به گزارش سرویس سلامت ساعدنیوز، دندان اضافی نیز مانند دندان نهفته یکی از اختلالات و ناهنجاری های دهان و دندان است. دندان اضافه در بزرگسالان و یا دندان اضافه در نوزاد زمانی شناخته می شود که دندان ها بیشتر از تعداد استاندارد در دهان وجود داشته باشند. علاوه بر دندان اضافی، وجود دندان نهفته یکی از ناهنجاری های دندان است که باید به وسیله ارتودنسی درمان شود. وجود دندان عقل نهفته و دندان نیش نهفته بسیار شایع است که باید درمان شوند.
دندان اضافی و دندان اضافه نهفته تنها برای 1 الی 4 درصد جمعیت جهان اتفاق می افتد که ممکن است شما نیز یکی از آنها باشید. در این مطلب به علت دندان اضافه در کودکان و درآمدن دندان اضافی، عوارض، و روش های درمان آن مانند جراحی دندان اضافه در کودکان خواهیم پرداخت.
دندان اضافه نهفته و مشاهده دندان اضافی در دهانT می تواند نتیجه فعالیت بیش از حد سلول هایی که رشد جوانه های دندان یا غشا دندانی را تحریک می کنندT باشد. دندان اضافه در بزرگسالان نیز می تواند در نتیجه برخی عوامل محیطی خاص رشد کند.

دندان اضافی از یک جوانه دندان تشکیل می شود اما سؤال اصلی اینجاست که چرا جوانه دندان اضافی ایجاد میشود؟ بر سر این موضوع اتفاق نظر وجود ندارد اما بیشتر نظریه های محکم و مستدل بیان می دارند علت آن فعالیت بیش از حد لامینای دندان است. لامینای دندان نوعی بافت اپی تلیال است که منجر به تشکیل جوانه دندان و بنابراین تشکیل دندان می شود. این اتفاق در هفته ششم بارداری رخ می دهد.
دندان اضافی وابستگی زیادی به سابقه خانوادگی دارد به طوری که این وضعیت غالباً در کودکان دو قلو، خواهر و برادر و چند نفر از یک خانواده دیده می شود. دندان اضافی در پسران دو برابر دختران اتفاق می افتد.
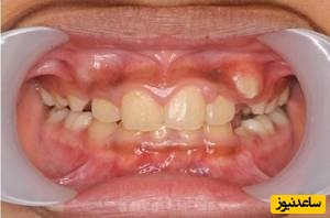
وجود دندان اضافی در جلوی دهان غالباً با برخی سندرومها و بیماری های پزشکی همراه است که ازجمله آنها می توان به شکاف لب و کام، آنومالی های صورت و دهان، سندرم گاردنر و دیسوستوز ﮐﻠﯿﺪوﮐﺮاﻧﯿﺎل اشاره کرد. اما اگر دندان اضافی جلوی دهان دارید به این معنی نیست که حتماً دچار یکی از این بیماری ها هستید.
برای کل جمعیت شیوع دندان اضافی 0.15 تا 3.9 درصد برآورد می شود. میزان شیوع آن برای مزیودنس (دندان اضافی جلوی دهان) معمولاً بین 0.15 تا 1.9 درصد می باشد که بسته به نژاد متفاوت است. مزیودنس دو فک بالا شایع تر است (82 درصد موارد مزیودنس به فک بالا مربوط می شود). دندان اضافی ممکن است به صورت تکی یا چند تایی دیده شود. یک سوم افرادی که مزیودنس دارند، دندان اضافی دیگری نیز دارند. تنها حدود 25 درصد مزیودنس ها در نهایت از لثه کامل بیرون میزنند.
باید به این موضوع نیز توجه کنیم که آیا دندان اضافه بیمار ریشه خوبی دارد یا خیر؟ گاهی دندان های اضافی ریشه های خوبی ندارند. برای مثال کج هستند، کوچک هستند و یا در انتها دارای انحراف است. اگر انحراف داشته باشد حرکت دادن این دندان ها بسیار سخت و مشکل است. در واقع مانند یک قلاب در انتهای ریشه قرار گرفته است و نمی شود آن را حرکت داد. علاوه بر این موضوعات باید به نوع بیماری دندانی و دهانی فرد نیز توجه کرد.
گاهی نیاز است که دندان اضافه کشیده شود. برای مثال اگر دندان به طور جزئی یا به طور کامل پوسیده شده باشد، پزشک می تواند تصمیم بر خروج آن از دهان بگیرد. وی دندان را به آرامی به عقب و جلو حرکت می کند تا آن را از ریشه جدا نماید.در بعضی موارد بیمار ممکن است یک یا چند دندان اضافی در فک داشته باشدکه اصطلاحا به آن دندان supernumerary می گویند. بیمار معمولا دارای تنها یک دندان اضافه می باشد اما در برخی موارد ممکن است چندین دندان اضافه وجود داشته باشد که در این صورت به آن hyperdontia می گویند.