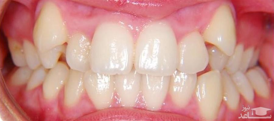
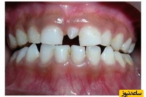
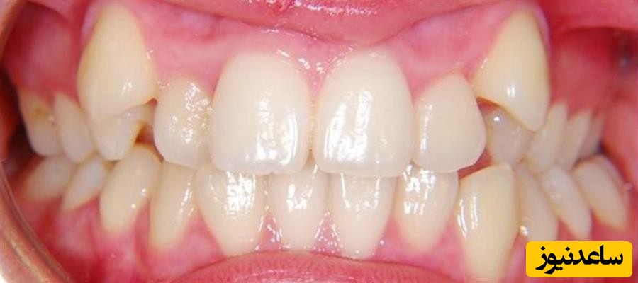
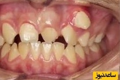
حتما شما هم اصطلاح دندان های میسینگ یا دندان های غایب را شنیده اید. برخی از افراد برعکس این حالت، گاهی دندان اضافه دارند که وجود آن ها مثل عدم حضور دندان های غایب باعث ایجاد اختلال هایی می شود. در حقیقت هنگامی که دندان ها بیش از تعداد استاندارد خود در دهان حضور دارند به عنوان دندان های غیر عادی محسوب شده و این حالت به عنوان hyperdontia یا دندان اضافی شناخته می شود. فقط یک تا چهار درصد جمعیت در جهان مبتلا به این عارضه هستند.
در حالت طبیعی تعداد دندان های شیری ۲۰ عدد و تعداد دندان های دائمی ۳۲ عدد است. دندان های شیری به دندانهای اولیه گفته می شود که از زمان نوزادی شروع به رویش و بیرون زدن از لثه می کنند و در سنین مدرسه به تدریج افتاده و با دندان های دائمی جایگزین می شوند. معمولاً در سن ۲۱ سالگی تمامی دندان های دائمی بیرون زده اند. به وضعیتی که در آن تعداد دندان های شیری بیش از ۲۰ یا تعداد دندان های دائمی بیش از ۳۲ عدد باشد، دندان اضافی گفته می شود.
- انواع دندان اضافی
دندانی اضافی در هر بخشی از قوس دندانی ممکن است اتفاق بیفتد اما غالباً به صورت دندان دائمی در موقعیت دندان های جلویی کناری در فک بالا (ماگزیلاری) دیده می شود. پس از آن شایع ترین موارد دندان اضافی مربوط به دندان های آسیاب بزرگ فک بالا و پایین می باشد. معمولاً دندان اضافی به صورت دندانهای عقل نهفته اضافی رویش می کند. به دندان جلویی اضافی ماگزیلاری مزیودنس و به چهار دندان آسیاب بزرگ اضافی دیستودنس یا دیستومولر گفته می شود. دندان اضافی شیری که اندکی پس از تولد دیده می شود، دندان ناتال یا زایشی نام دارد.

- دندان اضافی چه مشکلاتی ایجاد می کند؟
دندان اضافی در حدود یک در صد تا چهار در صد از جمعیت اتفاق می افتد و نسبت آن در مردان به زنان دو به یک می باشد. غالب موارد دندان اضافی محدود به یک دندان می شود اما گاهی اوقات ممکن است چند ردیف دندان بیرون بزند.
شناسایی دندان اضافی باید هر چه زودتر انجام شود چرا که دندان اضافی مشکلات زیبایی و عملکردی برای فرد ایجاد می نماید. دندان های اضافی در اصل مشکلات بالینی ایجاد می کنند که معمولاً درمان آنها در صورت امکان کشیدن دندان می باشد.
• ممکن است دندان اضافی مانعی بر سر راه بیرون زدن دندان های مجاور ایجاد کند و باعث بهم ریختگی و شلوغی دندانها شود که در این صورت اگر درمان زود هنگام انجام نشود، باید در آینده با درمان ارتودنسی وضعیت اصلاح شود.
• همچنین عدم درمان به موقع دندان اضافی ممکن است منجر به ایجاد کیست یا تومور شود.
• دندانی اضافی ممکن است مانع بیرون زدن نرمال دندان های دائمی شده یا حتی به آنها جوش بخورد. در چنین شرایطی دندان ها ممکن است در معرض تجزیه و فروپاشی قرار بگیرند.
• دندان اضافی باعث کج شدن دندان های دیگر شده و در نتیجه جویدن غذا را مشکل می سازد.

- دلایل بیرون زدن دندان اضافی چیست؟
محققان هنوز علت مشخص و قطعی برای رویش دندان اضافی در دهان پیدا نکرده اند. با این حال اعتقاد بر این است که ژنتیک در این زمینه نقش دارد.
دندان اضافی ممکن است در اثر بد شکلی دهان مانند شکاف لب و کام اتفاقی بیفتد.
دندان اضافی وضعیتی است که ممکن است مرتبط با برخی بیماری ها از جمله سندرم گاردنر و سندرم اهلر دانلس باشد.
معمولاً افراد متوجه وجود دندان اضافی در فک نمی شوند تا زمانی که تمام مجموعه دندان های شیری رشد می کند. دندان اضافی در مراحل اولیه رشد دندان تشکیل می شود. در این مرحله جوانه دندان باز شده و دو دندان شکل میگیرند که یکی از آنها دندان اضافی غیر ضروری محسوب می شود.
- درمان دندان اضافی چگونه است؟
از بیرون زدن دندان اضافی نمی توان جلوگیری نمود. درمان اصلی این وضعیت کشیدن دندان است. با این حال همراستا قرار دادن دندان های اضافی با دندان های مجاور نیز یکی از گزینه هایی است که باید مد نظر قرار بگیرد. پیامدهای این درمان ممکن است مفید باشد. در صورتی که این درمان باعث بروز مشکلاتی برای دندان های مجاور شود تنها راه ممکن کشیدن دندان اضافی است.
در صورتی که دندان اضافی هیچ مشکلی ایجاد ننماید، بهتر است آن را رها کنید تا از عوارض و پیچیدگی های مربوط به کشیدن دندان اضافی مانند بریدن یا قطع شدن رگهای خونی و عصبی، بیرون زدن نامناسب دندانها، آنکیلوز، شکستگی توبروزیته ماگزیلاری و در خطر قرار گرفتن سینوس ماگزیلاری و فضای بالی فکی (pterygomaxillary ) در امان بمانید.
- کشیدن دندان اضافی
بسته به موقعیت دندان اضافی ممکن است نیاز به جراحی وجود داشته باشد. کشیدن دندان تحت بی حسی موضعی یا بیهوشی عمومی صورت می گیرد که این امر بستگی به شدت و پیچیدگی مشکل دارد.
برای جلوگیری از بروز هرگونه مشکل دندانی در آینده، باید از سن هفت سالگی کودک را به ارتودنتیست نشان دهید. در این معاینه، ارتودنتیست می تواند وجود دندان اضافی را شناسایی نموده و پیش از بروز مشکلات جدی تر آن را درمان نماید. برای بررسی هرگونه وضعیت دندانی باید با دندان پزشک مشورت نمایید.











































