به گزارش سرویس سلامت ساعدنیوز، ایمپلنت های نامرغوب باعث بروز عوارض جانبی زیادی خواهند شد. این ایمپلنت ها ممکن است به عنوان یک جسم خارجی توسط بدن پس زده شوند.اگر یک یا چند دندان دائمی خود را از دست داده اید، کاشت ایمپلنت دندان بهترین راه محسوب می شود. شما به طور طبیعی پس از انجام ایمپلنت با یک سری عوارض کوتاه مدت روبرو خواهید شد. در سال های اخیر مخصوصا به دلیل وجود تحریم ها شاهد واردات غیرقانونی ایمپلنت های غیر استاندارد به کشور بوده ایم. متاسفانه کاشت ایمپلنت ارزان و بی کیفیت چینی، پاکستانی یا هندی عوارض جانبی بی شماری دارد. درنهایت بدن ایمپلنت بی کیفیت را به عنوان یک جسم خارجی شناخته و آن را پس می زند. قبل از اینکه عمل کاشت ایمپلنت را انجام دهید، تحقیق در مورد ماهر بودن پزشک و معتبر بودن برند مورد استفاده ایمپلنت، کاری مهم و ضروری به شمار می رود. اگر قصد دارید تا با عوارض استفاده از ایمپلنت های نامرغوب و غیراستاندارد آشنا شوید، تا پایان این مقاله با ما همراه باشید.
متاسفانه طبق آمارهای اخیر دانستیم که حداقل 40 درصد از ایمپلنت هایی که در کشور استفاده می شوند، غیراستاندارد هستند. از آنجایی که ایمپلنت در تماس مستقیم با بدن قرار دارد، استفاده از ایمپلنت های نامرغوب و یا هرگونه ایمپلنت های غیر استاندارد می تواند مشکلات و عوارض جانبی متعددی را برای فرد به وجود بیاورد. ما سعی کرده ایم تا شما را با برخی از این عوارض آشنا کنیم.

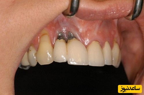
می دانیم که برای موفق بودن کاشت ایمپلنت و البته پذیرش آن توسط بدن، حتما باید میزان جوش خوردگی به استخوان بدن بالا باشد. اگر کیفیت و جنس تیتانیومی ایمپلنت دندان خوب باشد به راحتی با استخوان فک سازگار شده و به رشد و تقویت آن کمک می کند. درنتیجه نه تنها مشکلی در استخوان فک ایجاد نمی شود بلکه از تحلیل استخوان فک نیز جلوگیری می کند. متاسفانه در مورد ایمپلنت های نامرغوب باید بگوییم که به دلیل کیفیت بسیار پایین آن ها، به درستی با استخوان فک جوش نمی خورند. درنتیجه این موضوع استخوان اطراف ایمپلنت دندان کم کم تحلیل رفته و پایه ایمپلنت از لثه به مرور بیرون می آید.
زمانی که ایمپلنت ارزان و نامرغوب به استخوان فک به خوبی جوش نخورد، حالت لق پیدا می کند. در این حالت مواد غذایی به راحتی به زیر پایه نفوذ می کند. این موضوع به مرورزمان باعث رشد باکتری ها و بروز عفونت های شدید لثه و دندان خواهد شد. در موارد زیادی دیده شد که عفونت متاسفانه از همین طریق وارد خون بیمار شده و مشکلات بزرگ تری برای فرد به وجود می آورد.
جوش نخوردن پایه ایمپلنت به استخوان فک، باعث شل شدگی و لق شدن ایمپلنت می شود. این موضوع سبب ایجاد درد هنگام غذا خوردن خواهد شد. درد هنگام غذا خوردن پس از انجام ایمپلنت طبیعی نیست و حتما باید به پزشک مراجعه کنید.
یکی از مشکلات دیگری که در بیشتر مواقع در استفاده از ایمپلنت های غیر استاندارد دیده می شود، آسیب جدی به عصب است. با آسیب دیدن عصب های موجود در دهان، فرد با احساس بی حسی روبرو خواهد شد. حتی ممکن است آسیب به عصب جدی باشد و هرگز این موضوع برطرف نشود. احساس درد طولانی مدت و بسیار شدید به هیچ عنوان جزو عوارض طبیعی ایمپلنت دندان نیست و باید بلافاصله به پزشک مراجعه کنید.
مهم ترین اتفاقی که در استفاده از ایمپلنت های نامرغوب با آن روبرو خواهید شد، پس زدن ایمپلنت توسط بدنتان است. همان طور که قبلا اشاره کردیم، جوش نخوردن پایه ایمپلنت بی کیفیت به استخوان فک باعث لق شدگی آن خواهد شد. البته بی کیفیت بودن فلز پایه باعث می شود تا بدن به صورت کاملا طبیعی به پایه ایمپلنت واکنش آلرژیک نشان دهد و آن را به عنوان یک جسم خارجی پس بزند. تمام این مشکلات پیش آمده درنهایت باعث پس زدن و افتادن ایمپلنت خواهد شد.
پس زدن ایمپلنت در بلند مدت پس از جوش خوردن پایه ایمپلنت با استخوان فک بروز می کند و معمولاً با نشانه هایی مانند عفونت اطراف پایه، درد، التهاب، سوزش و لق شدن پایه ایمپلنت و درست قرار نگرفتن تاج دندان پروتزی روی پایه ایمپلنت تشخیص داده می شود.
در صورتی که کیفیت و جنس پایه ایمپلنت مناسب نباشد بدن فرد آن را به عنوان یک جسم خارجی در نظر گرفته و نسبت به آن واکنش های آلرژیک نشان می دهد. به همین علت لثه و استخوان فک، پایه ایمپلنت را پیش از اینکه با استخوان فک جوش بخورد؛ پس میزند. به محض مشاهده علائم پس زدن پایه ایمپلنت دندانپزشک باید ایمپلنت را از دهان خارج کرده و پس از درمان آن ناحیه، مجدد اقدام به کاشت ایمپلنت استاندارد نماید.
بدیهی است که حین انجام کاشت ایمپلنت، لثه ها کمی ملتهب می شوند اما این التهاب طی دو تا سه روز یا حداکثر یک هفته پس از عمل جراحی از بین می رود. اما قرمز شدن و التهاب لثه برای مدت طولانی می تواند نشانه وجود عفونت باشد که یکی از دلایل آن استفاده از ایمپلنت های نامرغوب و غیر استاندارد است. اگر این عفونت درمان نشود و وارد خون شود می تواند شرایط خطرناکی را برای فرد ایجاد کند. بهتر است در همان مراحل اولیه مشاهده قرمزی و التهاب لثه به دندانپزشک مراجعه شود تا با استفاده از دهان شویه های آنتی باکتریال و استفاده از آنتی بیوتیک های مناسب عفونت به سرعت برطرف گردد.
در صورتی که ایمپلنت به درستی در جای خود قرار گرفته و با استخوان فک جوش بخورد؛ عملکردی درست مانند دندان طبیعی دارد. در حقیقت اگر ایمپلنت با کیفیت بالا توسط جراح و متخصص مجرب در استخوان فک کاشته شود؛ فرد هیچ گونه احساس وجود جسم خارجی در دهان خود نخواهد داشت. ایمپلنت های بی کیفیت و نامرغوب معمولاً به خوبی با استخوان فک جوش نخورده و در مدت کوتاهی لق می شوند. ایمپلنت هایی که به درستی در جای خود ثابت باقی نمی ماند؛ آسیب های بیشتری به لثه و دهان فرد وارد می کنند و نباید آنها را نادیده گرفت. تحت هیچ شرایطی لق بودن ایمپلنت جزو عوارض جانبی نرمال نمی باشد. بنابراین در صورتی که احساس می کنید هنگام جویدن یا گاز زدن مواد غذایی، ایمپلنت در جای خود جابه جا می شود؛ حتماً باید به دندانپزشک مراجعه کنید تا ایمپلنت را خارج کرده و آن را با ایمپلنت های دندانی استاندارد و مرغوب جایگزین کند.
عدم موفقیت کاشت ایمپلنت های دندانی در بلند مدت حدود 1 تا 10 سال بعد از کاشت دندان به روش ایمپلنت مشاهده می شود. در صورتی که ابعاد ایمپلنت استاندارد نباشد؛ فشار وارد شده به سلول های استخوانی بیش از حد لازم خواهد بود و نه تنها استخوان فک به ایمپلنت جوش نمی خورد بلکه به علت از بین رفتن سلول های استخوانی تحت فشار بالا، تحلیل استخوان فک و در نتیجه افتادن پایه ایمپلنت یا لق شدن آن مشاهده می شود.
معاینات دوره ای توسط دندانپزشک متخصص پس از کاشت ایمپلنت و انجام پروتز الزامی است. با اینکه ایمپلنت مانند دندان طبیعی پوسیده نمی شود ولی در ارتباط مستقیم با بافتهای زنده (استخوان ولثه) است و در نتیجه در معرض بیماری قرار دارد. همچنین مشکلات لثه ای در اطراف ایمپلنتها سریعتر از دندانهای طبیعی فرد ایجاد می شود و کندتر از آنها به درمان پاسخ می دهد. در نتیجه نگهداری مناسب و رعایت بهداشت کامل یکی از عوامل ضروری در حفظ ایمپلنتها می باشد.