باید تحت نظارت دندان پزشک باشد. دندان پزشک ماده ای به نام اکسیژن آزاد را به دندان بیمار می زند. ماده وارد ساختار دندان می شود، مواد آلی موجود در دندان را اکسید می کند و باعث سفید شدن آنها می شود.گاهی افراد خودشان بلیچینگ دندان را انجام می دهند. اگر این کار حساب شده و دقیق نباشد، احتمال عوارض برگشت ناپذیر وجود دارد.
افرادی که عمل سفید کردن دندان را انجام می دهند باید بهداشت دهان و دندان را کاملا رعایت و هر هفته یکبار نیز درمان را تکرار کنند.بیمارانی که بلیچینگ دندان انجام می دهند باید در 48 ساعت اول از مصرف نوشابه های گازدار، چای، قهوه، نسکافه، مرکبات و مواد رنگی به طور کامل پرهیز کنند. 2 هفته قبل از درمان بلیچینگ مصرف سیگار باید کنار گذاشته شود. بعد از انجام بلیچینگ هم استعمال سیگار کاملا باید ترک شود.
بروساژ یک بار انجام می شود و برای از بین بردن تغییر رنگ های خارجی سطح دندان است ولی بلیچینگ براساس نوع ساختار و تغییر رنگ ممکن است چند بار تکرار شود. این دو روش در صورتی که درست انجام شوند هیچ عارضه ای به دندان وارد نمی کنند.
گاهی برای بیماران داروی سفیدکننده تجویز می شود و بیمار بعد از 2 هفته به دندان پزشک مراجعه و از بی اثر بودن دارو شکایت می کند. در این موارد اولین احتمالی که وجود دارد تاثیر تتراسایکلین روی دندان در دوران نوجوانی است. دندان های چنین بیمارانی در مقابل سفید شدن مقاوم است. تنها کاری که می توان انجام داد این است که طول دوره درمانی را طولانی تر کرد. به طور طبیعی طول دوره درمان 2 تا 4 هفته است ولی در این بیماران شاید نیاز باشد دوره درمانی 6-3 ماه طول بکشد تا بتوان نتیجه قابل قبولی به دست آورد.
بعضی از افراد از روش های خانگی مانند استفاده از زغال، جوش شیرین و... برای سفید کردن دندان ها استفاده می کنند. این روش ها از نظر علمی و بهداشتی توصیه نمی شود. همچنین ممکن است باعث سایش دندانی شوند. سایش دندان باعث حساسیت دندان می شود. موادی که برای سفید کردن استفاده می شوند حتما باید از داروخانه ها تهیه شوند و دارای مارک استاندارد باشند و سازمان غذا و دارو آنها را تایید کرده باشد.
اگر درمان های سفیدکننده نتوانند رضایت بیمار را جلب کنند، مرحله بعدی استفاده از پوسته های سرامیکی به نام لمینیت است که دندان پزشک به سطح دندان ها می چسباند. البته این کار باید با تراش دادن دندان های سالم بیمار انجام گیرد که باعث آسیب به دندان می شود، اما این کار بادوام و طولانی است.