هزاران نفر در دنیا با مشکلاتی به خاطر از دست دادن دندان ها زندگی می کنند که اکثر آن ها از وجود راه حل هایی که می توانند زندگی آن ها را تغییر دهند بی اطلاع هستند. برای سالیان متمادی، بیمار تنها یک حق انتخاب داشت، آن هم استفاده از دندان مصنوعی متحرک بود، اما پیشرفت های امروزی درزمینه ی تکنولوژی احیا و توان بخشی دهان و دندان باعث شده است که گزینه های خیلی بهتری برای انتخاب وجود داشته باشند. یکی از بهترین گزینه ها، استفاده از ایمپلنت آل ان سیکس می باشد که یک دست دندان مصنوعی کامل، با هزینه ای پایین و روشی ساده، بجای دندان ها کاشته می شود. این روش جایگزین برای دندان های مصنوعی به بیمار اجازه می دهد تا یک سری جدیدی از دندان های دائمی برای خود داشته باشند که می توانند آن را مانند دندان های طبیعی مسواک بزنند، از دهان خارج نمی شوند، باعث افزایش نیروی فشار دندان ها روی یکدیگر می شوند و نیازی به استفاده از چسب ندارند.

تفاوت ها و شباهت های ایمپلنت دندان ثابت، اوردنچر و دندان مصنوعی متحرک
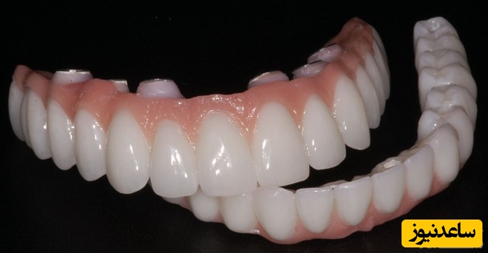
اصلی ترین تفاوت اوردنچر با دندان های مصنوعی سنتی این است که اوردنچر توسط پایه های ایمپلنت دندان در دهان ثابت می ماند و جابجایی ناخواسته ای هنگام غذا خوردن یا صحبت کردن ندارد. در صورتی که دندان مصنوعی سنتی فقط روی بافت لثه قرار می گیرد و ثبات زیادی ندارد. معمولاً از کلیپس ها یا اتصالات دیگر نیز برای محکم نگه داشتن اوردنچر در دهان استفاده می شود تا دندان های مصنوعی ایمپلنت شده نتوانند به راحتی جا به جا شوند. به این ترتیب تا زمانی که خود فرد یا پزشک اوردنچر را به منظور تمیز کردن یا ترمیم کردن از دهان خارج نکنند؛ پروتز دندان مصنوعی امکان جابجایی اضافی در دهان نخواهد داشت.
از اصلی ترین تفاوت های بین اوردنچر و ایمپلنت دندان ثابت می توان به تعداد ایمپلنت های مورد نیاز برای ثابت نگه داشتن تاج دندان پروتزی در دهان اشاره کرد. تعداد ایمپلنت های مورد نیاز برای اوردنچر کمتر از ایمپلنت دندان ثابت است. همچنین همانطور که اشاهر شد؛ نحوه تمیز کردن اوردنچر با ایمپلنت دندان ثابت متفاوت است به طوریکه اوردنچر را می توان برای تمیز کردن از دهان خارج کرد اما ایمپلنت دندان ثابت با همان روش های معمولی مانند مسواک زدن و نخ دندان کشیدن در دهان تمیز میشود و نمی توان آنها را از دهان خارج کرد.
یکی دیگر از فاکتورهای تعیین کننده این است که آیا شخص در حال حاضر از دندان مصنوعی سنتی استفاده می کند یا خیر. در این شرایط ممکن است تا حدودی استخوان لثه و فک او تحلیل رفته باشد. بنابراین لبها و گونه او نیز تحت تاثیر قرار گرفته است. در این شرایط افزایش ضخامت دندان مصنوعی می تواند به شخص کمک کند که ساختار استخوان از دست رفته او جبران شود اما در صورتی که از دندان مصنوعی ثابت استفاده شود ممکن است استفاده از مواد ضخیم تر سلامت دهان و دندان را به خطر بیندازد. البته می توان زیر دندان های مصنوعی ثابت را تمیز کرد اما انجام آن کمی وقت و حوصله می خواهد و ممکن است بیمار در انجام دادن مرتب آن کوتاهی کننده و به همین علت به بیماریهای لثه دچار شود.
این موارد زمانی که می خواهید تصمیم بگیرید کدام روش برای شما مناسب تر است بسیار مهم است بنابراین بهتر است با دندانپزشک خود در کلینیک دندان در خصوص تمام این تفاوت ها مشورت کنید تا بهترین روش را بنا به نیاز و درخواست خود انتخاب کنید.

آیا ایمپلنت دندان گرانتر از دندان مصنوعی است؟
هزینه ساخت دندان مصنوعی سنتی و قرار گرفتن آن روی لثه کمتر از ساخت پروتز دندانی، کاشت ایمپلنت ها و قرار دادن پروتز دندان روی ایمپلنت است. اما باید توجه داشته باشید که دندان های مصنوعی معمولا هر چند سال یکبار باید جایگزین شوند و نیاز به ترمیم مکرر دارند. در صورتی که تکنولوژی ایمپلنت دندان جزو پیشرفته ترین تکنولوژی های روز دنیا است و به همین علت ایمپلنت ها و پروتز دندانی ساخته شده با این تکنولوژی تقریباً یک روش دائمی است که تا پایان عمر نیازی به جایگزین شدن نخواهد داشت. به همین علت هزینه ایمپلنت دندان در طولانی مدت کمتر از دندان مصنوعی سنتی خواهد بود و مقرون به صرفه تر است.
اگر دندان های خود را از دست داده اید، باید به فکر راهی برای بازگشت زیبایی لبخند و صورت خود باشید. برای جایگزینی دندان های از دست رفته راه های زیادی وجود دارد که هر یک بر اساس بودجه و نیاز شما متفاوت هستند.
گرچه ایمپلنت های دندانی متداول و سنتی پیشرفتی در دندان های مصنوعی می باشند، اما هنوز ممکن است نیاز باشد که تعداد زیادی ایمپلنت در هر فک کاشته شود تا بیمار بتواند یک سری کاملی از دندان ها را در دهان داشته باشد. این کار می تواند با مشکلات و نقایصی همراه باشد. انجام روش کاشت ایمپلنت دندان می تواند دردناک و تهاجمی باشد و هزینه ی بالای کاشت چند ایمپلنت می تواند یک مانع مالی برای انجام این درمان باشد برخلاف این امر، بیمارانی که روش ایمپلنت آل ان سیکس استفاده می کنند تنها به 6 ایمپلنت برای هر فک نیاز دارند.











































