دندان اضافی یک بیماری دهانی است که با رشد چند دندان اضافی مشخص می شود. هر فردی که بیش از ۲۰ دندان شیری یا بیش از ۳۲ دندان دائمی داشته باشد، دندان های مازاد او بر این اعداد، اضافی محسوب می شود. دندان اضافی می تواند در هر بخشی از دهان ایجاد شوند اما غالباً این دندان های اضافی دائمی دندان های قدامی در فک بالا هستند. این عارضه معمولاً به شکل دندان عقل نهفته نیز به نظر می رسد. به دندان آسیاب بالایی مزیودنز گفته می شود و دندان اضافی آسیاب چهارمی نیز دیستودنز یا دیستومولار نامیده می شود.
تقریباً تمام (حدود ۹۵%) دندان های اضافی در فک بالایی رشد می کنند. این دندان های غالباً بین دو دندان جلویی بالا به وجود می آیند. این دندان های اضافی ممکن است پشت دندان عقل نیز شکل بگیرند. نکته قابل توجه این که دندان های اضافی همیشه در فک رشد نمی کنند. با این که بیشتر دندان های اضافی در فک شکل می گیرند، اما نمونه هایی از رشد دندان اضافی در لثه، برجستگی های فک بالا، کام نرم، سینوس بالایی، شکاف اسفنوماگزیلاری، حفره بینی و بین اوربیت (مدار) و مغز نیز مشاهده شده است. بیرون زدگی این دندان های اضافی متفاوت بوده و به میزان جایی که دندان اضافی برای رشد دارد بستگی دارد.
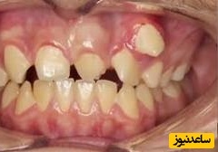
جایگزین دندان اضافه به جای دندان اصلی
احتمالا این سوال برای شما هم پیش آمده که آیا می شود از دندان اضافه به جای دندان اصلی استفاده کرد و در عین حال عارضه به وجود آمده را نیز اصلاح کرد؟ بستگی دارد که دندان اضافه کجا قرار گرفته باشد. گاهی دندان اضافه بین دو تا دندان های جلوی بیمار قرار گرفته و یک دندان تک بوده و زوج نیست. در نتیجه کلا قیافه فرد را بهم می ریزد و باید کشیده شود. اما گاهی دندان اضافه در انتها وجود دارد و اگر بیمار دندان دائم قبلی را کشیده باشد در اینصورت ما می توانیم از آن استفاده کنیم و جای دندان اصلی قرارش دهیم.
در حالت نرمال تعداد دندان ها در فک بالا و پایین باید با همدیگر مچ باشند. اگر ما در یک فک یک دندان اضافی داشته باشیم نمی توانیم آن ها را با هم هماهنگ کنیم. زمانی می توانیم در فک دندان اضافی بین دندان های کرسی را نکشیم و با ارتودنسی آن را در میان دندان ها جا بیندازیم که در فک مورد نظر، یکی از دندان ها به علت شکستگی افتاده باشد یا کشیده شده باشد و ما دندان اضافه را جایگزین آن نماییم. در نتیجه همانطور که کم بودن دندان ها معضل است اضافه بودن آن ها نیز می تواند معضل باشد.

محققان هنوز علت مشخص و قطعی برای رویش دندان اضافی در دهان پیدا نکرده اند. با این حال اعتقاد بر این است که ژنتیک در این زمینه نقش دارد.
دندان اضافی ممکن است در اثر بد شکلی دهان مانند شکاف لب و کام اتفاقی بیفتد.دندان اضافی وضعیتی است که ممکن است مرتبط با برخی بیماری ها از جمله سندرم گاردنر و سندرم اهلر دانلس باشد.معمولاً افراد متوجه وجود دندان اضافی در فک نمی شوند تا زمانی که تمام مجموعه دندان های شیری رشد می کند. دندان اضافی در مراحل اولیه رشد دندان تشکیل می شود. دراین مرحله جوانه دندان باز شده و دو دندان شکل میگیرند که یکی از آنها دندان اضافی غیر ضروری محسوب می شود.
از بیرون زدن دندان اضافی نمی توان جلوگیری نمود. درمان اصلی این وضعیت کشیدن دندان است. با این حال همراستا قرار دادن دندان های اضافی با دندان های مجاور نیز یکی از گزینه هایی است که باید مد نظر قرار بگیرد. پیامدهای این درمان ممکن است مفید باشد. در صورتی که این درمان باعث بروز مشکلاتی برای دندان های مجاور شود تنها راه ممکن کشیدن دندان اضافی است.در صورتی که دندان اضافی هیچ مشکلی ایجاد ننماید، بهتر است آن را رها کنید تا از عوارض و پیچیدگی های مربوط به کشیدن دندان اضافی مانند بریدن یا قطع شدن رگهای خونی و عصبی، بیرون زدن نامناسب دندانها، آنکیلوز، شکستگی توبروزیته ماگزیلاری و در خطر قرار گرفتن سینوس ماگزیلاری و فضای بالی فکی (pterygomaxillary ) در امان بمانید.











































